Suppr超能文献

GLP-1RA 和 SGLT2i 单独或联合应用对不同疾病阶段的 2 型糖尿病小鼠模型的影响。

Effects of GLP-1RA and SGLT2i, Alone or in Combination, on Mouse Models of Type 2 Diabetes Representing Different Disease Stages.

机构信息

Division of Diabetes and Metabolic Diseases, Nihon University School of Medicine, 30-1 Oyaguchi-kamicho, Itabashi-ku, Tokyo 173-8610, Japan.

出版信息

Int J Mol Sci. 2021 Oct 25;22(21):11463. doi: 10.3390/ijms222111463.

Abstract

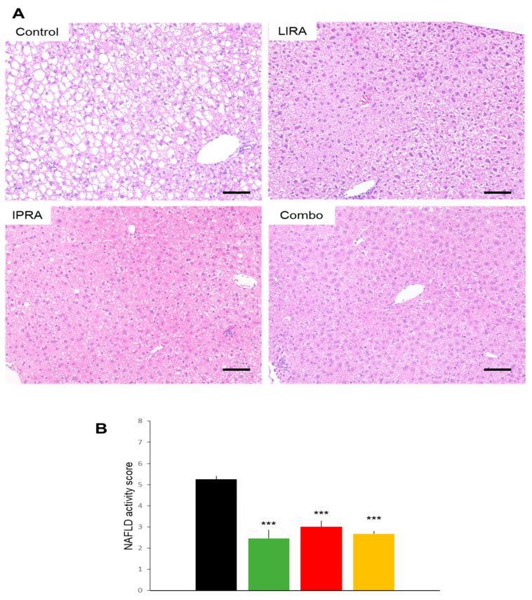
Glucagon-like peptide-1 receptor agonist (GLP-1RA) and sodium-dependent glucose transporter 2 inhibitor (SGLT2i), in addition to lowering glucose, have pleiotropic effects on the heart, kidneys, and liver. These drugs have thus come into widespread use for treating type 2 diabetes (T2DM). However, mechanistic comparisons and effects of combining these drugs have not been adequately studied. Employing diet-induced obese (DIO) mice and db/db mice as models of the early and advanced stages of T2DM, we evaluated effects of single or combined use of liraglutide (a GLP-1RA) and ipragliflozin (a SGLT2i). Treatments with liraglutide and/or ipragliflozin for 28 days improved glycemic control and reduced hepatic lipid accumulation similarly in DIO mice. In contrast, in db/db mice, despite similar favorable effects on fatty liver, liraglutide exerted no beneficial effects on glycemic control. Improved glycemic control in db/db mice treated with ipragliflozin was accompanied by increased pancreatic β-cell area and insulin content, both of which tended to rise further when ipragliflozin was combined with liraglutide. Our data suggest that liraglutide is more efficient at an earlier stage and ipragliflozin can be effective in both stages. In addition, their combined use is a potential option for treating advanced stage diabetes with fatty liver disease.

摘要

胰高血糖素样肽-1 受体激动剂 (GLP-1RA) 和钠依赖性葡萄糖转运蛋白 2 抑制剂 (SGLT2i) 除了降低血糖外,对心脏、肾脏和肝脏还有多种作用。因此,这些药物已广泛用于治疗 2 型糖尿病 (T2DM)。然而,对于这些药物的联合使用的机制比较和效果尚未进行充分研究。我们采用饮食诱导肥胖 (DIO) 小鼠和 db/db 小鼠作为 T2DM 早期和晚期阶段的模型,评估了利拉鲁肽 (一种 GLP-1RA) 和伊格列净 (一种 SGLT2i) 单独或联合使用的效果。用利拉鲁肽和/或伊格列净治疗 28 天,可使 DIO 小鼠的血糖控制得到改善,肝脂质堆积减少,效果相似。相比之下,在 db/db 小鼠中,尽管利拉鲁肽对脂肪肝有类似的有利影响,但对血糖控制没有有益作用。伊格列净治疗 db/db 小鼠时,血糖控制得到改善,同时胰腺β细胞面积和胰岛素含量增加,当伊格列净与利拉鲁肽联合使用时,这两个指标均有进一步上升的趋势。我们的数据表明,利拉鲁肽在早期阶段更有效,而伊格列净在两个阶段都有效。此外,它们的联合使用可能是治疗晚期糖尿病伴脂肪肝的一种选择。

https://cdn.ncbi.nlm.nih.gov/pmc/blobs/8122/8583813/ff40ae5166bc/ijms-22-11463-g001.jpg

文献AI研究员

20分钟写一篇综述,助力文献阅读效率提升50倍。

立即体验

用中文搜PubMed

大模型驱动的PubMed中文搜索引擎

马上搜索

文档翻译

学术文献翻译模型,支持多种主流文档格式。

立即体验