Suppr超能文献

巴雷特食管:肿瘤进展的病理形态和分子遗传学关键。

Barrett's esophagus: The pathomorphological and molecular genetic keystones of neoplastic progression.

机构信息

Research Institute of Human Morphology, Moscow, Russian Federation.

出版信息

Cancer Med. 2022 Jan;11(2):447-478. doi: 10.1002/cam4.4447. Epub 2021 Dec 6.

Abstract

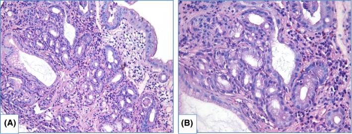
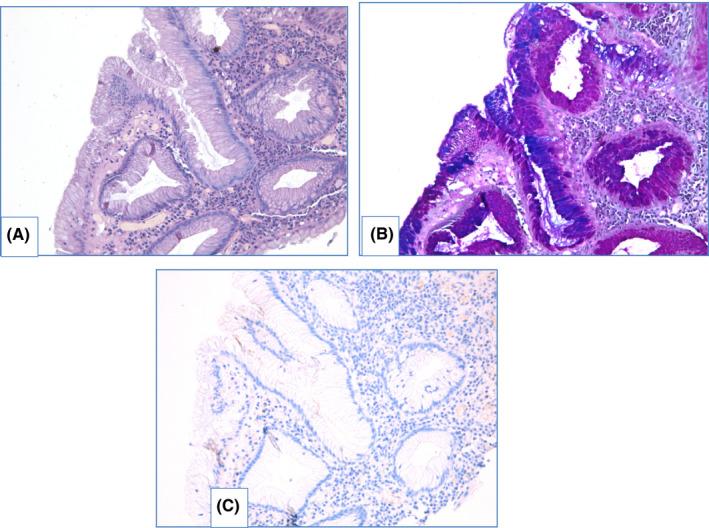
Barrett's esophagus is a widespread chronically progressing disease of heterogeneous nature. A life threatening complication of this condition is neoplastic transformation, which is often overlooked due to lack of standardized approaches in diagnosis, preventative measures and treatment. In this essay, we aim to stratify existing data to show specific associations between neoplastic transformation and the underlying processes which predate cancerous transition. We discuss pathomorphological, genetic, epigenetic, molecular and immunohistochemical methods related to neoplasia detection on the basis of Barrett's esophagus. Our review sheds light on pathways of such neoplastic progression in the distal esophagus, providing valuable insight into progression assessment, preventative targets and treatment modalities. Our results suggest that molecular, genetic and epigenetic alterations in the esophagus arise earlier than cancerous transformation, meaning the discussed targets can help form preventative strategies in at-risk patient groups.

摘要

巴雷特食管是一种广泛存在的慢性进行性疾病,具有异质性。这种疾病的一个危及生命的并发症是肿瘤转化,由于缺乏标准化的诊断、预防措施和治疗方法,这种并发症经常被忽视。在本文中,我们旨在对现有数据进行分层,以显示肿瘤转化与癌症转化前的潜在过程之间的特定关联。我们讨论了与 Barrett 食管相关的肿瘤检测的病理形态学、遗传、表观遗传、分子和免疫组织化学方法。我们的综述阐明了远端食管中这种肿瘤进展的途径,为进展评估、预防靶点和治疗方式提供了有价值的见解。我们的结果表明,食管中的分子、遗传和表观遗传改变早于癌症转化,这意味着所讨论的靶点可以帮助高危患者群体形成预防策略。

https://cdn.ncbi.nlm.nih.gov/pmc/blobs/5567/8729054/e74c54887180/CAM4-11-447-g015.jpg

文献AI研究员

20分钟写一篇综述,助力文献阅读效率提升50倍。

立即体验

用中文搜PubMed

大模型驱动的PubMed中文搜索引擎

马上搜索

文档翻译

学术文献翻译模型,支持多种主流文档格式。

立即体验