Suppr超能文献

TRIB3与糖原合酶激酶3的相互作用促进肺纤维化,并成为一个潜在的治疗靶点。

TRIB3‒GSK-3 interaction promotes lung fibrosis and serves as a potential therapeutic target.

作者信息

Liu Shanshan, Lv Xiaoxi, Wei Xupeng, Liu Chang, Li Qiao, Min Jiali, Hua Fang, Zhang Xiaowei, Li Ke, Li Pingping, Xiao Yang, Hu Zhuowei, Cui Bing

机构信息

State Key Laboratory of Bioactive Substance and Function of Natural Medicines, Institute of Materia Medica, CAMS Key Laboratory of Molecular Mechanism and Target Discovery of Metabolic Disorder and Tumorigenesis, Chinese Academy of Medical Sciences & Peking Union Medical College, Beijing 100050, China.

Department of Pharmacy, Pharmacy College, Hebei University, Baoding 071000, China.

出版信息

Acta Pharm Sin B. 2021 Oct;11(10):3105-3119. doi: 10.1016/j.apsb.2021.06.017. Epub 2021 Jul 7.

Abstract

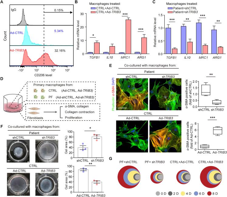
Pulmonary fibrosis (PF) is a chronic, progressive, fatal interstitial lung disease with limited available therapeutic strategies. We recently reported that the protein kinase glycogen synthase kinase-3 (GSK-3) interacts with and inactivates the ubiquitin-editing enzyme A20 to suppress the degradation of the transcription factor CCAAT/enhancer-binding protein beta (C/EBP) in alveolar macrophages (AMs), resulting in a profibrotic phenotype of AMs and promoting the development of PF. Here, we showed that chronic lung injury upregulated the stress response protein tribbles homolog 3 (TRIB3), which interacted with GSK-3 and stabilized GSK-3 from ubiquitination and degradation. Elevated GSK-3 expression phosphorylated A20 to inhibit its ubiquitin-editing activity, causing the accumulation of C/EBP and the production of several profibrotic factors in AMs and promoting PF development. Activated C/EBP, in turn, increased the transcription of TRIB3 and GSK-3, thereby establishing a positive feedback loop in AMs. The knockdown of expression or the pharmacologic disruption of the TRIB3‒GSK-3 interaction was an effective PF treatment. Our study reveals an intact profibrotic axis of TRIB3‒GSK-3‒A20‒C/EBP in AMs, which represents a target that may provide a promising treatment strategy for PF.

摘要

肺纤维化(PF)是一种慢性、进行性、致命的间质性肺病,可用的治疗策略有限。我们最近报道,蛋白激酶糖原合酶激酶-3(GSK-3)与泛素编辑酶A20相互作用并使其失活,以抑制肺泡巨噬细胞(AMs)中转录因子CCAAT/增强子结合蛋白β(C/EBP)的降解,从而导致AMs出现促纤维化表型并促进PF的发展。在此,我们表明慢性肺损伤会上调应激反应蛋白TRIB3同源物3(TRIB3),其与GSK-3相互作用并使GSK-3免受泛素化和降解的影响。GSK-3表达升高会使A20磷酸化,从而抑制其泛素编辑活性,导致C/EBP在AMs中积累并产生多种促纤维化因子,进而促进PF的发展。激活的C/EBP反过来会增加TRIB3和GSK-3的转录,从而在AMs中建立一个正反馈回路。敲低TRIB3的表达或破坏TRIB3与GSK-3的相互作用是一种有效的PF治疗方法。我们的研究揭示了AMs中存在一个完整的TRIB3-GSK-3-A20-C/EBP促纤维化轴,这代表了一个可能为PF提供有前景治疗策略的靶点。

https://cdn.ncbi.nlm.nih.gov/pmc/blobs/64e6/8546892/5aadda5db2af/ga1.jpg

文献AI研究员

20分钟写一篇综述,助力文献阅读效率提升50倍。

立即体验

用中文搜PubMed

大模型驱动的PubMed中文搜索引擎

马上搜索

文档翻译

学术文献翻译模型,支持多种主流文档格式。

立即体验