Suppr超能文献

沃尔夫-赫希霍恩综合征候选基因 1 通过 NEK7 介导的 NLRP3 炎性小体激活促进脓毒症诱导的急性肺损伤中的肺泡巨噬细胞细胞焦亡。

Wolf-Hirschhorn syndrome candidate 1 facilitates alveolar macrophage pyroptosis in sepsis-induced acute lung injury through NEK7-mediated NLRP3 inflammasome activation.

机构信息

Department of Paediatrics, Taihe Hospital, Hubei University of Medicine, China.

Department of Pathology, Taihe Hospital, Hubei University of Medicine, China.

出版信息

Innate Immun. 2021 Aug;27(6):437-447. doi: 10.1177/17534259211035426. Epub 2021 Aug 25.

Abstract

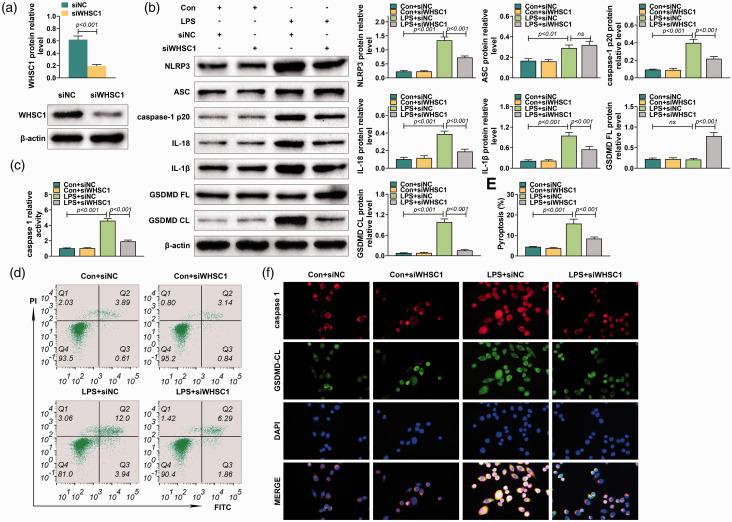
Sepsis is a complex clinical syndrome with high incidence and mortality. Acute lung injury (ALI) is a common complication of sepsis. At present, there is no effective therapeutic strategy to treat ALI. The SET domain-containing histone methyltransferase Wolf-Hirschhorn syndrome candidate 1 (WHSC1) regulates cancer progression, while its role in sepsis-induced ALI remains unclear. Thus, this study aimed to study the effect of WHSC1 on sepsis-induced ALI and to explore the potential mechanism of action. In the study, LPS treatment induced lung injury. WHSC1 was highly expressed in LPS-induced ALI. Knockdown of WHSC1 attenuated LPS-induced ALI and pyroptosis . Besides, knockdown of WHSC1 attenuated LPS-induced alveolar macrophage pyroptosis . Furthermore, NIMA-related kinase-7 (NEK7) expression could be regulated by WHSC1, and NEK7 bound to NLRP3 in alveolar macrophages. Moreover, WHSC1 regulated alveolar macrophage pyroptosis through modulating NEK7-mediated NLRP3 inflammasome activation. In conclusion, WHSC1 was highly expressed in LPS-induced ALI. WHSC1 facilitated alveolar macrophage pyroptosis in sepsis-induced ALI through NEK7-mediated NLRP3 inflammasome activation. WHSC1 may be a valuable target for the therapy of sepsis-induced ALI.

摘要

脓毒症是一种发病率和死亡率均较高的复杂临床综合征。急性肺损伤(ALI)是脓毒症的常见并发症。目前,尚无有效的治疗策略来治疗 ALI。SET 结构域包含的组蛋白甲基转移酶 Wolf-Hirschhorn 综合征候选 1(WHSC1)调节癌症进展,但其在脓毒症诱导的 ALI 中的作用尚不清楚。因此,本研究旨在研究 WHSC1 对脓毒症诱导的 ALI 的影响,并探讨其潜在的作用机制。在该研究中,LPS 处理诱导了肺损伤。LPS 诱导的 ALI 中 WHSC1 高表达。WHSC1 敲低可减轻 LPS 诱导的 ALI 和细胞焦亡。此外,WHSC1 敲低可减轻 LPS 诱导的肺泡巨噬细胞细胞焦亡。此外,NIMA 相关激酶-7(NEK7)的表达可受 WHSC1 调节,并且 NEK7 在肺泡巨噬细胞中与 NLRP3 结合。此外,WHSC1 通过调节 NEK7 介导的 NLRP3 炎性小体激活来调节肺泡巨噬细胞细胞焦亡。总之,WHSC1 在 LPS 诱导的 ALI 中高表达。WHSC1 通过 NEK7 介导的 NLRP3 炎性小体激活促进脓毒症诱导的 ALI 中肺泡巨噬细胞细胞焦亡。WHSC1 可能是脓毒症诱导的 ALI 治疗的有价值靶点。

https://cdn.ncbi.nlm.nih.gov/pmc/blobs/f117/8504266/955f80fa1d52/10.1177_17534259211035426-fig1.jpg

文献AI研究员

20分钟写一篇综述,助力文献阅读效率提升50倍。

立即体验

用中文搜PubMed

大模型驱动的PubMed中文搜索引擎

马上搜索

文档翻译

学术文献翻译模型,支持多种主流文档格式。

立即体验