Suppr超能文献

高频且持久的气球样肝细胞与严重肥胖患者的葡萄糖不耐受有关。

High frequency and long persistency of ballooning hepatocyte were associated with glucose intolerance in patients with severe obesity.

机构信息

Division of Hepatology, Department of Internal Medicine, Iwate Medical University School of Medicine, 1-1-1 Idaidori, Yahaba-cho, Iwate, 0283694, Japan.

Department of Surgery, Iwate Medical University School of Medicine, Iwate, Japan.

出版信息

Sci Rep. 2021 Jul 28;11(1):15392. doi: 10.1038/s41598-021-94937-4.

Abstract

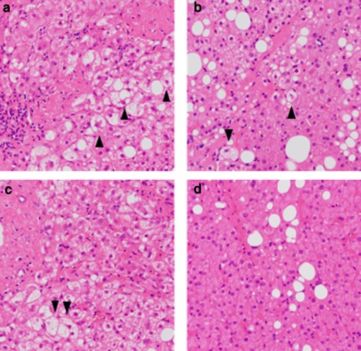
Nonalcoholic steatohepatitis (NASH) and glucose intolerance are associated with an increased risk of mortality in patients with severe obesity; however, whether histological findings of the liver are related to glucose intolerance in these patients remain unknown. Sixty-nine consecutive patients who underwent metabolic surgery between June 2008 and February 2020 were included; histological findings of the liver and laboratory data were analyzed. Twenty patients with biopsy-proven NASH were chronologically evaluated using sequential biopsies; data before metabolic surgery was considered as the baseline. Glucose intolerance-demonstrated by an increased area under the curve (AUC) for blood sugar (BS) during the 75-g oral glucose tolerance test-and increased homeostatic model assessment for insulin resistance (HOMA-IR) correlated with the grade of hepatocyte ballooning in patients. Patients with persistent ballooning at the follow-up biopsy had a higher HOMA-IR, high AUC for BS, and lower adiponectin level than those in patients in whom ballooning was eliminated, while there was no significant difference in body weight. We concluded that glucose intolerance was associated with the grade of hepatocyte ballooning; additionally, persistent hepatocyte ballooning sustained glucose intolerance, while elimination of hepatocyte ballooning improved the condition. Glucose intolerance may, thus, mediate balloon formation of the hepatocyte.

摘要

非酒精性脂肪性肝炎(NASH)和葡萄糖耐量受损与严重肥胖患者的死亡率增加相关;然而,这些患者的肝脏组织学发现是否与葡萄糖耐量受损相关仍不清楚。本研究纳入了 2008 年 6 月至 2020 年 2 月期间接受代谢手术的 69 例连续患者;分析了肝脏的组织学发现和实验室数据。对 20 例经活检证实的 NASH 患者进行了连续活检的时间序列评估;代谢手术前的数据被认为是基线。在 75g 口服葡萄糖耐量试验中,血糖(BS)的曲线下面积(AUC)增加和胰岛素抵抗的稳态模型评估(HOMA-IR)增加表明葡萄糖耐量受损。在随访活检中仍存在气球样变的患者的 HOMA-IR 更高,BS 的 AUC 更高,脂联素水平更低,而与气球样变消除的患者相比,体重无明显差异。我们得出结论,葡萄糖耐量受损与肝细胞气球样变的程度相关;此外,持续的肝细胞气球样变持续存在葡萄糖耐量受损,而肝细胞气球样变的消除改善了病情。因此,葡萄糖耐量可能介导了肝细胞的气球样变形成。

https://cdn.ncbi.nlm.nih.gov/pmc/blobs/928e/8319304/b337edf7932c/41598_2021_94937_Fig1_HTML.jpg

文献AI研究员

20分钟写一篇综述,助力文献阅读效率提升50倍。

立即体验

用中文搜PubMed

大模型驱动的PubMed中文搜索引擎

马上搜索

文档翻译

学术文献翻译模型,支持多种主流文档格式。

立即体验