Suppr超能文献

肿瘤标志物升高的黄色肉芽肿性阑尾炎误诊为盲肠癌:一例报告

Xanthogranulomatous appendicitis with elevated tumor marker misdiagnosed as cecal cancer: a case report.

作者信息

Ito Shunichi, Takahashi Yutaka, Yamada Takuji, Kawai Yosuke, Ohira Kei

机构信息

Department of Surgery, Tama-Hokubu Medical Center, Tokyo, Japan.

出版信息

J Surg Case Rep. 2021 Jul 31;2021(7):rjab274. doi: 10.1093/jscr/rjab274. eCollection 2021 Jul.

Abstract

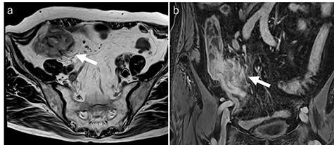
Xanthogranulomatous inflammation is an uncommon chronic inflammatory disease that develops most often in the kidneys and gallbladder. However, xanthogranulomatous appendicitis 45eXA is rare. Herein, we present a case of XA, with an elevated tumor marker, misdiagnosed as cecal cancer. A 76-year-old woman was referred to our hospital. Carbohydrate antigen 19-9 (CA 19-9) levels were elevated. By computed tomography and magnetic resonance imaging, we diagnosed as suspected cecal cancer and performed laparoscopic-assisted ileocecal resection. The pathological diagnosis was XA. Her CA19-9 level decreased to within normal limits. XA is a condition that results from an unusual healing pattern of appendicitis. However, the underlying mechanisms are still unclear. This is the first case of XA with elevated CA 19-9 levels. In this case, XA may have had the potential for malignancy. Our case report can aid in the understanding of these rare cases and, as a result, improve their prognosis.

摘要

黄色肉芽肿性炎症是一种罕见的慢性炎症性疾病,最常发生于肾脏和胆囊。然而,黄色肉芽肿性阑尾炎(XA)却很罕见。在此,我们报告一例XA病例,该病例肿瘤标志物升高,曾被误诊为盲肠癌。一名76岁女性被转诊至我院。糖类抗原19-9(CA 19-9)水平升高。通过计算机断层扫描和磁共振成像,我们诊断为疑似盲肠癌,并进行了腹腔镜辅助回盲部切除术。病理诊断为XA。她的CA19-9水平降至正常范围内。XA是阑尾炎一种异常愈合模式导致的病症。然而,其潜在机制仍不清楚。这是首例CA 19-9水平升高的XA病例。在本病例中,XA可能具有恶变潜能。我们的病例报告有助于了解这些罕见病例,从而改善其预后。

https://cdn.ncbi.nlm.nih.gov/pmc/blobs/0e93/8326000/a1a222d7ae31/rjab274f1.jpg

文献AI研究员

20分钟写一篇综述,助力文献阅读效率提升50倍。

立即体验

用中文搜PubMed

大模型驱动的PubMed中文搜索引擎

马上搜索

文档翻译

学术文献翻译模型,支持多种主流文档格式。

立即体验