Suppr超能文献

D2-40、Galectin-3、Maspin 和 MCM7 在腭部鳞状细胞癌中的免疫组织化学表达评估。

Immunohistochemical evaluation of D2-40, Galectin-3, Maspin and MCM7 expression in palate squamous cell carcinomas.

机构信息

Department of Pathology, Faculty of Dentistry, Department of Radiology and Medical Imaging, University of Medicine and Pharmacy of Craiova, Romania;

出版信息

Rom J Morphol Embryol. 2021 Jan-Mar;62(1):133-149. doi: 10.47162/RJME.62.1.13.

Abstract

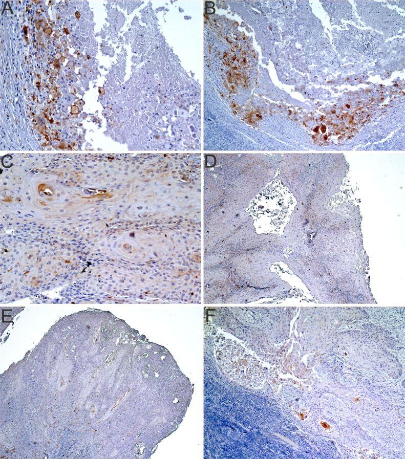
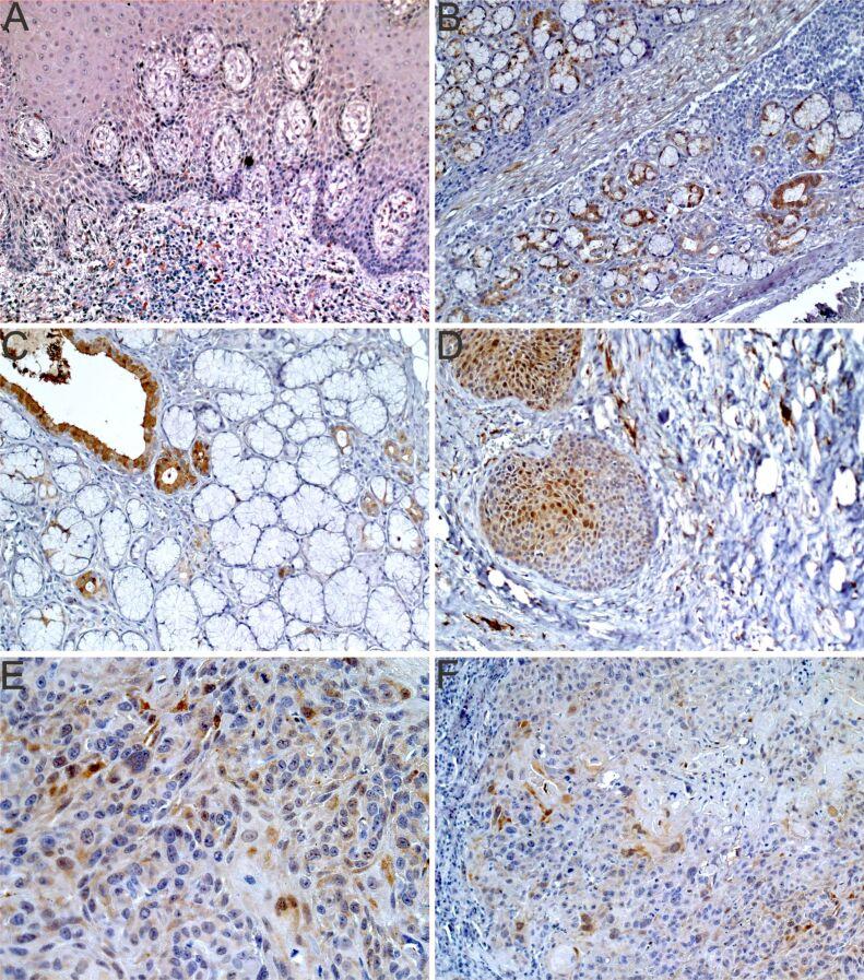
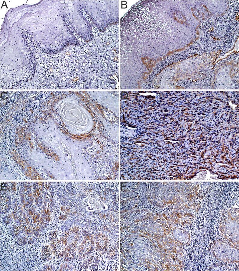
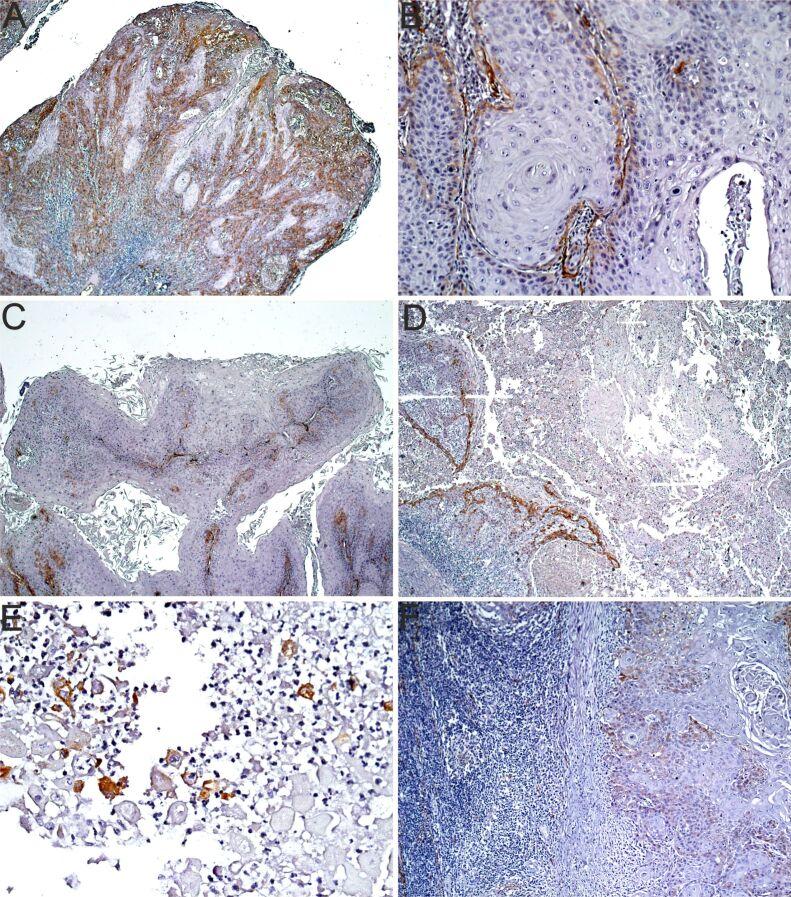
Squamous cell carcinoma (SCC) is the most frequent cancer in oral cavity and its prognosis has exhibited little improvement in the last decades. Although much less common palate SCCs manifests a higher local aggression invading very quickly the adjacent muscles and jawbones, thus being able frequently to lead to dysfunctions in chewing, swallowing, and speech. To elucidate what underlies such local aggression, we investigated the immunohistochemical expression in palate SCCs of Podoplanin (D2-40), Galectin-3 (Gal-3), mammary serine protease inhibitor (Maspin) and minichromosome maintenance complex component 7 (MCM7), markers that are known to be involved in tumor invasiveness. We found a progressive increase in reactivity for D2-40 and MCM7 from the normal epithelium toward dysplastic epithelium and respectively to SCC, which suggests the intervention of these markers in the early stages of squamous cell carcinogenesis in the palate. The highest D2-40, Gal-3 and MCM7 reactivity was observed in basaloid and in poorly differentiated (G3) palate SCCs, while for Maspin the well-differentiated (G1) palate SCCs were the most reactive. The first three markers mentioned above were most intensely expressed at the invasion front, while the Maspin reactivity was low or absent at this level. Statistically, we found significant stratification on localization, grading, muscle invasion, and survival for all investigated markers, but with very high direct correlations between D2-40, Gal-3, and MCM7 immunoreactive score (IRS) values, while between the Maspin and each of the previous markers there were very high inverse correlations. Overall, all these investigate markers proved to be responsible for the local invasiveness and regional lymph node metastasis, thus allowing a prognostic and therapeutic stratification of patients with palate SCCs.

摘要

鳞状细胞癌 (SCC) 是口腔最常见的癌症,其预后在过去几十年中几乎没有改善。尽管相对少见的硬腭 SCC 表现出更高的局部侵袭性,很快侵犯相邻的肌肉和颌骨,从而经常导致咀嚼、吞咽和言语功能障碍。为了阐明这种局部侵袭性的基础,我们研究了硬腭 SCC 中 Podoplanin (D2-40)、半乳糖凝集素-3 (Gal-3)、乳腺丝氨酸蛋白酶抑制剂 (Maspin) 和微小染色体维持复合物成分 7 (MCM7) 的免疫组织化学表达,这些标志物已知与肿瘤侵袭性有关。我们发现 D2-40 和 MCM7 的反应性从正常上皮逐渐增加到发育不良的上皮,分别到 SCC,这表明这些标志物参与了硬腭鳞状细胞癌发生的早期阶段。基底样和低分化 (G3) 硬腭 SCC 中 D2-40、Gal-3 和 MCM7 的反应性最高,而 Maspin 在高分化 (G1) 硬腭 SCC 中反应性最强。上述前三个标志物在侵袭前沿表达最强,而 Maspin 在此水平的反应性较低或缺失。统计学上,我们发现所有研究标志物在定位、分级、肌肉浸润和生存方面都有显著分层,但 D2-40、Gal-3 和 MCM7 免疫反应评分 (IRS) 值之间存在高度直接相关性,而 Maspin 与前两者之间存在高度负相关性。总的来说,所有这些研究的标志物都证明了其对局部侵袭性和区域淋巴结转移的责任,从而允许对硬腭 SCC 患者进行预后和治疗分层。

https://cdn.ncbi.nlm.nih.gov/pmc/blobs/31d4/8597379/b66c3e3b06b9/RJME-62-1-133-fig1.jpg

文献AI研究员

20分钟写一篇综述,助力文献阅读效率提升50倍。

立即体验

用中文搜PubMed

大模型驱动的PubMed中文搜索引擎

马上搜索

文档翻译

学术文献翻译模型,支持多种主流文档格式。

立即体验