Suppr超能文献

人细胞和组织中 Galectin-16 基因的表达、调控和功能。

Expression, Regulation, and Functions of the Galectin-16 Gene in Human Cells and Tissues.

机构信息

Department of Biology, The University of Western Ontario, London, ON N6A 5B7, Canada.

出版信息

Biomolecules. 2021 Dec 20;11(12):1909. doi: 10.3390/biom11121909.

Abstract

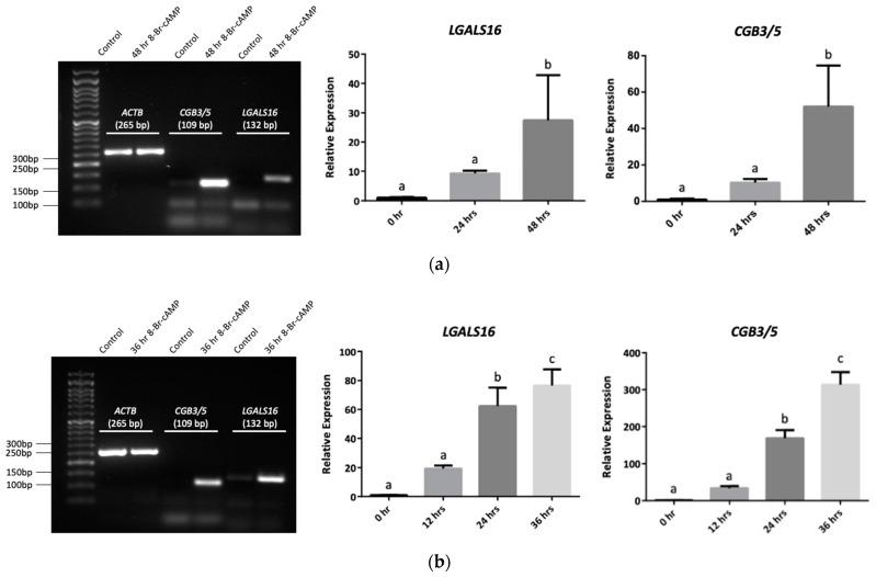
Galectins comprise a family of soluble β-galactoside-binding proteins, which regulate a variety of key biological processes including cell growth, differentiation, survival, and death. This paper aims to address the current knowledge on the unique properties, regulation, and expression of the galectin-16 gene () in human cells and tissues. To date, there are limited studies on this galectin, with most focusing on its tissue specificity to the placenta. Here, we report the expression and 8-Br-cAMP-induced upregulation of in two placental cell lines (BeWo and JEG-3) in the context of trophoblastic differentiation. In addition, we provide the results of a bioinformatics search for using datasets available at GEO, Human Protein Atlas, and prediction tools for relevant transcription factors and miRNAs. Our findings indicate that is detected by microarrays in diverse human cells/tissues and alters expression in association with cancer, diabetes, and brain diseases. Molecular mechanisms of the transcriptional and post-transcriptional regulation of are also discussed based on the available bioinformatics resources.

摘要

半乳糖凝集素是一类可溶性β-半乳糖苷结合蛋白家族,调节多种关键的生物学过程,包括细胞生长、分化、存活和死亡。本文旨在阐述人类细胞和组织中半乳糖凝集素-16 基因()的独特性质、调控和表达的现有知识。迄今为止,对半乳糖凝集素-16 的研究有限,大多数研究集中在其组织特异性上,即胎盘。在这里,我们报告了在滋养层分化的背景下,两种胎盘细胞系(BeWo 和 JEG-3)中表达和 8-Br-cAMP 诱导上调的情况。此外,我们还提供了使用 GEO、人类蛋白质图谱和相关转录因子及 miRNA 预测工具的数据集对半乳糖凝集素-16 进行生物信息学搜索的结果。我们的研究结果表明,微阵列可在多种人类细胞/组织中检测到,并与癌症、糖尿病和脑部疾病相关的表达变化。基于现有的生物信息学资源,我们还讨论了半乳糖凝集素-16 的转录和转录后调控的分子机制。

https://cdn.ncbi.nlm.nih.gov/pmc/blobs/e8e7/8699332/6d097e88d9cd/biomolecules-11-01909-g001.jpg

文献AI研究员

20分钟写一篇综述,助力文献阅读效率提升50倍。

立即体验

用中文搜PubMed

大模型驱动的PubMed中文搜索引擎

马上搜索

文档翻译

学术文献翻译模型,支持多种主流文档格式。

立即体验