Suppr超能文献

新热带鱼对与石油工业相关的环境应激源的肝脏生物标志物反应。

Liver biomarkers response of the neotropical fish to environmental stressors associated with the oil industry.

作者信息

Corredor-Santamaría Wilson, Mora-Solarte Diego A, Arbeli Ziv, Navas José M, Velasco-Santamaría Yohana M

机构信息

Grupo de Investigación en Biotecnología y Toxicología Acuática y Ambiental - BioTox, Facultad de Ciencias Agrícolas y Recursos Naturales, Universidad de los Llanos, km 12 vía Puerto López, vereda Barcelona, Villavicencio, Colombia.

Unidad de Saneamiento y Biotecnología Ambiental (USBA), Departamento de Biología, Facultad de Ciencias, Pontificia Universidad Javeriana, Cra. 7 N. 43-82, Bogotá, Colombia.

出版信息

Heliyon. 2021 Jul 1;7(7):e07458. doi: 10.1016/j.heliyon.2021.e07458. eCollection 2021 Jul.

Abstract

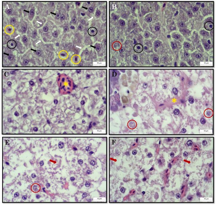
The Acacias River in Colombia receives large volumes of industrial effluents mostly derived from the oil industry. To contribute to the study of the possible effects of industrial wastewaters on the aquatic environment and particularly on fish populations, a native neotropical fish, was used as a sentinel species. Wild specimens of were caught at three different places of the Acacias River taking as reference the point of discharge of an oil industry effluent; upstream, downstream, and at the vicinity of the discharge pipe. A fourth sampling site was chosen as a reference site away from urban settlements. Samplings were performed twice, during the rainy and dry seasons. After anesthesia animals were weighted and measured, and humanely sacrificed. Livers were extracted, frozen on site and transported to the laboratory. Condition indices were calculated. Total protein content and the detoxification 7-ethoxyresorufin--deethylase (EROD) enzyme activity were estimated. Histopathological alterations were also evaluated. Water quality was estimated through the measurement of several variables. Results obtained evidenced that the highest induction in EROD activity and the strongest histological alterations in liver of the monitored fish appeared during the dry seasons at the discharge site and downstream to this point.

摘要

哥伦比亚的阿萨西斯河接纳了大量主要源自石油工业的工业废水。为推动对工业废水可能对水生环境尤其是鱼类种群产生的影响的研究,一种新热带本土鱼类被用作指示物种。以石油工业废水排放点为参照,在阿萨西斯河的三个不同地点捕获了该鱼类的野生样本;上游、下游以及排放管道附近。第四个采样点选在远离城市定居点的地方作为参照点。在雨季和旱季各进行了两次采样。对动物进行麻醉后称重、测量,并实施人道处死。取出肝脏,在现场冷冻后运往实验室。计算了健康状况指数。估算了总蛋白含量和解毒酶7-乙氧基异吩唑酮-O-脱乙基酶(EROD)的活性。还评估了组织病理学改变。通过测量多个变量来评估水质。所获结果表明,在旱季,监测鱼类肝脏中EROD活性的最高诱导水平以及最严重的组织学改变出现在排放点及其下游。

https://cdn.ncbi.nlm.nih.gov/pmc/blobs/177e/8278334/deeca2b16992/gr1.jpg

文献AI研究员

20分钟写一篇综述,助力文献阅读效率提升50倍。

立即体验

用中文搜PubMed

大模型驱动的PubMed中文搜索引擎

马上搜索

文档翻译

学术文献翻译模型,支持多种主流文档格式。

立即体验