Suppr超能文献

ZJ-2019-1 对母猪玉米赤霉烯酮中毒的影响。

Effects of ZJ-2019-1 on Zearalenone Toxicosis in Female Gilts.

机构信息

Key Laboratory of Feed Biotechnology, Ministry of Agriculture and Rural Affairs, Feed Research Institute, Chinese Academy of Agricultural Sciences, No. 12 Zhongguancun South Street, Beijing 100081, China.

Animal Husbandry Department, Agricultural Science Research Institute, Huaihua 418000, China.

出版信息

Toxins (Basel). 2021 Nov 8;13(11):788. doi: 10.3390/toxins13110788.

Abstract

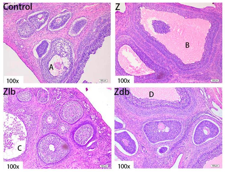
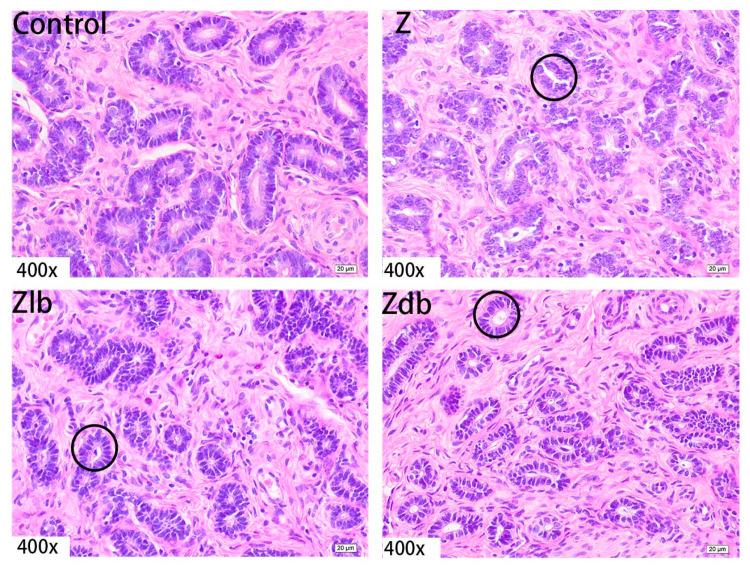
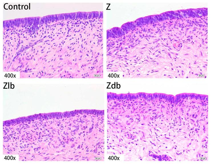
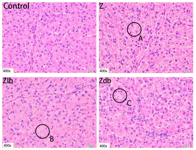
The purpose of this research was to investigate the toxicity of zearalenone (ZEN) on the growth performance, genital organs, serum hormones, biomarkers, and histopathological changes of female gilts and to evaluate the efficacy of ZJ-2019-1 in alleviating ZEN toxicosis in gilts. Twenty-four female gilts were randomly allocated to four groups with six replicates per group and one gilt per replicate, fed on four feeds prepared previously, which were basic diet (control group, C group), ZEN diet (Z group), Zlb diet (Zlb group) containing B. subtilis ZJ-2019-1 in liquid form, and Zdb diet (Zdb group) containing ZJ-2019-1 in dehydrated form. The results showed that the vulva size and relative weight of reproductive organs had no significant difference in the control group, Zlb group, and Zdb group, but were significantly lower than in the Z group ( < 0.05); the relative weight of the liver was lower in the C group, Zlb group, and Zbd group than in the Z group (0.05 < < 0.1). The concentration of serum glutamate dehydrogenase (GLDH) was lower, but follicle-stimulating hormone (FSH) was higher in the Z group, Zlb group, and Zdb group than in the Z group (0.05 < < 0.1). Additionally, serum luteinizing hormone (LH) concentration had no significant difference in the C group, Zlb group, and Zdb group but was significantly lower than in the Z group ( < 0.05); estradiol (E2) was significantly lower in the Zlb group and Zdb group than that in C group, but significantly higher than that in Z group ( < 0.05); PRL was significantly higher in the Zlb group and Zdb group than in the C group, but was significantly lower than in Z group ( < 0.05). ZEN and its reduced metabolites were measured in biological samples after enzymatic hydrolysis of the conjugated forms. The concentration of serum ZEN and its metabolite, α-zeralenol (α-ZOL), had no significant difference in Zlb, Zdb, and control groups but was significantly lower than in the Z group ( < 0.05); urine ZEN and its metabolites, α-ZOL and β-zeralenol (β-ZOL), had no significant difference in Zlb, Zdb, and control groups but was significantly lower than in the Z group ( < 0.05). Cell damages were observed in the liver, uterus, and ovary of gilts in the Z group and alleviated in Zlb and Zdb groups, but the loss of oocytes was irreversible in the ovary. The ZEN-contaminated diet caused serious changes in female hormones and brought harm to the livers and reproductive organs, but ZJ-2019-1 could naturally remove the ZEN significantly, which ameliorated the reproductive impairment in gilts caused by ZEN. The addition of ZJ-2019-1 to ZEN-contaminated feeds could ameliorate the toxic effects effectively, regardless of liquid or dry culture. Therefore, the ZJ-2019-1 strain has great potential industrial applications.

摘要

本研究旨在探讨玉米赤霉烯酮(ZEN)对母猪生长性能、生殖器官、血清激素、生物标志物和组织病理学变化的毒性,并评估 ZJ-2019-1 在缓解母猪 ZEN 中毒中的效果。24 头母猪被随机分为 4 组,每组 6 个重复,每个重复 1 头母猪,分别饲喂预先配制的 4 种饲料,即基础日粮(对照组,C 组)、ZEN 日粮(Z 组)、含有枯草芽孢杆菌 ZJ-2019-1 的液体形式的 Zlb 日粮(Zlb 组)和含有 ZJ-2019-1 的脱水形式的 Zdb 日粮(Zdb 组)。结果表明,C 组、Zlb 组和 Zdb 组的外阴大小和生殖器官相对重量与对照组无显著差异,但显著低于 Z 组(<0.05);C 组、Zlb 组和 Zdb 组的肝脏相对重量低于 Z 组(0.05<0.1)。血清谷氨酸脱氢酶(GLDH)浓度较低,但卵泡刺激素(FSH)浓度在 Z 组、Zlb 组和 Zdb 组中较高(0.05<0.1)。此外,血清促黄体生成素(LH)浓度在 C 组、Zlb 组和 Zdb 组中无显著差异,但显著低于 Z 组(<0.05);雌二醇(E2)在 Zlb 组和 Zdb 组中显著低于 C 组,但显著高于 Z 组(<0.05);催乳素(PRL)在 Zlb 组和 Zdb 组中显著高于 C 组,但显著低于 Z 组(<0.05)。在生物样品中经酶解共轭形式后,检测到血清 ZEN 及其代谢物α-玉米赤霉烯醇(α-ZOL)的浓度。Zlb、Zdb 和对照组血清 ZEN 及其代谢物α-ZOL 的浓度无显著差异,但显著低于 Z 组(<0.05);尿液 ZEN 及其代谢物α-ZOL 和β-玉米赤霉烯醇(β-ZOL)在 Zlb、Zdb 和对照组中无显著差异,但显著低于 Z 组(<0.05)。Z 组母猪的肝脏、子宫和卵巢出现细胞损伤,Zlb 和 Zdb 组得到缓解,但卵巢中卵母细胞的丢失是不可逆的。受 ZEN 污染的日粮严重改变了母猪的激素水平,对肝脏和生殖器官造成损害,但枯草芽孢杆菌 ZJ-2019-1 能显著去除 ZEN,改善了 ZEN 引起的母猪生殖损伤。在 ZEN 污染的饲料中添加枯草芽孢杆菌 ZJ-2019-1 可有效改善其毒性作用,无论是液体培养还是干燥培养。因此,枯草芽孢杆菌 ZJ-2019-1 株具有很大的工业应用潜力。

https://cdn.ncbi.nlm.nih.gov/pmc/blobs/bae7/8617607/bb616c6cc0b9/toxins-13-00788-g001.jpg

文献AI研究员

20分钟写一篇综述,助力文献阅读效率提升50倍。

立即体验

用中文搜PubMed

大模型驱动的PubMed中文搜索引擎

马上搜索

文档翻译

学术文献翻译模型,支持多种主流文档格式。

立即体验