Suppr超能文献

阿普唑仑通过抑制RUNX1和激活STAT5促使HIV-1转录激活并增强CTL反应。

Alprazolam Prompts HIV-1 Transcriptional Reactivation and Enhances CTL Response Through RUNX1 Inhibition and STAT5 Activation.

作者信息

Lin Angel, Elbezanti Weam Othman, Schirling Alexis, Ahmed Adel, Van Duyne Rachel, Cocklin Simon, Klase Zachary

机构信息

Department of Biological Sciences, University of the Sciences, Philadelphia, PA, United States.

Department of Pharmacology and Physiology, Drexel University College of Medicine, Philadelphia, PA, United States.

出版信息

Front Neurol. 2021 Jul 22;12:663793. doi: 10.3389/fneur.2021.663793. eCollection 2021.

Abstract

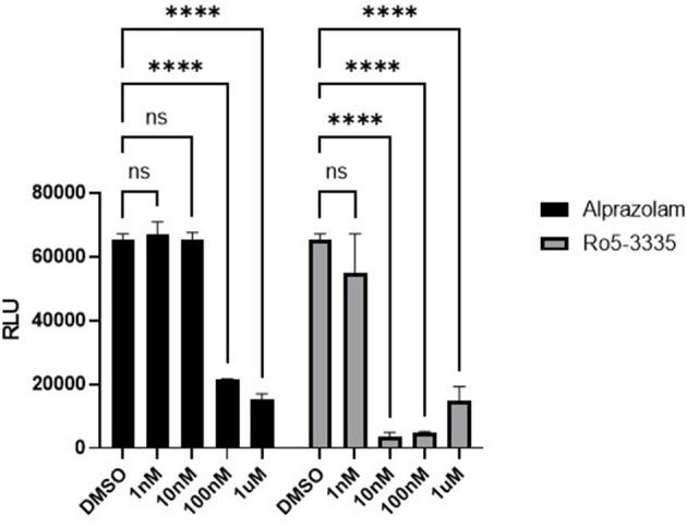
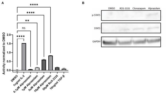
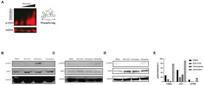
The HIV-1 pandemic is a significant challenge to the field of medicine. Despite advancements in antiretroviral (ART) development, 38 million people worldwide still live with this disease without a cure. A significant barrier to the eradication of HIV-1 lies in the persistently latent pool that establishes early in the infection. The "shock and kill" strategy relies on the discovery of a latency-reversing agent (LRA) that can robustly reactivate the latent pool and not limit immune clearance. We have found that a benzodiazepine (BDZ), that is commonly prescribed for panic and anxiety disorder, to be an ideal candidate for latency reversal. The BDZ Alprazolam functions as an inhibitor of the transcription factor RUNX1, which negatively regulates HIV-1 transcription. In addition to the displacement of RUNX1 from the HIV-1 5'LTR, Alprazolam potentiates the activation of STAT5 and its recruitment to the viral promoter. The activation of STAT5 in cytotoxic T cells may enable immune activation which is independent of the IL-2 receptor. These findings have significance for the potential use of Alprazolam in a curative strategy and to addressing the neuroinflammation associated with neuroHIV-1.

摘要

人类免疫缺陷病毒1型(HIV-1)大流行是医学领域面临的一项重大挑战。尽管抗逆转录病毒疗法(ART)取得了进展,但全球仍有3800万人感染这种疾病且无法治愈。根除HIV-1的一个重大障碍在于感染早期形成的持续潜伏库。“激活并清除”策略依赖于发现一种能够强力重新激活潜伏库且不限制免疫清除的潜伏逆转剂(LRA)。我们发现,一种常用于治疗恐慌和焦虑症的苯二氮䓬类药物(BDZ)是潜伏逆转的理想候选药物。BDZ阿普唑仑作为转录因子RUNX1的抑制剂发挥作用,而RUNX1对HIV-1转录起负调控作用。除了使RUNX1从HIV-1 5'长末端重复序列(LTR)上解离外,阿普唑仑还能增强信号转导及转录激活因子5(STAT5)的激活及其向病毒启动子的募集。细胞毒性T细胞中STAT5的激活可能会引发独立于白细胞介素-2受体的免疫激活。这些发现对于阿普唑仑在治愈策略中的潜在应用以及解决与神经HIV-1相关的神经炎症具有重要意义。

https://cdn.ncbi.nlm.nih.gov/pmc/blobs/e0b8/8339301/d3db4dfd8d49/fneur-12-663793-g0001.jpg

文献AI研究员

20分钟写一篇综述,助力文献阅读效率提升50倍。

立即体验

用中文搜PubMed

大模型驱动的PubMed中文搜索引擎

马上搜索

文档翻译

学术文献翻译模型,支持多种主流文档格式。

立即体验