Suppr超能文献

与一种异常轻度的原发性纤毛运动障碍表型相关的截断形式的表达。

Expression of a Truncated Form of Associated with an Unusually Mild Primary Ciliary Dyskinesia Phenotype.

机构信息

Marsico Lung Institute/Cystic Fibrosis Research and Treatment Center, University of North Carolina at Chapel Hill, Chapel Hill, NC 27599, USA.

Department of Pediatrics, School of Medicine, University of North Carolina at Chapel Hill, Chapel Hill, NC 27599, USA.

出版信息

Int J Mol Sci. 2022 Feb 3;23(3):1753. doi: 10.3390/ijms23031753.

Abstract

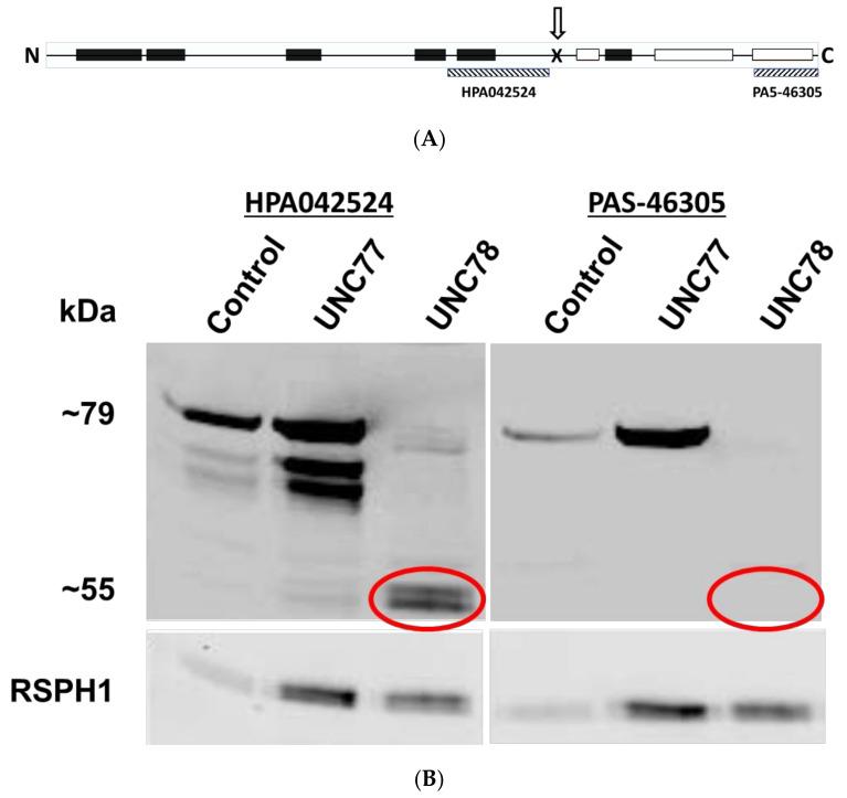
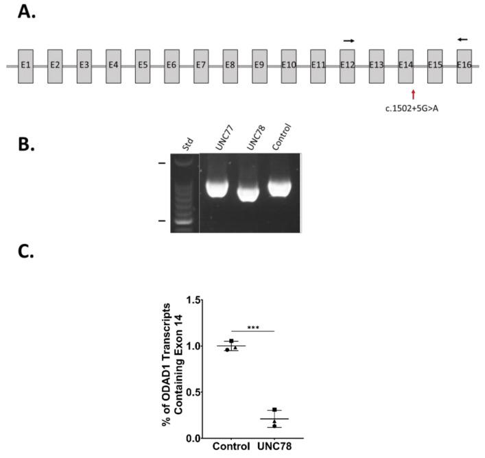
Primary ciliary dyskinesia (PCD) is a rare lung disease caused by mutations that impair the function of motile cilia, resulting in chronic upper and lower respiratory disease, reduced fertility, and a high prevalence of situs abnormalities. The disease is genetically and phenotypically heterogeneous, with causative mutations in > 50 genes identified, and clinical phenotypes ranging from mild to severe. Absence of (), a component of the outer dynein arm docking complex, results in a failure to assemble outer dynein arms (ODAs), mostly immotile cilia, and a typical PCD phenotype. We identified a female (now 34 years old) with an unusually mild clinical phenotype who has a homozygous non-canonical splice mutation (c.1502+5G>A) in . To investigate the mechanism for the unusual phenotype, we performed molecular and functional studies of cultured nasal epithelial cells. We demonstrate that this splice mutation results in the expression of a truncated protein that is attached to the axoneme, indicating that the mutant protein retains partial function. This allows for the assembly of some ODAs and a significant level of ciliary activity that may result in the atypically mild clinical phenotype. The results also suggest that partial restoration of ciliary function by therapeutic agents could lead to significant improvement of disease symptoms.

摘要

原发性纤毛运动障碍(PCD)是一种罕见的肺部疾病,由影响运动纤毛功能的基因突变引起,导致慢性上呼吸道和下呼吸道疾病、生育能力降低以及 situs 异常的高患病率。该疾病在遗传和表型上具有异质性,已确定 50 多个基因的致病突变,临床表型从轻度到重度不等。缺乏(),一种外动力蛋白臂对接复合物的组成部分,导致外动力蛋白臂(ODA)组装失败,主要是不动纤毛,并出现典型的 PCD 表型。我们鉴定了一名女性(现年 34 岁),其具有异常轻度的临床表型,在 中存在纯合的非典型剪接突变(c.1502+5G>A)。为了研究不寻常表型的机制,我们对培养的鼻上皮细胞进行了分子和功能研究。我们证明,这种剪接突变导致表达一种附着在轴丝上的截断蛋白,表明突变蛋白保留了部分功能。这使得一些 ODA 的组装和相当水平的纤毛活动成为可能,这可能导致异常轻度的临床表型。研究结果还表明,通过治疗剂部分恢复纤毛功能可能会导致疾病症状的显著改善。

https://cdn.ncbi.nlm.nih.gov/pmc/blobs/487f/8835943/cb95519bbd83/ijms-23-01753-g001.jpg

文献AI研究员

20分钟写一篇综述,助力文献阅读效率提升50倍。

立即体验

用中文搜PubMed

大模型驱动的PubMed中文搜索引擎

马上搜索

文档翻译

学术文献翻译模型,支持多种主流文档格式。

立即体验