Suppr超能文献

COVID-19 感染后肾病患者合并肠系膜静脉血栓形成:病例报告。

Splanchnic venous thrombosis in a nephrotic patient following COVID-19 infection: a case report.

机构信息

Department of Medicine, King Faisal Specialist Hospital and Research Center, MBC-46, P.O.Box 3354, Riyadh, 11211, Saudi Arabia.

College of Medicine, Alfaisal University, Riyadh, Kingdom of Saudi Arabia.

出版信息

BMC Nephrol. 2021 Dec 29;22(1):420. doi: 10.1186/s12882-021-02643-0.

Abstract

BACKGROUND

As the COVID-19 pandemic spread worldwide, case reports and small series identified its association with an increasing number of medical conditions including a propensity for thrombotic complications. And since the nephrotic syndrome is also a thrombophilic state, its co-occurrence with the SARS-CoV-2 infection is likely to be associated with an even higher risk of thrombosis, particularly in the presence of known or unknown additional risk factors. Lower extremity deep vein thrombosis (DVT) and pulmonary embolism (PE) are the most common manifestations of COVID-19-associated hypercoagulable state with other venous or arterial sites being much less frequently involved. Although splanchnic vein thrombosis (SVT) has been reported to be 25 times less common than usual site venous thromboembolism (VTE) and rarely occurs in nephrotic patients, it can have catastrophic consequences. A small number of SVT cases have been reported in COVID-19 infected patients in spite of their number exceeding 180 million worldwide.

CASE PRESENTATION

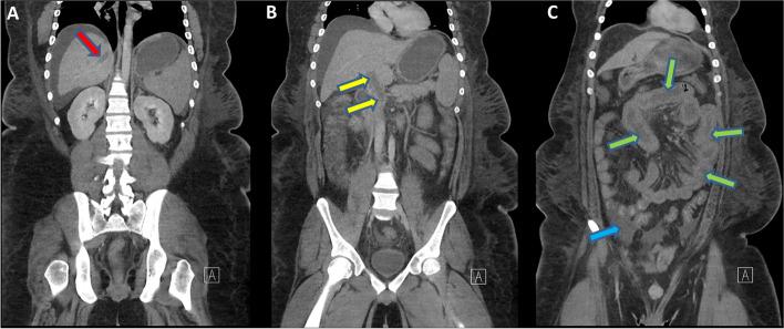
An unvaccinated young adult male with steroid-dependent nephrotic syndrome (SDNS) who was in a complete nephrotic remission relapsed following contracting SARS-CoV-2 infection and developed abdominal pain and diarrhea. Abdominal US revealed portal vein thrombosis. The patient was anticoagulated, yet the SVT rapidly propagated to involve the spleno-mesenteric, intrahepatic and the right hepatic veins. In spite of mechanical thrombectomy, thrombolytics and anticoagulation, he developed mesenteric ischemia which progressed to gangrene leading to bowel resection and a complicated hospital course.

CONCLUSION

Our case highlights the potential for a catastrophic outcome when COVID-19 infection occurs in those with a concomitant hypercoagulable state and reminds us of the need for a careful assessment of abdominal symptoms in SARS-CoV-2 infected patients.

摘要

背景

随着 COVID-19 大流行在全球范围内蔓延,病例报告和小系列研究确定了它与越来越多的医学病症的关联,包括倾向于发生血栓并发症。由于肾病综合征也是一种血栓形成倾向状态,因此与 SARS-CoV-2 感染同时发生时,血栓形成的风险可能更高,特别是在存在已知或未知的其他危险因素的情况下。下肢深静脉血栓形成(DVT)和肺栓塞(PE)是 COVID-19 相关高凝状态最常见的表现,其他静脉或动脉部位较少受累。虽然肠系膜静脉血栓形成(SVT)的报道比通常部位静脉血栓栓塞(VTE)少见 25 倍,且在肾病患者中很少发生,但它可能会产生灾难性的后果。尽管全球有超过 1.8 亿人感染了 COVID-19,但报告的 SVT 病例数量仍然很少。

病例介绍

一名未接种疫苗的年轻成年男性患有激素依赖性肾病综合征(SDNS),在感染 SARS-CoV-2 后完全缓解的肾病综合征复发,并出现腹痛和腹泻。腹部超声显示门静脉血栓形成。患者接受了抗凝治疗,但 SVT 迅速传播累及脾-肠系膜、肝内和右肝静脉。尽管进行了机械血栓切除术、溶栓和抗凝治疗,但他仍发生肠系膜缺血,进而发展为坏疽,导致肠切除术和复杂的住院过程。

结论

我们的病例强调了 COVID-19 感染在同时存在高凝状态的患者中可能导致灾难性后果,并提醒我们需要仔细评估 SARS-CoV-2 感染患者的腹部症状。

https://cdn.ncbi.nlm.nih.gov/pmc/blobs/7301/8717650/b47f546fdeeb/12882_2021_2643_Fig1_HTML.jpg

文献AI研究员

20分钟写一篇综述,助力文献阅读效率提升50倍。

立即体验

用中文搜PubMed

大模型驱动的PubMed中文搜索引擎

马上搜索

文档翻译

学术文献翻译模型,支持多种主流文档格式。

立即体验