Suppr超能文献

在培养基中添加常用的外源性抗氧化剂PBN可能是优化成肌干细胞/祖细胞制备方案的重要一步。

Addition of Popular Exogenous Antioxidant Agent, PBN, to Culture Media May Be an Important Step to Optimization of Myogenic Stem/Progenitor Cell Preparation Protocol.

作者信息

Nowaczyk Magdalena, Malcher Agnieszka, Zimna Agnieszka, Łabędź Wojciech, Kubaszewski Łukasz, Barczak Wojciech, Rubiś Błażej, Rozwadowska Natalia, Kurpisz Maciej

机构信息

Institute of Human Genetics, Polish Academy of Sciences, 60-479 Poznan, Poland.

Department of Orthopedics and Traumatology, W. Dega University Hospital, Poznan University of Medical Sciences, 61-545 Poznan, Poland.

出版信息

Antioxidants (Basel). 2021 Jun 15;10(6):959. doi: 10.3390/antiox10060959.

Abstract

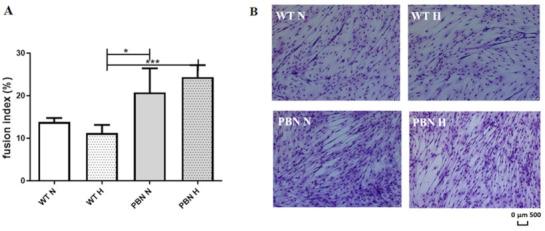
The aim of the study was to modify human skeletal muscle-derived stem/progenitor cells (SkMDS/PCs) and demonstrate the optimal cell preparation protocol for application in post-infarction hearts. We used conditioned SkMDS/PC culture medium with α-phenyl-N-tert-butyl nitrone (PBN). SkMDS/PCs were cultured under hypoxic conditions and the results were compared to the standard ones. We observed a significant increase of CD-56 positive phenotypic marker the ability to form functional myotubes, increase in the proportion of young cells in cell primary suspensions, and a decrease in the percentage of apoptotic cells among PBN-conditioned cells in normoxia an hypoxia. We also observed significantly higher levels of expression; maintained expression of , , and ; a higher level of gene expression; and a rather significant decrease in gene expression in PBN-conditioned SkMDS/PCs compared to the WT population under hypoxic conditions. In addition, significant increase of myogenic genes expression was observed after PBN addition to culture medium, compared to WT population under hypoxia. Interestingly, PBN addition significantly increased the lengths of telomeres under hypoxia. Based on the data obtained, we can postulate that PBN conditioning of human SkMDS/PCs could be a promising step in improving myogenic cell preparation protocol for pro-regenerative treatment of post-infarction hearts.

摘要

本研究的目的是对人骨骼肌来源的干/祖细胞(SkMDS/PCs)进行修饰,并展示用于心肌梗死后心脏的最佳细胞制备方案。我们使用含有α-苯基-N-叔丁基硝酮(PBN)的SkMDS/PC条件培养基。SkMDS/PCs在缺氧条件下培养,并将结果与标准条件下的结果进行比较。我们观察到,在常氧和缺氧条件下,PBN处理的细胞中CD-56阳性表型标志物显著增加,形成功能性肌管的能力增强,细胞原代悬液中年轻细胞的比例增加,凋亡细胞的百分比降低。我们还观察到,与缺氧条件下的野生型群体相比,PBN处理的SkMDS/PCs中某些基因的表达水平显著更高;某些基因的表达得以维持;某一基因的表达水平更高;而另一基因的表达则显著降低。此外,与缺氧条件下的野生型群体相比,向培养基中添加PBN后,成肌基因的表达显著增加。有趣的是,在缺氧条件下添加PBN可显著增加端粒的长度。基于所获得的数据,我们可以推测,对人SkMDS/PCs进行PBN处理可能是改善用于心肌梗死后心脏促再生治疗的成肌细胞制备方案中的一个有前景的步骤。

https://cdn.ncbi.nlm.nih.gov/pmc/blobs/75bb/8232265/eeca39773c04/antioxidants-10-00959-g001.jpg

文献AI研究员

20分钟写一篇综述,助力文献阅读效率提升50倍。

立即体验

用中文搜PubMed

大模型驱动的PubMed中文搜索引擎

马上搜索

文档翻译

学术文献翻译模型,支持多种主流文档格式。

立即体验