Suppr超能文献

莱姆病病原体在其节肢动物载体中采用脂联素受体介导的信号转导。

The Lyme disease agent co-opts adiponectin receptor-mediated signaling in its arthropod vector.

机构信息

Section of Infectious Diseases, Department of Internal Medicine, School of Medicine, Yale University, New Haven, United States.

Department of Clinical Veterinary Medicine, and Key Laboratory for Zoonosis Research, Ministry of Education, College of Veterinary Medicine, Jilin University, Changchun, China.

出版信息

Elife. 2021 Nov 16;10:e72568. doi: 10.7554/eLife.72568.

Abstract

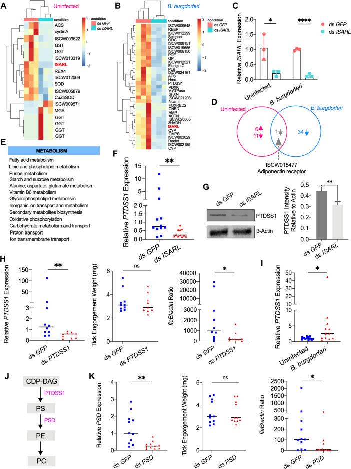
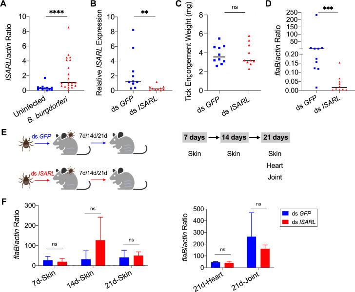
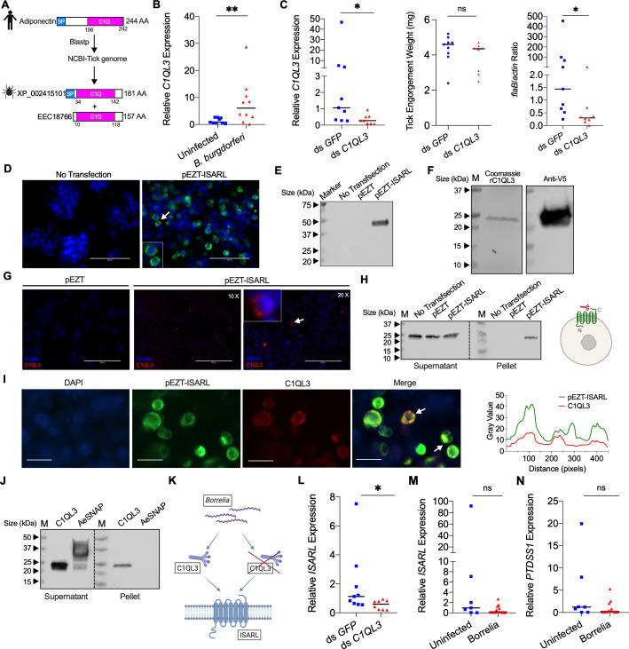
Adiponectin-mediated pathways contribute to mammalian homeostasis; however, little is known about adiponectin and adiponectin receptor signaling in arthropods. In this study, we demonstrate that ticks have an adiponectin receptor-like protein (ISARL) but lack adiponectin, suggesting activation by alternative pathways. expression is significantly upregulated in the tick gut after infection, suggesting that ISARL signaling may be co-opted by the Lyme disease agent. Consistent with this, RNA interference (RNAi)-mediated silencing of significantly reduced the burden in the tick. RNA-seq-based transcriptomics and RNAi assays demonstrate that ISARL-mediated phospholipid metabolism by phosphatidylserine synthase I is associated with survival. Furthermore, the tick complement C1q-like protein 3 interacts with ISARL, and facilitates this process. This study identifies a new tick metabolic pathway that is connected to the life cycle of the Lyme disease spirochete.

摘要

脂联素介导的途径有助于哺乳动物的内稳态;然而,关于脂联素和脂联素受体在节肢动物中的信号通路知之甚少。在这项研究中,我们证明了蜱有一种脂联素受体样蛋白(ISARL),但缺乏脂联素,这表明它通过替代途径被激活。在 tick 感染后, 表达在蜱的肠道中显著上调,这表明 ISARL 信号通路可能被莱姆病病原体所利用。与此一致的是,通过 RNA 干扰(RNAi)介导的 沉默显著降低了 tick 中的 负担。基于 RNA-seq 的转录组学和 RNAi 分析表明,ISARL 介导的磷脂代谢通过磷酸丝氨酸合酶 I 与 存活相关。此外,蜱补体 C1q 样蛋白 3 与 ISARL 相互作用,并促进这一过程。这项研究确定了一个与莱姆病螺旋体生命周期相关的新蜱代谢途径。

https://cdn.ncbi.nlm.nih.gov/pmc/blobs/9ea3/8639152/8296e98f2169/elife-72568-fig1.jpg

文献AI研究员

20分钟写一篇综述,助力文献阅读效率提升50倍。

立即体验

用中文搜PubMed

大模型驱动的PubMed中文搜索引擎

马上搜索

文档翻译

学术文献翻译模型,支持多种主流文档格式。

立即体验