Suppr超能文献

褪黑素通过 JNK/FoxO3a/Bim 通路对脑缺血再灌注损伤大鼠行为学及神经功能的影响。

Influence of Melatonin on Behavioral and Neurological Function of Rats with Focal Cerebral Ischemia-Reperfusion Injury via the JNK/FoxO3a/Bim Pathway.

机构信息

The Second School of Clinical Medicine, Southern Medical University, Guangzhou, 510515 Guangdong, China.

Department of Critical Care and Emergency, Department of Cardiology, Shenzhen Hospital of Integrated Traditional Chinese and Western Medicine, Shenzhen, 518104 Guangdong, China.

出版信息

Comput Math Methods Med. 2022 Jan 17;2022:8202975. doi: 10.1155/2022/8202975. eCollection 2022.

Abstract

OBJECTIVE

To investigate the influence of melatonin on behavioral and neurological function of rats with focal cerebral ischemia-reperfusion injury via the JNK/FoxO3a/Bim pathway.

METHODS

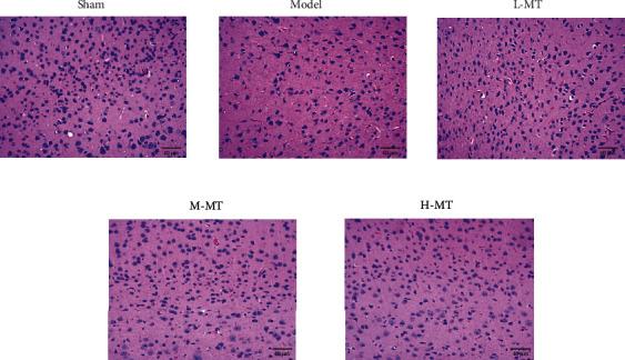
One hundred and twenty healthy male SD rats were randomized into the model group (Model: the middle cerebral artery occlusion (MCAO) model was constructed and received an equal volume of normal saline containing 5% DMSO), sham operation group (Sham: received no treatment except normal feeding), and low, medium, and high dose of melatonin group (L-MT, M-MT, and H-MT intraperitoneally injected 10, 20, and 40 mg/kg melatonin 30 min after IR, respectively), with 24 rats in each group. Following 24 h of reperfusion, the rats in each of the above groups were tested for neurological deficit symptoms and behavioral changes to screen the rats included in the study. HE and TUNEL stainings were performed to observe pathological changes. Levels of oxidative stress-related indexes, inflammatory factor-related indexes, nuclear factor-B p65 (NF-B p65), and interferon- (IFN-) in the rat brain were measured by ELISA. The JNK/FoxO3a/Bim pathway-related proteins as well as Bcl-2, Caspase-3, and Bax were examined using Western blot.

RESULTS

Detection of behavioral indicators showed that the MACO model was successfully constructed in rats. L-MT, M-MT, and L-MT groups presented reduced malondialdehyde (MDA), reactive oxygen species (ROS), tumor necrosis factor- (TNF-) , interleukin- (IL-) 6, IL-1, IFN-, NF-B p65, and apoptosis compared with the Model group ( < 0.05), and the improvement degree was better in the M-MT group versus the L-HT group. Bcl-2 protein expression in the brain tissue of L-MT, M-MT, and H-MT groups increased significantly, while Bax, Caspase-3, p-JNK, p-FoxO3a, and Bim protein expression declined markedly, versus the Model group ( < 0.05). The changes of indexes were greater in the M-MT group compared with that in the L-MT group. No significant difference was observed in all the above indexes between the M-MT group and the H-MT group ( > 0.05).

CONCLUSIONS

In the MACO rat model, melatonin can effectively reduce Bax and Caspase-3 levels by modulating the JNK/FoxO3a/Bim pathway, inhibit neuronal apoptosis, and alleviate neurological deficits by reducing the release of proinflammatory mediators, with anti-inflammatory and antioxidant effects. In addition, 20 mg/kg is the optimal melatonin concentration.

摘要

目的

通过 JNK/FoxO3a/Bim 通路研究褪黑素对脑缺血再灌注损伤大鼠行为和神经功能的影响。

方法

将 120 只健康雄性 SD 大鼠随机分为模型组(模型:构建大脑中动脉闭塞(MCAO)模型,给予含 5% DMSO 的等体积生理盐水)、假手术组(假手术:除正常喂养外不给予任何治疗)和低、中、高剂量褪黑素组(L-MT、M-MT 和 H-MT 于再灌注后 30 min 分别腹腔注射 10、20 和 40 mg/kg 褪黑素),每组 24 只。再灌注 24 h 后,对各组大鼠进行神经功能缺损症状和行为变化测试,筛选出纳入研究的大鼠。HE 和 TUNEL 染色观察病理变化。采用 ELISA 法检测大鼠脑内氧化应激相关指标、炎症因子相关指标、核因子-B p65(NF-B p65)和干扰素-(IFN-)水平。采用 Western blot 检测 JNK/FoxO3a/Bim 通路相关蛋白以及 Bcl-2、Caspase-3 和 Bax。

结果

行为学指标检测显示,大鼠 MACO 模型构建成功。与模型组比较,L-MT、M-MT 和 H-MT 组丙二醛(MDA)、活性氧(ROS)、肿瘤坏死因子-(TNF-)、白细胞介素-(IL-)6、IL-1、IFN-、NF-B p65、凋亡均降低( < 0.05),且 M-MT 组改善程度优于 L-MT 组。L-MT、M-MT 和 H-MT 组大鼠脑组织 Bcl-2 蛋白表达明显增加,而 Bax、Caspase-3、p-JNK、p-FoxO3a 和 Bim 蛋白表达明显下降,与模型组比较差异均有统计学意义( < 0.05)。与 L-MT 组比较,M-MT 组上述指标变化更为明显。M-MT 组与 H-MT 组各指标比较差异均无统计学意义( > 0.05)。

结论

在 MACO 大鼠模型中,褪黑素通过调节 JNK/FoxO3a/Bim 通路,降低 Bax 和 Caspase-3 水平,抑制神经元凋亡,减少促炎介质释放,发挥抗炎和抗氧化作用,有效减轻神经功能缺损。此外,20 mg/kg 是褪黑素的最佳浓度。

https://cdn.ncbi.nlm.nih.gov/pmc/blobs/c6e7/8786518/84189dfe58a5/CMMM2022-8202975.001.jpg

文献AI研究员

20分钟写一篇综述,助力文献阅读效率提升50倍。

立即体验

用中文搜PubMed

大模型驱动的PubMed中文搜索引擎

马上搜索

文档翻译

学术文献翻译模型,支持多种主流文档格式。

立即体验