Suppr超能文献

黄芩素和没食子儿茶素没食子酸酯通过靶向 M 和脓毒症有效抑制 SARS-CoV-2 在小鼠中的复制。

Both Baicalein and Gallocatechin Gallate Effectively Inhibit SARS-CoV-2 Replication by Targeting M and Sepsis in Mice.

机构信息

State Key Laboratory of Medicinal Chemical Biology, College of Pharmacy and Tianjin Key Laboratory of Molecular Drug Research, Nankai University, Haihe Education Park, 38 Tongyan Road, Tianjin, 300353, People's Republic of China.

Tianjin Key Laboratory of Molecular Drug Research, Tianjin International Joint Academy of Biomedicine, Tianjin, China.

出版信息

Inflammation. 2022 Jun;45(3):1076-1088. doi: 10.1007/s10753-021-01602-z. Epub 2021 Nov 25.

Abstract

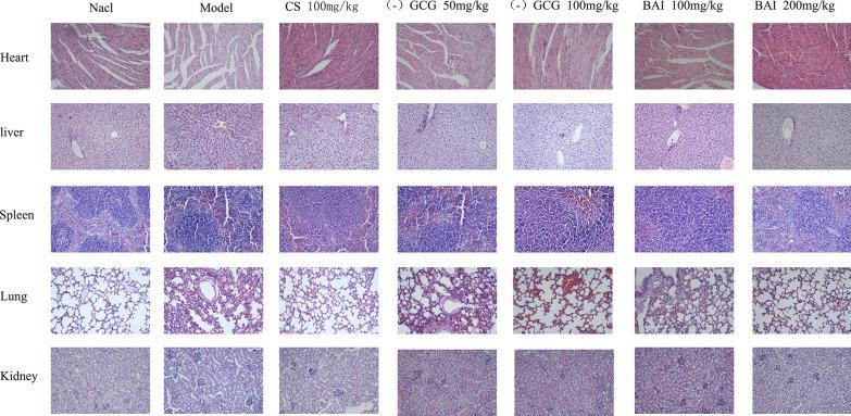
The emergence of severe acute syndrome coronavirus 2 (SARS-CoV-2) in December 2019 has led to the global COVID-19 pandemic. Although the symptoms of most COVID-19 patients are mild or self-curable, most of severe patients have sepsis caused by cytokine storms, which greatly increases the case fatality rate. Moreover, there is no effective drug that can limit the novel coronavirus thus far, so it is more needed to develop antiviral drugs for the SARS-CoV-2. In our research, we employed the techniques of molecular docking to screen 35 flavonoid compounds among which 29 compounds have Z-scores lower than - 6. Then, ( -)-gallocatechin gallate, ( +)-gallocatechin and baicalein were identified to have potent inhibitory activity against SARS-CoV-2 M with IC values of 5.774 ± 0.805 μM, 13.14 ± 2.081 μM and 5.158 ± 0.928 μM respectively by FRET assay. Molecular docking results also showed that ( -)-gallocatechin gallate, ( +)-gallocatechin and baicalein can non-covalently bind to M through π-π stacking and hydrogen bonds in the Cys145 catalytic site. We further evaluated the effect of ( -)-gallocatechin gallate and baicalein on cytokine storms using a mouse model of sepsis. ( -)-Gallocatechin gallate and baicalein significantly reduced sepsis of mouse models on weight, murine sepsis score, and survival rate and reduced the inflammatory factor levels, such as TNF-α, IL-1α, IL-4, and IL-10. Overall, ( -)-gallocatechin gallate and baicalein show certain potential of treatment against COVID-19.

摘要

严重急性综合征冠状病毒 2(SARS-CoV-2)于 2019 年 12 月出现,导致全球 COVID-19 大流行。虽然大多数 COVID-19 患者的症状较轻或可自行治愈,但大多数重症患者都有细胞因子风暴引起的败血症,这大大增加了病死率。此外,到目前为止,还没有有效的药物可以限制新型冠状病毒,因此更需要开发针对 SARS-CoV-2 的抗病毒药物。在我们的研究中,我们采用分子对接技术筛选了 35 种黄酮类化合物,其中 29 种化合物的 Z 分数低于-6。然后,(-)-没食子儿茶素没食子酸酯、(+)-儿茶素和黄芩素被鉴定为对 SARS-CoV-2 M 具有很强的抑制活性,IC 值分别为 5.774±0.805μM、13.14±2.081μM 和 5.158±0.928μM,通过 FRET 测定。分子对接结果还表明,(-)-没食子儿茶素没食子酸酯、(+)-儿茶素和黄芩素可以通过π-π堆积和半胱氨酸 145 催化位点的氢键非共价结合到 M 上。我们进一步评估了(-)-没食子儿茶素没食子酸酯和黄芩素对败血症小鼠模型中细胞因子风暴的影响。(-)-没食子儿茶素没食子酸酯和黄芩素显著降低了败血症模型的体重、鼠败血症评分和存活率,并降低了炎症因子水平,如 TNF-α、IL-1α、IL-4 和 IL-10。总的来说,(-)-没食子儿茶素没食子酸酯和黄芩素对 COVID-19 具有一定的治疗潜力。

https://cdn.ncbi.nlm.nih.gov/pmc/blobs/4d30/8613464/3183b13eea42/10753_2021_1602_Fig1_HTML.jpg

文献AI研究员

20分钟写一篇综述,助力文献阅读效率提升50倍。

立即体验

用中文搜PubMed

大模型驱动的PubMed中文搜索引擎

马上搜索

文档翻译

学术文献翻译模型,支持多种主流文档格式。

立即体验