Suppr超能文献

疫情一年期间497例中重度急性呼吸窘迫综合征新型冠状病毒肺炎患者气胸和纵隔气肿的发生率:意大利一家三级新型冠状病毒肺炎医院的观察性研究

Incidence of Pneumothorax and Pneumomediastinum in 497 COVID-19 Patients with Moderate-Severe ARDS over a Year of the Pandemic: An Observational Study in an Italian Third Level COVID-19 Hospital.

作者信息

Tetaj Nardi, Garotto Gabriele, Albarello Fabrizio, Mastrobattista Annelisa, Maritti Micaela, Stazi Giulia Valeria, Marini Maria Cristina, Caravella Ilaria, Macchione Manuela, De Angelis Giada, Busso Donatella, Di Lorenzo Rachele, Scarcia Silvana, Farina Anna, Centanni Daniele, Vargas Joel, Savino Martina, Carucci Alessandro, Antinori Andrea, Palmieri Fabrizio, D'Offizi Gianpiero, Ianniello Stefania, Taglietti Fabrizio, Campioni Paolo, Vaia Francesco, Nicastri Emanuele, Girardi Enrico, Marchioni Luisa

机构信息

UOC Resuscitation, Intensive and Sub-Intensive Care, National Institute for Infectious Diseases IRCCS, Lazzaro Spallanzani, 00149 Rome, Italy.

Department of Radiology and Diagnostic Imaging, National Institute for Infectious Diseases IRCCS Lazzaro Spallanzani, 00149 Rome, Italy.

出版信息

J Clin Med. 2021 Nov 29;10(23):5608. doi: 10.3390/jcm10235608.

Abstract

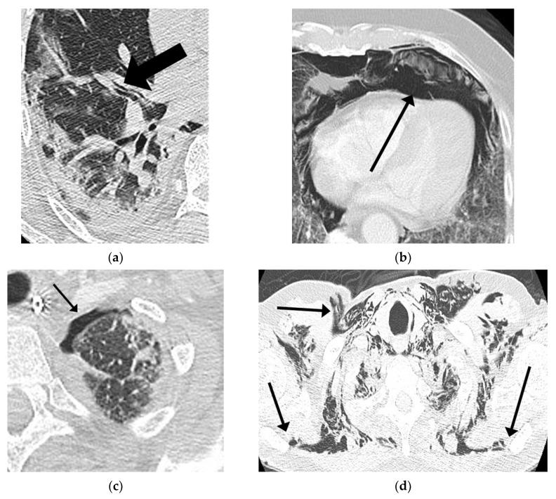
(1) Background: COVID-19 is a novel cause of acute respiratory distress syndrome (ARDS). Indeed, with the increase of ARDS cases due to the COVID-19 pandemic, there has also been an increase in the incidence of cases with pneumothorax (PNX) and pneumomediastinum (PNM). However, the incidence and the predictors of PNX/PMN in these patients are currently unclear and even conflicting. (2) Methods: The present observational study analyzed the incidence of barotrauma (PNX/PNM) in COVID-19 patients with moderate-severe ARDS hospitalized in a year of the pandemic, also focusing on the three waves occurring during the year, and treated with positive-pressure ventilation (PPV). We collected demographic and clinical data. (3) Results: During this period, 40 patients developed PNX/PNM. The overall incidence of barotrauma in all COVID-19 patients hospitalized in a year was 1.6%, and in those with moderate-severe ARDS in PPV was 7.2% and 3.8 events per 1000 positive-pressure ventilator days. The incidence of barotrauma in moderate-severe ARDS COVID-19 patients during the three waves was 7.8%, 7.4%, and 8.7%, respectively. Treatment with noninvasive respiratory support alone was associated with an incidence of barotrauma of 9.1% and 2.6 events per 1000 noninvasive ventilator days, of which 95% were admitted to the ICU after the event, due to a worsening of respiratory parameters. The incidence of barotrauma of ICU COVID-19 patients in invasive ventilation over a year was 5.8% and 2.7 events per 1000 invasive ventilator days. There was no significant difference in demographics and clinical features between the barotrauma and non-barotrauma group. The mortality was higher in the barotrauma group (17 patients died, 47.2%) than in the non-barotrauma group (170 patients died, 37%), although this difference was not statistically significant ( = 0.429). (4) Conclusions: The incidence of PNX/PNM in moderate-severe ARDS COVID-19 patients did not differ significantly between the three waves over a year, and does not appear to be very different from that in ARDS patients in the pre-COVID era. The barotrauma does not appear to significantly increase mortality in COVID-19 patients with moderate-severe ARDS if protective ventilation strategies are applied. Attention should be paid to the risk of barotrauma in COVID-19 patients in noninvasive ventilation because the event increases the probability of admission to the intensive care unit (ICU) and intubation.

摘要

(1) 背景:新型冠状病毒肺炎(COVID-19)是急性呼吸窘迫综合征(ARDS)的一种新病因。事实上,随着COVID-19大流行导致ARDS病例增加,气胸(PNX)和纵隔气肿(PNM)病例的发生率也有所上升。然而,这些患者中PNX/PMN的发生率及预测因素目前尚不清楚,甚至存在相互矛盾的情况。(2) 方法:本观察性研究分析了在大流行的某一年中住院的中度至重度ARDS的COVID-19患者气压伤(PNX/PNM)的发生率,同时关注该年发生的三波疫情期间的情况,并对接受正压通气(PPV)治疗的患者进行研究。我们收集了人口统计学和临床数据。(3) 结果:在此期间,40例患者发生了PNX/PNM。该年所有住院的COVID-19患者中气压伤的总体发生率为1.6%,接受PPV治疗的中度至重度ARDS患者中气压伤的发生率为7.2%,每1000个正压通气日发生3.8次。中度至重度ARDS的COVID-19患者在三波疫情期间气压伤的发生率分别为7.8%、7.4%和8.7%。仅采用无创呼吸支持治疗时,气压伤的发生率为9.1%,每1000个无创通气日发生2.6次,其中95%的患者在事件发生后因呼吸参数恶化而入住重症监护病房(ICU)。一年中接受有创通气的ICU COVID-19患者气压伤的发生率为5.8%,每1000个有创通气日发生2.7次。气压伤组与非气压伤组在人口统计学和临床特征方面无显著差异。气压伤组的死亡率(17例死亡,47.2%)高于非气压伤组(170例死亡,37%),尽管这种差异无统计学意义(P = 0.429)。(④) 结论:中度至重度ARDS的COVID-19患者中PNX/PNM的发生率在一年中的三波疫情期间无显著差异,且似乎与COVID-19大流行前时代ARDS患者的发生率没有很大不同。如果采用保护性通气策略,气压伤似乎不会显著增加中度至重度ARDS的COVID-19患者的死亡率。应关注COVID-19患者无创通气时的气压伤风险,因为该事件会增加入住重症监护病房和插管的可能性。

https://cdn.ncbi.nlm.nih.gov/pmc/blobs/22d3/8658701/a3015bdec7af/jcm-10-05608-g001.jpg

文献AI研究员

20分钟写一篇综述,助力文献阅读效率提升50倍。

立即体验

用中文搜PubMed

大模型驱动的PubMed中文搜索引擎

马上搜索

文档翻译

学术文献翻译模型,支持多种主流文档格式。

立即体验