Suppr超能文献

非侵入性低强度聚焦超声神经调节对体内脊髓神经回路的影响。

Effects of Noninvasive Low-Intensity Focus Ultrasound Neuromodulation on Spinal Cord Neurocircuits In Vivo.

作者信息

Liao Ye-Hui, Chen Mo-Xian, Chen Shao-Chun, Luo Kai-Xuan, Wang Bin, Liu Yao, Ao Li-Juan

机构信息

School of Rehabilitation, Kunming Medical University, Kunming 650500, Yunnan Province, China.

Department of Orthopaedics, Affiliated Hospital of Southwest Medical University, Luzhou 646000, Sichuan Province, China.

出版信息

Evid Based Complement Alternat Med. 2021 Nov 27;2021:8534466. doi: 10.1155/2021/8534466. eCollection 2021.

Abstract

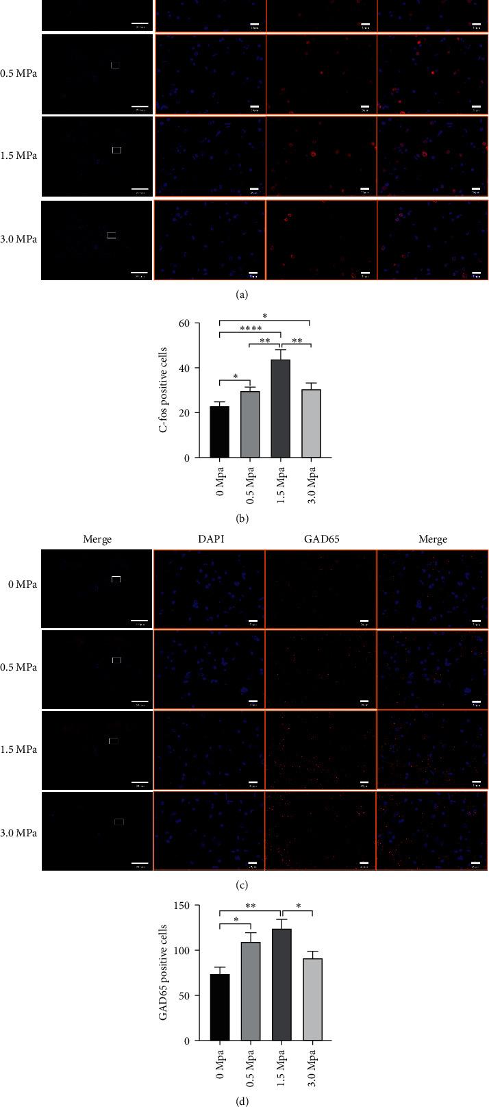
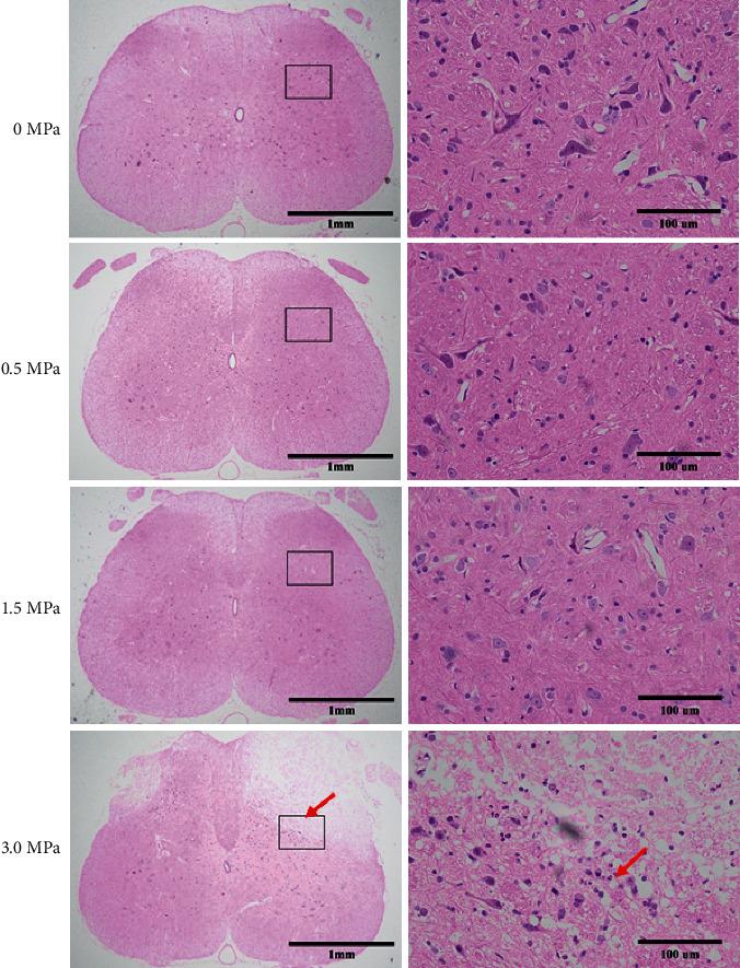
Although neurocircuits can be activated by focused ultrasound stimulation, it is unclear whether this is also true for spinal cord neurocircuits. In this study, we used low-intensity focused ultrasound (LIFU) to stimulate lumbar 4-lumbar 5 (L4-L5) segments of the spinal cord of normal Sprague Dawley rats with a clapper. The activation of the spinal cord neurocircuits enhanced soleus muscle contraction as measured by electromyography (EMG). Neuronal activation and injury were assessed by EMG, western blotting (WB), immunofluorescence, hematoxylin and eosin (H&E) staining, Nissl staining, enzyme-linked immunosorbent assay (ELISA), immunohistochemistry (IHC), somatosensory evoked potentials (SEPs), motor evoked potentials (MEPs), and the Basso-Beattie-Bresnahan locomotor rating scale. When the LIFU intensity was more than 0.5 MPa, LIFU stimulation induced soleus muscle contraction and increased the EMG amplitudes ( < 0.05) and the number of c-fos- and GAD65-positive cells ( < 0.05). When the LIFU intensity was 3.0 MPa, the LIFU stimulation led to spinal cord damage and decreased SEP amplitudes for electrophysiological assessment ( < 0.05); this resulted in coagulation necrosis, structural destruction, neuronal loss in the dorsal horn by H&E and Nissl staining, and increased expression of GFAP, IL-1, TNF-, and caspase-3 by IHC, ELISA, and WB ( < 0.05). These results show that LIFU can activate spinal cord neurocircuits and that LIFU stimulation with an irradiation intensity ≤1.5 MPa is a safe neurostimulation method for the spinal cord.

摘要

尽管神经回路可被聚焦超声刺激激活,但尚不清楚脊髓神经回路是否也是如此。在本研究中,我们使用低强度聚焦超声(LIFU)通过拍打器刺激正常Sprague Dawley大鼠脊髓的腰4-腰5(L4-L5)节段。通过肌电图(EMG)测量,脊髓神经回路的激活增强了比目鱼肌收缩。通过EMG、蛋白质免疫印迹法(WB)、免疫荧光、苏木精和伊红(H&E)染色、尼氏染色、酶联免疫吸附测定(ELISA)、免疫组织化学(IHC)、体感诱发电位(SEP)、运动诱发电位(MEP)以及Basso-Beattie-Bresnahan运动评分量表评估神经元激活和损伤情况。当LIFU强度超过0.5 MPa时,LIFU刺激诱导比目鱼肌收缩,并增加了EMG振幅(P<0.05)以及c-fos和GAD65阳性细胞数量(P<0.05)。当LIFU强度为3.0 MPa时,LIFU刺激导致脊髓损伤,电生理评估中SEP振幅降低(P<0.05);这导致了凝固性坏死、结构破坏、H&E和尼氏染色显示背角神经元丢失,以及IHC、ELISA和WB检测显示GFAP、IL-1、TNF-α和caspase-3表达增加(P<0.05)。这些结果表明,LIFU可激活脊髓神经回路,且照射强度≤1.5 MPa的LIFU刺激是一种安全的脊髓神经刺激方法。

https://cdn.ncbi.nlm.nih.gov/pmc/blobs/fb6b/8643243/80dfcaa39fab/ECAM2021-8534466.001.jpg

文献AI研究员

20分钟写一篇综述,助力文献阅读效率提升50倍。

立即体验

用中文搜PubMed

大模型驱动的PubMed中文搜索引擎

马上搜索

文档翻译

学术文献翻译模型,支持多种主流文档格式。

立即体验