Suppr超能文献

多模态 MRI 分析受虐待儿童和青少年的大脑结构和功能与 OXT 甲基化的关系。

A multi-modal MRI analysis of brain structure and function in relation to OXT methylation in maltreated children and adolescents.

机构信息

Research Center for Child Mental Development, University of Fukui, Fukui, Japan.

Division of Developmental Higher Brain Functions, United Graduate School of Child Development, Osaka University, Kanazawa University, Hamamatsu University School of Medicine, Chiba University, and University of Fukui, Osaka, Japan.

出版信息

Transl Psychiatry. 2021 Nov 18;11(1):589. doi: 10.1038/s41398-021-01714-y.

Abstract

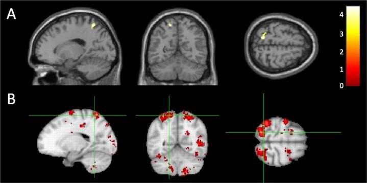
Child maltreatment dysregulates the brain's oxytocinergic system, resulting in dysfunctional attachment patterns. However, how the oxytocinergic system in children who are maltreated (CM) is epigenetically affected remains unknown. We assessed differences in salivary DNA methylation of the gene encoding oxytocin (OXT) between CM (n = 24) and non-CM (n = 31), alongside its impact on brain structures and functions using multi-modal brain imaging (voxel-based morphometry, diffusion tensor imaging, and task and resting-state functional magnetic resonance imaging). We found that CM showed higher promoter methylation than non-CM, and nine CpG sites were observed to be correlated with each other and grouped into one index (OXTmi). OXTmi was significantly negatively correlated with gray matter volume (GMV) in the left superior parietal lobule (SPL), and with right putamen activation during a rewarding task, but not with white matter structures. Using a random forest regression model, we investigated the sensitive period and type of maltreatment that contributed the most to OXTmi in CM, revealing that they were 5-8 years of age and physical abuse (PA), respectively. However, the presence of PA (PA+) was meant to reflect more severe cases, such as prolonged exposure to multiple types of abuse, than the absence of PA. PA+ was associated with significantly greater functional connectivity between the right putamen set as the seed and the left SPL and the left cerebellum exterior. The results suggest that OXT promoter hypermethylation may lead to the atypical development of reward and visual association structures and functions, thereby potentially worsening clinical aspects raised by traumatic experiences.

摘要

儿童虐待会扰乱大脑的催产素系统,导致依恋模式功能失调。然而,虐待儿童(CM)的催产素系统如何受到表观遗传影响尚不清楚。我们评估了 CM(n=24)和非-CM(n=31)之间编码催产素(OXT)的基因唾液 DNA 甲基化的差异,以及使用多模态脑成像(体素基形态计量学、弥散张量成像和任务和静息状态功能磁共振成像)对大脑结构和功能的影响。我们发现 CM 的启动子甲基化程度高于非-CM,并且观察到 9 个 CpG 位点相互关联并分为一个指数(OXTmi)。OXTmi 与左顶叶上回(SPL)的灰质体积(GMV)呈显著负相关,与奖励任务期间右壳核的激活呈负相关,但与白质结构无关。使用随机森林回归模型,我们研究了对 CM 中 OXTmi 贡献最大的敏感时期和虐待类型,结果表明是 5-8 岁和身体虐待(PA)。然而,PA(PA+)的存在意味着比没有 PA 更严重的情况,例如长时间暴露于多种类型的虐待。PA+与右壳核作为种子与左 SPL 和左小脑外部之间的功能连接显著增加有关。结果表明,OXT 启动子超甲基化可能导致奖励和视觉联想结构和功能的非典型发育,从而可能使创伤经历引起的临床方面恶化。

https://cdn.ncbi.nlm.nih.gov/pmc/blobs/11a5/8599663/2bbf5c3ccf48/41398_2021_1714_Fig1_HTML.jpg

文献AI研究员

20分钟写一篇综述,助力文献阅读效率提升50倍。

立即体验

用中文搜PubMed

大模型驱动的PubMed中文搜索引擎

马上搜索

文档翻译

学术文献翻译模型,支持多种主流文档格式。

立即体验