Suppr超能文献

结直肠癌中GRP94表达与同时性和异时性转移的临床病理及预后关联

Clinicopathologic and Prognostic Association of GRP94 Expression in Colorectal Cancer with Synchronous and Metachronous Metastases.

作者信息

Yun Sumi, Lee Sukmook, Lee Ho-Young, Oh Hyeon Jeong, Kwak Yoonjin, Lee Hye Seung

机构信息

Samkwang Medical Laboratories, Department of Diagnostic Pathology, Seoul 06742, Korea.

Biopharmaceutical Chemistry Major, School of Applied Chemistry, Kookmin University, Seoul 02707, Korea.

出版信息

Int J Mol Sci. 2021 Jun 30;22(13):7042. doi: 10.3390/ijms22137042.

Abstract

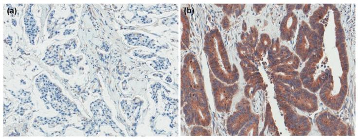
Patients with advanced colorectal cancer (CRC) with distant metastases have a poor prognosis. We evaluated the clinicopathological relevance of GRP94 expression in these cases. The immunohistochemical expression of GRP94 was studied in 189 CRC patients with synchronous (SM; = 123) and metachronous metastases (MM; = 66), using tissue microarray; the association between GRP94 expression, outcome, and tumor-infiltrating lymphocytes (TILs) was also evaluated. GRP94 was expressed in 64.6% (122/189) patients with CRC; GRP94 positivity was found in 67.5% and 59.1% patients with SM and MM, respectively. In the SM group, high GRP94 expression was more common in patients with a higher density of CD4+ TILs ( = 0.002), unlike in the MM group. Survival analysis showed that patients with GRP94 positivity had significantly favorable survival ( = 0.030); after multivariate analysis, GRP94 only served as an independent prognostic factor ( = 0.034; hazard ratio, 0.581; 95% confidence interval, 0.351-0.961) in the SM group. GRP94 expression was detected in 49.4% of metastatic sites and showed significant heterogeneity between primary and metastatic lesions ( = 0.012). GRP94 is widely expressed in CRC with distant metastases; its expression was associated with favorable prognosis in the SM group, unlike in the MM group.

摘要

伴有远处转移的晚期结直肠癌(CRC)患者预后较差。我们评估了这些病例中GRP94表达的临床病理相关性。使用组织芯片研究了189例伴有同时性转移(SM;n = 123)和异时性转移(MM;n = 66)的CRC患者中GRP94的免疫组化表达;还评估了GRP94表达、预后与肿瘤浸润淋巴细胞(TILs)之间的关联。189例CRC患者中64.6%(122/189)表达GRP94;SM组和MM组中GRP94阳性率分别为67.5%和59.1%。在SM组中,与MM组不同,GRP94高表达在CD4 + TILs密度较高的患者中更常见(P = 0.002)。生存分析显示,GRP94阳性患者的生存明显较好(P = 0.030);多因素分析后,GRP94仅在SM组中作为独立的预后因素(P = 0.034;风险比,0.581;95%置信区间,0.351 - 0.961)。在49.4%的转移部位检测到GRP94表达,且原发灶和转移灶之间存在显著异质性(P = 0.012)。GRP94在伴有远处转移的CRC中广泛表达;与MM组不同,其表达在SM组中与良好预后相关。

https://cdn.ncbi.nlm.nih.gov/pmc/blobs/8559/8267630/aacf4dc83fb9/ijms-22-07042-g001.jpg

文献AI研究员

20分钟写一篇综述,助力文献阅读效率提升50倍。

立即体验

用中文搜PubMed

大模型驱动的PubMed中文搜索引擎

马上搜索

文档翻译

学术文献翻译模型,支持多种主流文档格式。

立即体验