Suppr超能文献

基于对羟基苯乙基茴香酸和3-丙烯酰胺基苯硼酸的新型葡萄糖响应性纳米颗粒可降低血糖并改善糖尿病肾病。

Novel glucose-responsive nanoparticles based on p-hydroxyphenethyl anisate and 3-acrylamidophenylboronic acid reduce blood glucose and ameliorate diabetic nephropathy.

作者信息

Ma Qiong, Bian Ligong, Zhao Xi, Tian Xuexia, Yin Hang, Wang Yutian, Shi Anhua, Wu Junzi

机构信息

The Key Laboratory of Microcosmic Syndrome Differentiation, Education Department of Yunnan, Yunnan University of Chinese Medicine, Kunming, Yunnan, 650500, PR China.

Department of Medical Biology, College of Basic Medicine, Yunnan University of Chinese Medicine, Kunming, Yunnan, 650500, PR China.

出版信息

Mater Today Bio. 2021 Dec 3;13:100181. doi: 10.1016/j.mtbio.2021.100181. eCollection 2022 Jan.

Abstract

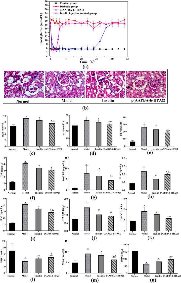
An insulin delivery system that self-regulates blood sugar levels, mimicking the human pancreas, can improve hyperglycaemia. At present, a glucose-responsive insulin delivery system combining AAPBA with long-acting slow release biomaterials has been developed. However, the safety of sustained-release materials and the challenges of preventing diabetic complications remain. In this study, we developed a novel polymer slow release material using a plant extract-p-hydroxyphenylethyl anisate (HPA). After block copolymerisation with AAPBA, the prepared nanoparticles had good pH sensitivity, glucose sensitivity, insulin loading rate and stability under physiological conditions and had high biocompatibility. The analysis of streptozotocin-induced diabetic nephropathy (DN) mouse model showed that the insulin-loaded injection of nanoparticles stably regulated the blood glucose levels of DN mice within 48 ​h. Importantly, with the degradation of the slow release material HPA , the renal function improved, the inflammatory response reduced, and antioxidation levels in DN mice improved. This new type of nanoparticles provides a new idea for hypoglycaemic nano-drug delivery system and may have potential in the prevention and treatment of diabetic complications.

摘要

一种能够自我调节血糖水平、模拟人体胰腺功能的胰岛素递送系统,可以改善高血糖状况。目前,已开发出一种将对氨基苯硼酸(AAPBA)与长效缓释生物材料相结合的葡萄糖响应型胰岛素递送系统。然而,缓释材料的安全性以及预防糖尿病并发症的挑战依然存在。在本研究中,我们利用植物提取物对羟基苯乙基茴香醚(HPA)开发了一种新型聚合物缓释材料。与AAPBA进行嵌段共聚后,制备的纳米颗粒在生理条件下具有良好的pH敏感性、葡萄糖敏感性、胰岛素负载率和稳定性,并且具有高生物相容性。对链脲佐菌素诱导的糖尿病肾病(DN)小鼠模型的分析表明,注射负载胰岛素的纳米颗粒在48小时内稳定调节了DN小鼠的血糖水平。重要的是,随着缓释材料HPA的降解,DN小鼠的肾功能得到改善,炎症反应减轻,抗氧化水平提高。这种新型纳米颗粒为降血糖纳米药物递送系统提供了新思路,可能在糖尿病并发症的预防和治疗方面具有潜力。

https://cdn.ncbi.nlm.nih.gov/pmc/blobs/8910/8649392/ab1ca2b9de68/ga1.jpg

文献AI研究员

20分钟写一篇综述,助力文献阅读效率提升50倍。

立即体验

用中文搜PubMed

大模型驱动的PubMed中文搜索引擎

马上搜索

文档翻译

学术文献翻译模型,支持多种主流文档格式。

立即体验