Suppr超能文献

亨廷顿病患者诱导神经元中的细胞自噬缺陷。

Distinct subcellular autophagy impairments in induced neurons from patients with Huntington's disease.

机构信息

Laboratory of Molecular Neurogenetics, Department of Experimental Medical Science, Wallenberg Neuroscience Center and Lund Stem Cell Center, BMC A11, Lund University, S-221 84 Lund, Sweden.

Faculty of Pharmacy, Université de Montréal, Montreal, QC H3T 1J4, Canada.

出版信息

Brain. 2022 Sep 14;145(9):3035-3057. doi: 10.1093/brain/awab473.

Abstract

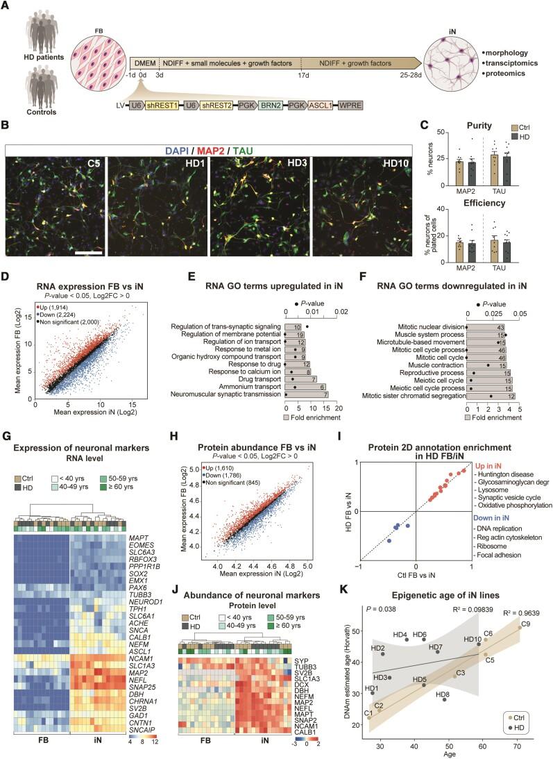
Huntington's disease is a neurodegenerative disorder caused by CAG expansions in the huntingtin (HTT) gene. Modelling Huntington's disease is challenging, as rodent and cellular models poorly recapitulate the disease as seen in ageing humans. To address this, we generated induced neurons through direct reprogramming of human skin fibroblasts, which retain age-dependent epigenetic characteristics. Huntington's disease induced neurons (HD-iNs) displayed profound deficits in autophagy, characterized by reduced transport of late autophagic structures from the neurites to the soma. These neurite-specific alterations in autophagy resulted in shorter, thinner and fewer neurites specifically in HD-iNs. CRISPRi-mediated silencing of HTT did not rescue this phenotype but rather resulted in additional autophagy alterations in control induced neurons, highlighting the importance of wild-type HTT in normal neuronal autophagy. In summary, our work identifies a distinct subcellular autophagy impairment in adult patient derived Huntington's disease neurons and provides a new rationale for future development of autophagy activation therapies.

摘要

亨廷顿病是一种由亨廷顿(HTT)基因中的 CAG 扩展引起的神经退行性疾病。亨廷顿病的建模具有挑战性,因为啮齿动物和细胞模型不能很好地重现人类衰老时观察到的疾病。为了解决这个问题,我们通过直接重编程人类皮肤成纤维细胞产生诱导神经元,这些细胞保留了与年龄相关的表观遗传特征。亨廷顿病诱导神经元(HD-iNs)表现出严重的自噬缺陷,其特征是晚期自噬结构从神经突向体部的运输减少。自噬在神经突中的这种特异性改变导致神经突变短、变细,数量减少,这在 HD-iNs 中尤为明显。CRISPRi 介导的 HTT 沉默并没有挽救这种表型,而是导致对照诱导神经元中出现额外的自噬改变,这突出了野生型 HTT 在正常神经元自噬中的重要性。总之,我们的工作在成年患者来源的亨廷顿病神经元中发现了一种独特的细胞内自噬损伤,并为未来自噬激活治疗的发展提供了新的依据。

https://cdn.ncbi.nlm.nih.gov/pmc/blobs/a825/9473361/b22907889cbb/awab473f1.jpg

文献AI研究员

20分钟写一篇综述,助力文献阅读效率提升50倍。

立即体验

用中文搜PubMed

大模型驱动的PubMed中文搜索引擎

马上搜索

文档翻译

学术文献翻译模型,支持多种主流文档格式。

立即体验