Suppr超能文献

三名患有新发肢体周围神经病变的危重症COVID-19患者的磁共振神经成像结果

Magnetic resonance neurography findings in three critically ill COVID-19 patients with new onset of extremity peripheral neuropathy.

作者信息

Omar Imran M, Garg Ankur

机构信息

Department of Radiology, Northwestern University Feinberg School of Medicine, United States.

出版信息

Pol J Radiol. 2021 Jun 28;86:e394-e400. doi: 10.5114/pjr.2021.107727. eCollection 2021.

Abstract

PURPOSE

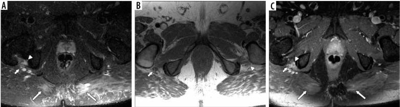
Coronavirus-19 (COVID-19) is most commonly associated with respiratory syndromes, although patients are presenting more frequently with neurological symptoms. When they occur, neurological conditions most commonly involve the central nervous system, and peripheral nervous system effects, particularly in the extremities, have been less commonly described. The mechanisms of peripheral neuropathy in critically ill patients with COVID-19 are likely to be multifactorial, and extremity peripheral nerve imaging in these cases has not been well described.

CASE PRESENTATION

In this case series, we describe the magnetic resonance neurography (MRN) findings in 3 critically ill patients who presented with new onset of peripheral neuropathies in the extremities, and we discuss possible common mechanisms of nerve injury, including the role of position-related nerve injury.

CONCLUSIONS

MRN can be useful in identifying and localizing peripheral nerve abnormalities in the extremities of COVID-19 patients, and patients who are placed in the prone position during ventilation may be more susceptible to these injuries.

摘要

目的

冠状病毒病-19(COVID-19)最常与呼吸系统综合征相关,尽管患者出现神经症状的频率越来越高。当出现神经症状时,神经疾病最常累及中枢神经系统,而周围神经系统的影响,尤其是在四肢,较少被描述。危重症COVID-19患者发生周围神经病变的机制可能是多因素的,此类病例的四肢周围神经成像尚未得到充分描述。

病例报告

在本病例系列中,我们描述了3例危重症患者的磁共振神经成像(MRN)结果,这些患者出现了新发的四肢周围神经病变,我们讨论了神经损伤可能的共同机制,包括体位相关神经损伤的作用。

结论

MRN有助于识别和定位COVID-19患者四肢的周围神经异常,通气时处于俯卧位的患者可能更容易受到这些损伤。

https://cdn.ncbi.nlm.nih.gov/pmc/blobs/c8cc/8297480/a0218ca304d1/PJR-86-44682-g001.jpg

文献AI研究员

20分钟写一篇综述,助力文献阅读效率提升50倍。

立即体验

用中文搜PubMed

大模型驱动的PubMed中文搜索引擎

马上搜索

文档翻译

学术文献翻译模型,支持多种主流文档格式。

立即体验