Suppr超能文献

核糖体蛋白S3(rpS3)单克隆抗体的制备、表征及表位作图

Production, characterization, and epitope mapping of monoclonal antibodies of ribosomal protein S3 (rpS3).

作者信息

Ahn Woo-Sung, Kim Tae-Sung, Park Yong Jun, Park Young Kwang, Kim Hag Dong, Kim Joon

机构信息

Laboratory of Biochemistry, Division of Life Sciences, Korea University, Seoul, Republic of Korea.

HAEL Lab, Korea University, Seoul, Republic of Korea.

出版信息

Anim Cells Syst (Seoul). 2021 Oct 6;25(5):323-336. doi: 10.1080/19768354.2021.1980100. eCollection 2021.

Abstract

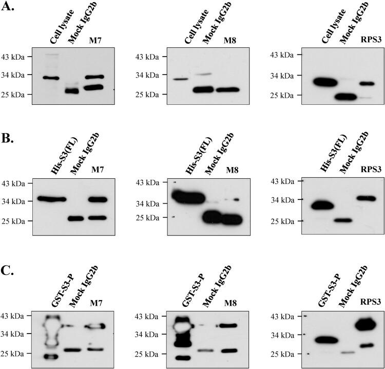
Ribosomal protein S3 (rpS3), a member of 40S small ribosomal subunit, is a multifunctional protein with various extra-ribosomal functions including DNA repair endonuclease activity and is secreted from cancer cells. Therefore, antibodies with high specificity against rpS3 protein could be useful cancer biomarkers. In this study, polyclonal antibody (pAb) and monoclonal antibodies (mAbs) were raised against rpS3 protein and epitope mapping was performed for each antibody; the amino acid residues of rpS3 were scanned from amino acid 185 to 243 through peptide scanning to reveal the epitopes of each mAb. Results showed that pAb R2 has an epitope from amino acid 203 to 230, mAb M7 has an epitope from amino acid 213 to 221, and mAb M8 has an epitope from amino acid 197 to 219. Taken together, novel mAbs and pAb against rpS3 were raised and mapped against rpS3 with different specific epitopes.

摘要

核糖体蛋白S3(rpS3)是40S小核糖体亚基的成员,是一种多功能蛋白,具有多种核糖体外功能,包括DNA修复内切核酸酶活性,且由癌细胞分泌。因此,对rpS3蛋白具有高特异性的抗体可能是有用的癌症生物标志物。在本研究中,制备了针对rpS3蛋白的多克隆抗体(pAb)和单克隆抗体(mAb),并对每种抗体进行了表位作图;通过肽扫描从第185位氨基酸到第243位氨基酸扫描rpS3的氨基酸残基,以揭示每种mAb的表位。结果显示,pAb R2的表位位于第203位氨基酸至第230位氨基酸,mAb M7的表位位于第213位氨基酸至第221位氨基酸,mAb M8的表位位于第197位氨基酸至第219位氨基酸。综上所述,制备了针对rpS3的新型mAb和pAb,并测定了它们与具有不同特异性表位的rpS3的结合情况。

https://cdn.ncbi.nlm.nih.gov/pmc/blobs/ed3e/8567880/a43c14642c39/TACS_A_1980100_F0001_OC.jpg

文献AI研究员

20分钟写一篇综述,助力文献阅读效率提升50倍。

立即体验

用中文搜PubMed

大模型驱动的PubMed中文搜索引擎

马上搜索

文档翻译

学术文献翻译模型,支持多种主流文档格式。

立即体验