Suppr超能文献

在 COVID-19 尸检中,肺泡细胞表现出内质网应激生物标志物 GRP78 的高度上调,GRP78 是 SARS-CoV-2 的共受体。

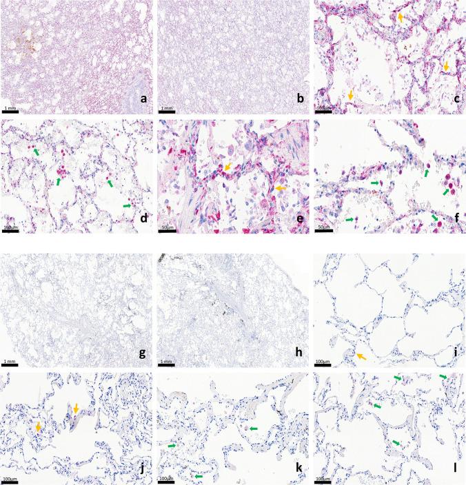
Pneumocytes are distinguished by highly elevated expression of the ER stress biomarker GRP78, a co-receptor for SARS-CoV-2, in COVID-19 autopsies.

机构信息

MCW Cancer Center, Department of Pathology, Medical College of Wisconsin, 8701 Watertown Plank Road, Milwaukee, WI, 53226, USA.

Department of Medicine, Medical College of Wisconsin, Milwaukee, WI, USA.

出版信息

Cell Stress Chaperones. 2021 Sep;26(5):859-868. doi: 10.1007/s12192-021-01230-4. Epub 2021 Aug 12.

Abstract

Vaccinations are widely credited with reducing death rates from COVID-19, but the underlying host-viral mechanisms/interactions for morbidity and mortality of SARS-CoV-2 infection remain poorly understood. Acute respiratory distress syndrome (ARDS) describes the severe lung injury, which is pathologically associated with alveolar damage, inflammation, non-cardiogenic edema, and hyaline membrane formation. Because proteostatic pathways play central roles in cellular protection, immune modulation, protein degradation, and tissue repair, we examined the pathological features for the unfolded protein response (UPR) using the surrogate biomarker glucose-regulated protein 78 (GRP78) and co-receptor for SARS-CoV-2. At autopsy, immunostaining of COVID-19 lungs showed highly elevated expression of GRP78 in both pneumocytes and macrophages compared with that of non-COVID control lungs. GRP78 expression was detected in both SARS-CoV-2-infected and un-infected pneumocytes as determined by multiplexed immunostaining for nucleocapsid protein. In macrophages, immunohistochemical staining for GRP78 from deceased COVID-19 patients was increased but overlapped with GRP78 expression taken from surgical resections of non-COVID-19 controls. In contrast, the robust in situ GRP78 immunostaining of pneumocytes from COVID-19 autopsies exhibited no overlap and was independent of age, race/ethnicity, and gender compared with that from non-COVID-19 controls. Our findings bring new insights for stress-response pathways involving the proteostatic network implicated for host resilience and suggest that targeting of GRP78 expression with existing therapeutics might afford an alternative therapeutic strategy to modulate host-viral interactions during SARS-CoV-2 infections.

摘要

疫苗接种被广泛认为可以降低 COVID-19 的死亡率,但 SARS-CoV-2 感染的发病率和死亡率的宿主-病毒机制/相互作用仍知之甚少。急性呼吸窘迫综合征(ARDS)描述了严重的肺损伤,其病理上与肺泡损伤、炎症、非心源性水肿和透明膜形成有关。由于蛋白质稳态途径在细胞保护、免疫调节、蛋白质降解和组织修复中起着核心作用,我们使用未折叠蛋白反应(UPR)的替代生物标志物葡萄糖调节蛋白 78(GRP78)和 SARS-CoV-2 的共受体来检查病理特征。在尸检中,与非 COVID 对照肺相比,COVID-19 肺中的免疫染色显示 GRP78 在肺泡细胞和巨噬细胞中的表达高度升高。通过核衣壳蛋白的多重免疫染色,在 SARS-CoV-2 感染和未感染的肺泡细胞中均检测到 GRP78 的表达。来自 COVID-19 死亡患者的巨噬细胞中 GRP78 的免疫组织化学染色增加,但与非 COVID-19 对照的手术切除中的 GRP78 表达重叠。相比之下,COVID-19 尸检中肺泡细胞的原位 GRP78 免疫染色没有重叠,并且与非 COVID-19 对照相比,与年龄、种族/民族和性别无关。我们的发现为涉及蛋白质稳态网络的宿主应激反应途径提供了新的见解,并表明用现有的治疗药物靶向 GRP78 表达可能为调节 SARS-CoV-2 感染期间的宿主-病毒相互作用提供另一种治疗策略。

https://cdn.ncbi.nlm.nih.gov/pmc/blobs/7da9/8492801/fa7d93432089/12192_2021_1230_Fig1_HTML.jpg

文献AI研究员

20分钟写一篇综述,助力文献阅读效率提升50倍。

立即体验

用中文搜PubMed

大模型驱动的PubMed中文搜索引擎

马上搜索

文档翻译

学术文献翻译模型,支持多种主流文档格式。

立即体验