Suppr超能文献

第二代选择性tau蛋白示踪剂[F]PI-2620用于评估四重复tau蛋白病的研究

Evaluation of [F]PI-2620, a second-generation selective tau tracer, for assessing four-repeat tauopathies.

作者信息

Tezuka Toshiki, Takahata Keisuke, Seki Morinobu, Tabuchi Hajime, Momota Yuki, Shiraiwa Mika, Suzuki Natsumi, Morimoto Ayaka, Nakahara Tadaki, Iwabuchi Yu, Miura Eisuke, Yamamoto Yasuharu, Sano Yasunori, Funaki Kei, Yamagata Bun, Ueda Ryo, Yoshizaki Takahito, Mashima Kyoko, Shibata Mamoru, Oyama Munenori, Okada Kensuke, Kubota Masahito, Okita Hajime, Takao Masaki, Jinzaki Masahiro, Nakahara Jin, Mimura Masaru, Ito Daisuke

机构信息

Department of Neurology, Keio University School of Medicine, Tokyo, Japan.

Department of Neuropsychiatry, Keio University School of Medicine, Tokyo, Japan.

出版信息

Brain Commun. 2021 Aug 24;3(4):fcab190. doi: 10.1093/braincomms/fcab190. eCollection 2021.

Abstract

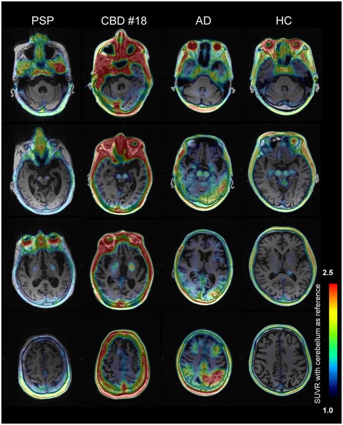
Tau aggregates represent a key pathologic feature of Alzheimer's disease and other neurodegenerative diseases. Recently, PET probes have been developed for detection of tau accumulation; however, they are limited because of off-target binding and a reduced ability to detect tau in non-Alzheimer's disease tauopathies. The novel tau PET tracer, [F]PI-2620, has a high binding affinity and specificity for aggregated tau; therefore, it was hypothesized to have desirable properties for the visualization of tau accumulation in Alzheimer's disease and non-Alzheimer's disease tauopathies. To assess the ability of [F]PI-2620 to detect regional tau burden in non-Alzheimer's disease tauopathies compared with Alzheimer's disease, patients with progressive supranuclear palsy ( = 3), corticobasal syndrome ( = 2), corticobasal degeneration ( = 1) or Alzheimer's disease ( = 8), and healthy controls ( = 7) were recruited. All participants underwent MRI, amyloid β assessment and [F]PI-2620 PET (Image acquisition at 60-90 min post-injection). Cortical and subcortical tau accumulations were assessed by calculating standardized uptake value ratios using [F]PI-2620 PET. For pathologic validation, tau pathology was assessed using tau immunohistochemistry and compared with [F]PI-2620 retention in an autopsied case of corticobasal degeneration. In Alzheimer's disease, focal retention of [F]PI-2620 was evident in the temporal and parietal lobes, precuneus, and cingulate cortex. Standardized uptake value ratio analyses revealed that patients with non-Alzheimer's disease tauopathies had elevated [F]PI-2620 uptake only in the globus pallidus, as compared to patients with Alzheimer's disease, but not healthy controls. A head-to-head comparison of [F]PI-2620 and [F]PM-PBB3, another tau PET probe for possibly visualizing the four-repeat tau pathogenesis in non-Alzheimer's disease, revealed different retention patterns in one subject with progressive supranuclear palsy. Imaging-pathology correlation analysis of the autopsied patient with corticobasal degeneration revealed no significant correlation between [F]PI-2620 retention . High [F]PI-2620 uptake at 60-90 min post-injection in the globus pallidus may be a sign of neurodegeneration in four-repeat tauopathy, but not necessarily practical for diagnosis of non-Alzheimer's disease tauopathies. Collectively, this tracer is a promising tool to detect Alzheimer's disease-tau aggregation. However, late acquisition PET images of [F]PI-2620 may have limited utility for reliable detection of four-repeat tauopathy because of lack of correlation between post-mortem tau pathology and different retention pattern than the non-Alzheimer's disease-detectable tau radiotracer, [F]PM-PBB3. A recent study reported that [F]PI-2620 tracer kinetics curves in four-repeat tauopathies peak earlier (within 30 min) than Alzheimer's disease; therefore, further studies are needed to determine appropriate PET acquisition times that depend on the respective interest regions and diseases.

摘要

Tau蛋白聚集体是阿尔茨海默病和其他神经退行性疾病的关键病理特征。最近,已开发出用于检测tau蛋白积累的PET探针;然而,由于脱靶结合以及在非阿尔茨海默病tau蛋白病中检测tau蛋白的能力降低,它们存在局限性。新型tau蛋白PET示踪剂[F]PI - 2620对聚集的tau蛋白具有高结合亲和力和特异性;因此,推测它具有在阿尔茨海默病和非阿尔茨海默病tau蛋白病中可视化tau蛋白积累的理想特性。为了评估[F]PI - 2620与阿尔茨海默病相比在非阿尔茨海默病tau蛋白病中检测区域tau蛋白负担的能力,招募了进行性核上性麻痹患者(n = 3)、皮质基底节综合征患者(n = 2)、皮质基底节变性患者(n = 1)或阿尔茨海默病患者(n = 8)以及健康对照者(n = 7)。所有参与者均接受了MRI、淀粉样β蛋白评估和[F]PI - 2620 PET检查(注射后60 - 90分钟进行图像采集)。通过使用[F]PI - 2620 PET计算标准化摄取值比来评估皮质和皮质下tau蛋白积累情况。为进行病理验证,在一例皮质基底节变性尸检病例中,使用tau蛋白免疫组织化学评估tau蛋白病理情况,并与[F]PI - 2620滞留情况进行比较。在阿尔茨海默病中,[F]PI - 2620在颞叶、顶叶、楔前叶和扣带回皮质有明显的局灶性滞留。标准化摄取值比分析显示,与阿尔茨海默病患者相比,非阿尔茨海默病tau蛋白病患者仅在苍白球有[F]PI - 2620摄取升高,但与健康对照者相比无差异。[F]PI - 2620与另一种可能用于可视化非阿尔茨海默病中四重复tau蛋白发病机制的tau蛋白PET探针[F]PM - PBB3的直接比较显示,在一名进行性核上性麻痹患者中存在不同的滞留模式。对皮质基底节变性尸检患者的影像 - 病理相关性分析显示,[F]PI - 2620滞留之间无显著相关性。注射后60 - 90分钟苍白球中[F]PI - 2620摄取高可能是四重复tau蛋白病神经退行性变的一个迹象,但不一定对非阿尔茨海默病tau蛋白病的诊断实用。总体而言,这种示踪剂是检测阿尔茨海默病tau蛋白聚集的一种有前景的工具。然而,由于死后tau蛋白病理与不同滞留模式之间缺乏相关性,与可检测非阿尔茨海默病的tau蛋白放射性示踪剂[F]PM - PBB3不同,[F]PI - 2620的晚期采集PET图像对于可靠检测四重复tau蛋白病可能效用有限。最近一项研究报告称,四重复tau蛋白病中[F]PI - 2620示踪剂动力学曲线比阿尔茨海默病更早达到峰值(30分钟内);因此,需要进一步研究以确定取决于各自感兴趣区域和疾病的合适PET采集时间。

https://cdn.ncbi.nlm.nih.gov/pmc/blobs/7368/8495135/07bed691bbd9/fcab190f5.jpg

文献AI研究员

20分钟写一篇综述,助力文献阅读效率提升50倍。

立即体验

用中文搜PubMed

大模型驱动的PubMed中文搜索引擎

马上搜索

文档翻译

学术文献翻译模型,支持多种主流文档格式。

立即体验