Suppr超能文献

新生儿和婴儿的胃肠道急症:影像学研究。

Gastrointestinal Emergency in Neonates and Infants: A Pictorial Essay.

机构信息

Department of Radiology, Korea University Ansan Hospital, Ansan, Korea.

Department of Radiology, Samsung Medical Center, Sungkyunkwan University School of Medicine, Seoul, Korea.

出版信息

Korean J Radiol. 2022 Jan;23(1):124-138. doi: 10.3348/kjr.2021.0111.

Abstract

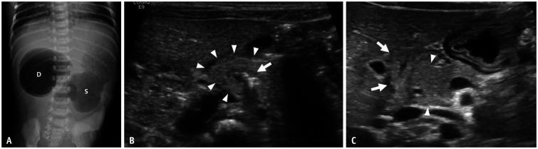
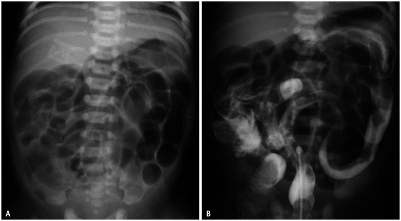
Gastrointestinal (GI) emergencies in neonates and infants encompass from the beginning to the end of the GI tract. Both congenital and acquired conditions can cause various GI emergencies in neonates and infants. Given the overlapping or nonspecific clinical findings of many different neonatal and infantile GI emergencies and the unique characteristics of this age group, appropriate imaging is key to accurate and timely diagnosis while avoiding unnecessary radiation hazard and medical costs. In this paper, we discuss the radiological findings of essential neonatal and infantile GI emergencies, including esophageal atresia and tracheoesophageal fistula, hypertrophic pyloric stenosis, duodenal atresia, malrotation, midgut volvulus for upper GI emergencies, and jejunoileal atresia, meconium ileus, meconium plug syndrome, meconium peritonitis, Hirschsprung disease, anorectal malformation, necrotizing enterocolitis, and intussusception for lower GI emergencies.

摘要

新生儿和婴儿的胃肠道(GI)急症涵盖了从胃肠道的开始到结束的各个方面。先天性和后天性疾病都可能导致新生儿和婴儿出现各种胃肠道急症。鉴于许多不同的新生儿和婴儿胃肠道急症的临床发现具有重叠或非特异性,以及该年龄段的独特特征,适当的影像学检查对于准确和及时的诊断至关重要,同时避免不必要的辐射危害和医疗费用。在本文中,我们讨论了基本的新生儿和婴儿胃肠道急症的放射学表现,包括食管闭锁和食管气管瘘、肥厚性幽门狭窄、十二指肠闭锁、肠旋转不良、胃上消化道急症,以及空肠回肠闭锁、胎粪性肠梗阻、胎粪栓综合征、胎粪性腹膜炎、先天性巨结肠、肛门直肠畸形、坏死性小肠结肠炎和肠套叠等下消化道急症。

https://cdn.ncbi.nlm.nih.gov/pmc/blobs/c87a/8743148/781ab048f266/kjr-23-124-g001.jpg

文献AI研究员

20分钟写一篇综述,助力文献阅读效率提升50倍。

立即体验

用中文搜PubMed

大模型驱动的PubMed中文搜索引擎

马上搜索

文档翻译

学术文献翻译模型,支持多种主流文档格式。

立即体验