Suppr超能文献

脑结核瘤的诊断与神经学概述:文献综述

Diagnostic and Neurological Overview of Brain Tuberculomas: A Review of Literature.

作者信息

Perez-Malagon Carlos David, Barrera-Rodriguez Raul, Lopez-Gonzalez Miguel A, Alva-Lopez Luis F

机构信息

Centro de Ciencias Biomedicas, Universidad Autonoma de Aguascalientes, Aguascalientes, MEX.

Immunopharmacology, Instituto Nacional de Enfermedades Respiratorias (INER), Mexico City, MEX.

出版信息

Cureus. 2021 Dec 3;13(12):e20133. doi: 10.7759/cureus.20133. eCollection 2021 Dec.

Abstract

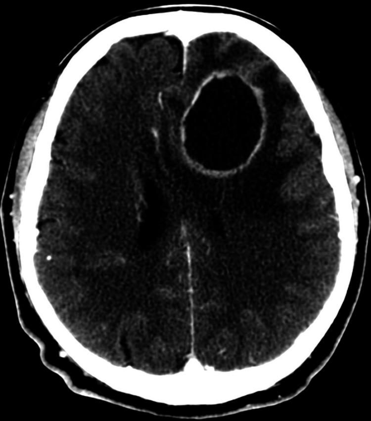
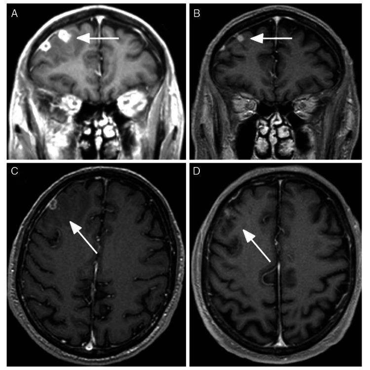
Tuberculosis is a disease caused by a bacteria named Mycobacterium tuberculosis (M. tb). It is estimated by World Health Organization (WHO) that nearly a quarter of the world's population is infected. Tuberculoma of the brain is one of the most severe extrapulmonary forms that affects patients younger than 40 years of age. Brain parenchymal tuberculoma develops in nearly one of 300 non-treated cases of pulmonary tuberculosis cases. In endemic regions, tuberculomas account for as many as 50% of all intracranial masses. Tuberculoma results in a hematogenous spread of M. tb from an extracranial source. Tuberculomas can mimic a variety of diseases and can present themselves in a subacute or chronic course, from asymptomatic to severe intracranial hypertension. Diagnosis is based on computed tomography (CT) scan and magnetic resonance imaging (MRI) studies with a similar ring-enhancing lesion. Treatment is primarily medical, and the duration for brain tuberculoma can vary from six to 36 months. In certain cases, surgery is recommended.

摘要

结核病是一种由名为结核分枝杆菌(M. tb)的细菌引起的疾病。世界卫生组织(WHO)估计,全球近四分之一的人口受到感染。脑结核瘤是影响40岁以下患者的最严重的肺外形式之一。在300例未经治疗的肺结核病例中,约有1例会发生脑实质结核瘤。在流行地区,结核瘤占所有颅内肿块的比例高达50%。结核瘤是由颅外来源的结核分枝杆菌血行播散所致。结核瘤可模仿多种疾病,可呈亚急性或慢性病程,从无症状到严重颅内高压。诊断基于计算机断层扫描(CT)和磁共振成像(MRI)检查,表现为类似的环形强化病变。治疗主要是药物治疗,脑结核瘤的疗程可从6个月到36个月不等。在某些情况下,建议进行手术。

https://cdn.ncbi.nlm.nih.gov/pmc/blobs/f2a3/8648135/de19254888a3/cureus-0013-00000020133-i01.jpg

文献AI研究员

20分钟写一篇综述,助力文献阅读效率提升50倍。

立即体验

用中文搜PubMed

大模型驱动的PubMed中文搜索引擎

马上搜索

文档翻译

学术文献翻译模型,支持多种主流文档格式。

立即体验