Suppr超能文献

胆汁微生物组分析鉴定微生物失调与胆囊疾病的关联。

Association of Microbial Dysbiosis with Gallbladder Diseases Identified by Bile Microbiome Profiling.

机构信息

Department of Internal Medicine, Hanyang University College of Medicine, Seoul, Korea.

Department of Pathology, Hanyang University College of Medicine, Seoul, Korea.

出版信息

J Korean Med Sci. 2021 Jul 19;36(28):e189. doi: 10.3346/jkms.2021.36.e189.

Abstract

BACKGROUND

Cholecystitis is an important risk factor for gallbladder cancer, but the bile microbiome and its association with gallbladder disease has not been investigated fully. We aimed to analyze the bile microbiome in normal conditions, chronic cholecystitis, and gallbladder cancer, and to identify candidate bacteria that play an important role in gallbladder carcinogenesis.

METHODS

We performed metagenome sequencing on bile samples of 10 healthy individuals, 10 patients with chronic cholecystitis, and 5 patients with gallbladder cancer, and compared the clinical, radiological, and pathological characteristics of the participants.

RESULTS

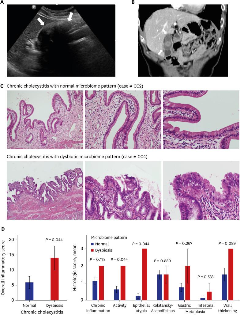
No significant bacterial signal was identified in the normal bile. The predominant dysbiotic bacteria in both chronic cholecystitis and gallbladder cancer were those belonging to the Enterobacteriaceae family. increased significantly in the order of normal, chronic cholecystitis, and gallbladder cancer. Patients with chronic cholecystitis and dysbiotic microbiome patterns had larger gallstones and showed marked epithelial atypia, which are considered as precancerous conditions.

CONCLUSION

We investigated the bile microbiome in normal, chronic cholecystitis, and gallbladder cancer. We suggest possible roles of Enterobacteriaceae, including , in gallbladder carcinogenesis. Our findings reveal a possible link between a dysbiotic bile microbiome and the development of chronic calculous cholecystitis and gallbladder cancer.

摘要

背景

胆囊炎是胆囊癌的一个重要危险因素,但胆汁微生物组及其与胆囊疾病的关系尚未得到充分研究。我们旨在分析正常情况下、慢性胆囊炎和胆囊癌中的胆汁微生物组,并确定在胆囊癌变中起重要作用的候选细菌。

方法

我们对 10 名健康个体、10 名慢性胆囊炎患者和 5 名胆囊癌患者的胆汁样本进行了宏基因组测序,并比较了参与者的临床、影像学和病理学特征。

结果

正常胆汁中未检测到明显的细菌信号。在慢性胆囊炎和胆囊癌中占优势的失调细菌均属于肠杆菌科。在正常、慢性胆囊炎和胆囊癌的顺序中, 显著增加。患有慢性胆囊炎和菌群失调模式的患者有更大的胆结石,并表现出明显的上皮异型性,这被认为是癌前状态。

结论

我们研究了正常、慢性胆囊炎和胆囊癌中的胆汁微生物组。我们提出肠杆菌科(包括 )可能在胆囊癌变中起作用。我们的发现揭示了胆汁微生物组失调与慢性结石性胆囊炎和胆囊癌发展之间的可能联系。

https://cdn.ncbi.nlm.nih.gov/pmc/blobs/1708/8289718/003fb8e5ca76/jkms-36-e189-g001.jpg

文献AI研究员

20分钟写一篇综述,助力文献阅读效率提升50倍。

立即体验

用中文搜PubMed

大模型驱动的PubMed中文搜索引擎

马上搜索

文档翻译

学术文献翻译模型,支持多种主流文档格式。

立即体验