Suppr超能文献

伴侣蛋白介导的自噬与生物钟的相互调节。

Reciprocal regulation of chaperone-mediated autophagy and the circadian clock.

机构信息

Department of Developmental and Molecular Biology, Albert Einstein College of Medicine, Bronx, NY, USA.

Institute for Aging Studies, Albert Einstein College of Medicine, Bronx, NY, USA.

出版信息

Nat Cell Biol. 2021 Dec;23(12):1255-1270. doi: 10.1038/s41556-021-00800-z. Epub 2021 Dec 7.

Abstract

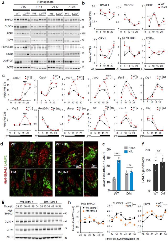
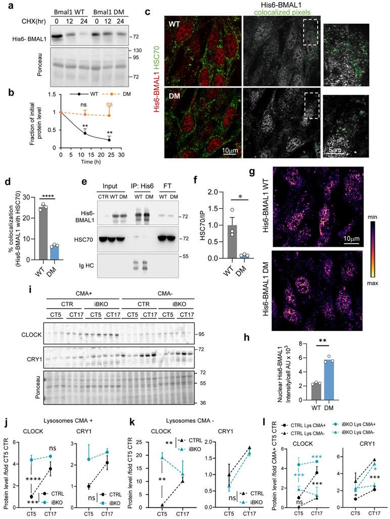
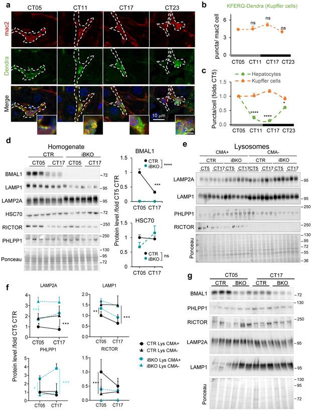
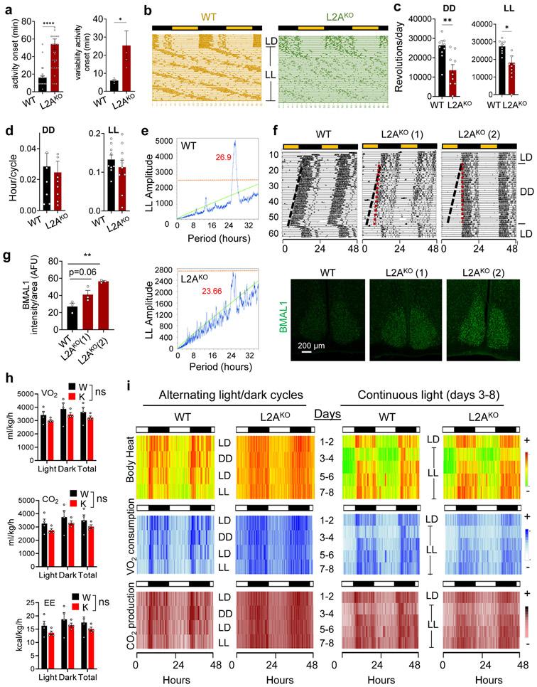
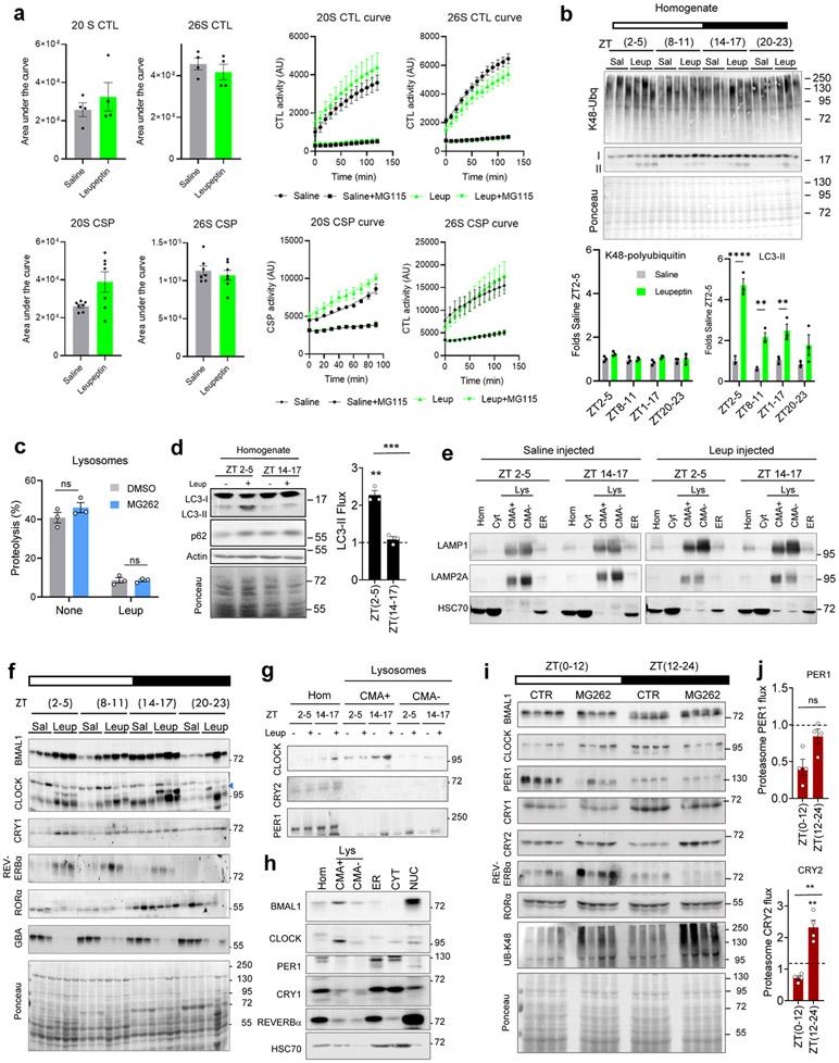
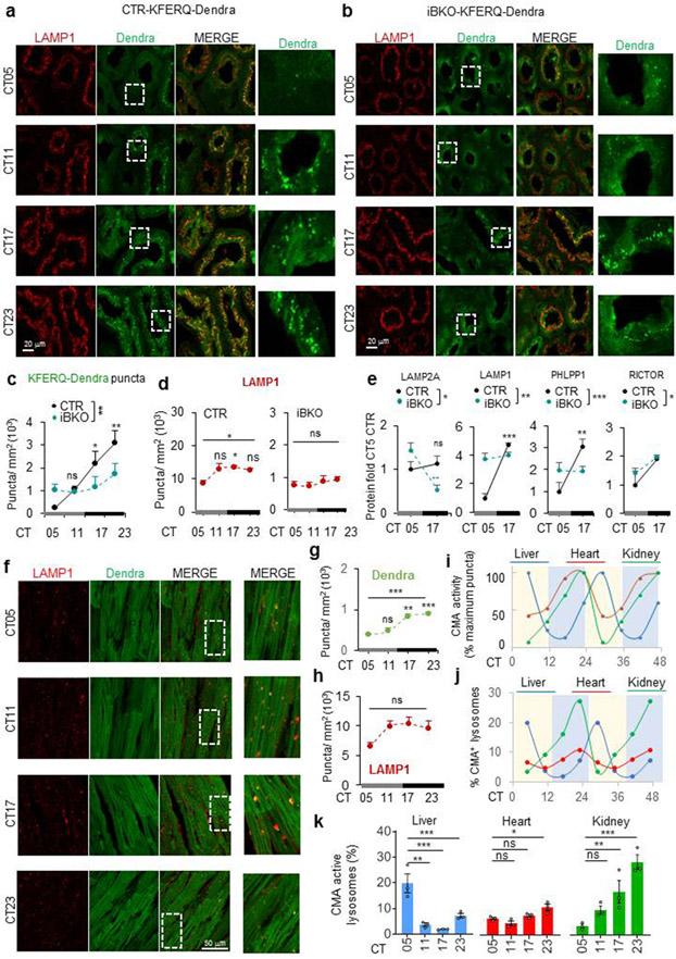
Circadian rhythms align physiological functions with the light-dark cycle through oscillatory changes in the abundance of proteins in the clock transcriptional programme. Timely removal of these proteins by different proteolytic systems is essential to circadian strength and adaptability. Here we show a functional interplay between the circadian clock and chaperone-mediated autophagy (CMA), whereby CMA contributes to the rhythmic removal of clock machinery proteins (selective chronophagy) and to the circadian remodelling of a subset of the cellular proteome. Disruption of this autophagic pathway in vivo leads to temporal shifts and amplitude changes of the clock-dependent transcriptional waves and fragmented circadian patterns, resembling those in sleep disorders and ageing. Conversely, loss of the circadian clock abolishes the rhythmicity of CMA, leading to pronounced changes in the CMA-dependent cellular proteome. Disruption of this circadian clock/CMA axis may be responsible for both pathways malfunctioning in ageing and for the subsequently pronounced proteostasis defect.

摘要

昼夜节律通过时钟转录程序中蛋白质丰度的波动,使生理功能与光-暗循环同步。不同的蛋白水解系统及时去除这些蛋白质对于昼夜节律的强度和适应性至关重要。在这里,我们展示了昼夜节律钟和伴侣介导的自噬(CMA)之间的功能相互作用,其中 CMA 有助于时钟机械蛋白的有节奏去除(选择性自噬),并有助于细胞蛋白质组的一部分进行昼夜节律重塑。体内这条自噬途径的破坏会导致时钟依赖性转录波的时间移位和幅度变化,以及碎片化的昼夜节律模式,类似于睡眠障碍和衰老中的情况。相反,昼夜节律钟的缺失会破坏 CMA 的节律性,导致 CMA 依赖性细胞蛋白质组发生明显变化。这种昼夜节律钟/CMA 轴的破坏可能是衰老过程中这两条途径功能障碍以及随后明显的蛋白质稳态缺陷的原因。

https://cdn.ncbi.nlm.nih.gov/pmc/blobs/1074/8688252/5fcffe91a852/nihms-1750705-f0009.jpg

文献AI研究员

20分钟写一篇综述,助力文献阅读效率提升50倍。

立即体验

用中文搜PubMed

大模型驱动的PubMed中文搜索引擎

马上搜索

文档翻译

学术文献翻译模型,支持多种主流文档格式。

立即体验