Suppr超能文献

铜掺杂氧化锌纳米晶体通过氧化应激途径诱导肝细胞自噬。

Cu-Doped-ZnO Nanocrystals Induce Hepatocyte Autophagy by Oxidative Stress Pathway.

作者信息

Bai Qianyu, Wang Yeru, Duan Luoyan, Xu Xiaomu, Hu Yusheng, Yang Yue, Zhang Lei, Liu Zhaoping, Bao Huihui, Liu Tianlong

机构信息

College of Veterinary Medicine, China Agricultural University, No.2 West Road Yuanmingyuan, Beijing 100193, China.

Key Laboratory of Food Safety Risk Assessment, China National Center for Food Safety Risk Assessment, No.37 Guangqu Road, Chaoyang District, Beijing 100022, China.

出版信息

Nanomaterials (Basel). 2021 Aug 17;11(8):2081. doi: 10.3390/nano11082081.

Abstract

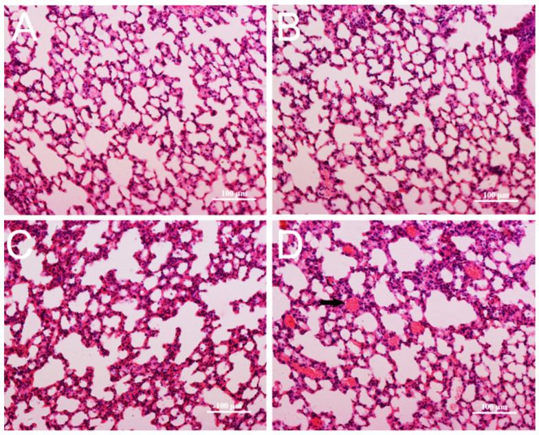
As a novel nanomaterial for cancer therapy and antibacterial agent, Cu-doped-ZnO nanocrystals (CZON) has aroused concern recently, but the toxicity of CZON has received little attention. Results of hematology analysis and blood biochemical assay showed that a 50 mg/kg dosage induced the increase in white blood cells count and that the concentration of alanine aminotransferase (ALT), superoxide dismutase (SOD), catalase (CAT), and Malonaldehyde (MDA) in the serum, liver, and lungs of the CZON group varied significantly from the control mice. Histopathological examinations results showed inflammation and congestion in the liver and lung after a single injection of CZON at 50 mg/kg. A transmission electron microscope (TEM) result manifested the autolysosome of hepatocyte of mice which received CZON at 50 mg/kg. The significant increase in LC3-II and decrease in p62 of hepatocyte in vivo could be seen in Western blot. These results indicated that CZON had the ability to induce autophagy of hepatocyte. The further researches of mechanism of autophagy revealed that CZON could produce hydroxyl radicals measured by erythrocyte sedimentation rate (ESR). The result of bio-distribution of CZON in vivo, investigated by ICP-OES, indicated that CZON mainly accumulated in the liver and two spleen organs. These results suggested that CZON can induce dose-dependent toxicity and autophagy by inducing oxidative stress in major organs. In summary, we investigated the acute toxicity and biological distribution after the intravenous administration of CZON. The results of body weight, histomorphology, hematology, and blood biochemical tests showed that CZON had a dose-dependent effect on the health of mice after a single injection. These results indicated that CZON could induce oxidative damage of the liver and lung by producing hydroxyl radicals at the higher dose.

摘要

作为一种用于癌症治疗和抗菌剂的新型纳米材料,铜掺杂氧化锌纳米晶体(CZON)最近引起了关注,但CZON的毒性却很少受到关注。血液学分析和血液生化检测结果表明,50mg/kg的剂量导致白细胞计数增加,并且CZON组小鼠血清、肝脏和肺中丙氨酸转氨酶(ALT)、超氧化物歧化酶(SOD)、过氧化氢酶(CAT)和丙二醛(MDA)的浓度与对照小鼠有显著差异。组织病理学检查结果显示,单次注射50mg/kg的CZON后,肝脏和肺出现炎症和充血。透射电子显微镜(TEM)结果显示,接受50mg/kg CZON的小鼠肝细胞有自噬溶酶体。在蛋白质免疫印迹中可以看到体内肝细胞的LC3-II显著增加而p62减少。这些结果表明CZON具有诱导肝细胞自噬的能力。对自噬机制的进一步研究表明,通过红细胞沉降率(ESR)测量,CZON可以产生羟基自由基。通过电感耦合等离子体质谱(ICP-OES)研究CZON在体内的生物分布结果表明,CZON主要积聚在肝脏和两个脾脏器官中。这些结果表明,CZON可通过在主要器官中诱导氧化应激而导致剂量依赖性毒性和自噬。总之,我们研究了静脉注射CZON后的急性毒性和生物分布。体重、组织形态学、血液学和血液生化测试结果表明,单次注射后CZON对小鼠健康有剂量依赖性影响。这些结果表明,高剂量的CZON可通过产生羟基自由基诱导肝脏和肺的氧化损伤。

https://cdn.ncbi.nlm.nih.gov/pmc/blobs/6931/8399041/05268c53a3b5/nanomaterials-11-02081-g001.jpg

文献AI研究员

20分钟写一篇综述,助力文献阅读效率提升50倍。

立即体验

用中文搜PubMed

大模型驱动的PubMed中文搜索引擎

马上搜索

文档翻译

学术文献翻译模型,支持多种主流文档格式。

立即体验