Suppr超能文献

肿瘤细胞上高表达的PD-L1提示舌癌和口底癌晚期患者的总生存期较差,但在其他口腔部位则不然。

High PD-L1 Expression on Tumor Cells Indicates Worse Overall Survival in Advanced Oral Squamous Cell Carcinomas of the Tongue and the Floor of the Mouth but Not in Other Oral Compartments.

作者信息

Adamski Łukasz Jan, Starzyńska Anna, Adamska Paulina, Kunc Michał, Sakowicz-Burkiewicz Monika, Marvaso Giulia, Alterio Daniela, Korwat Aleksandra, Jereczek-Fossa Barbara Alicja, Pęksa Rafał

机构信息

Department of Oral Surgery, Medical University of Gdańsk, 7 Dębinki Street, 80-211 Gdańsk, Poland.

Department of Pathology, Medical University of Gdańsk, 17 Smoluchowskiego Street, 80-214 Gdańsk, Poland.

出版信息

Biomedicines. 2021 Sep 1;9(9):1132. doi: 10.3390/biomedicines9091132.

Abstract

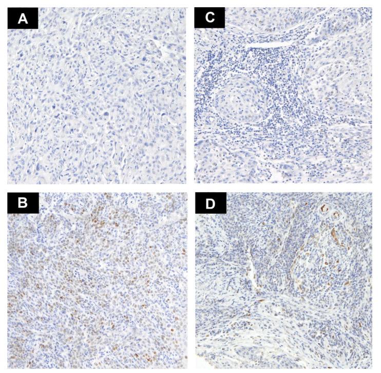
The markers of the tumor microenvironment (TME) are promising prognostic and predictive factors in oral squamous cell carcinoma (OSCC). The current study aims to analyze the immunohistochemical expression of programmed cell death-ligand 1 (PD-L1) and interleukin-33 (IL-33) in a cohort of 95 chemonaïve OSCCs. PD-L1 and IL-33 were assessed separately in tumor cells (TCs) and tumor-infiltrating lymphocytes (TILs). High PD-L1 expression in TILs was associated with better overall survival (OS) in univariate analysis. Tumors localized in the floor of the oral cavity and tongue tended to have a lower percentage of PD-L1-positive TCs when compared to other locations. PD-L1 expression on TCs had no prognostic significance when the whole cohort was analyzed. However, along with the T descriptor (TNM 8), it was included in the multivariable model predicting death in carcinomas of the floor of the oral cavity and tongue (HR = 2.51, 95% CI = 1.97-5.28). In other locations, only nodal status was identified as an independent prognostic factor in multivariate analysis (HR = 0.24, 95% CI = 0.08-0.70). Expression of IL-33 had no impact on survival, but it was differently expressed in various locations. In conclusion, the prognostic significance of PD-L1 in oral cancer depends on the tumor site and type of cell expressing immune checkpoint receptor (TCs vs. TILs).

摘要

肿瘤微环境(TME)标志物是口腔鳞状细胞癌(OSCC)中有前景的预后和预测因素。本研究旨在分析95例初治OSCC患者队列中程序性细胞死亡配体1(PD-L1)和白细胞介素-33(IL-33)的免疫组化表达。分别在肿瘤细胞(TCs)和肿瘤浸润淋巴细胞(TILs)中评估PD-L1和IL-33。单因素分析中,TILs中高PD-L1表达与更好的总生存期(OS)相关。与其他部位相比,位于口腔底部和舌部的肿瘤PD-L1阳性TCs比例往往较低。分析整个队列时,TCs上的PD-L1表达无预后意义。然而,连同T描述符(TNM 8),它被纳入预测口腔底部和舌部癌死亡的多变量模型(HR = 2.51,95%CI = 1.97 - 5.28)。在其他部位,多因素分析中仅淋巴结状态被确定为独立预后因素(HR = 0.24,95%CI = 0.08 - 0.70)。IL-33表达对生存无影响,但在不同部位表达不同。总之,PD-L1在口腔癌中的预后意义取决于肿瘤部位和表达免疫检查点受体的细胞类型(TCs与TILs)。

https://cdn.ncbi.nlm.nih.gov/pmc/blobs/2d20/8471659/bb8e33f76caa/biomedicines-09-01132-g001.jpg

文献AI研究员

20分钟写一篇综述,助力文献阅读效率提升50倍。

立即体验

用中文搜PubMed

大模型驱动的PubMed中文搜索引擎

马上搜索

文档翻译

学术文献翻译模型,支持多种主流文档格式。

立即体验