Suppr超能文献

下调的长非编码 RNA LHFPL3 反义 RNA 1 通过调节 microRNA-143-5p/同源盒 A6 轴抑制鼻咽癌的放射抵抗。

Down-regulated long non-coding RNA LHFPL3 antisense RNA 1 inhibits the radiotherapy resistance of nasopharyngeal carcinoma via modulating microRNA-143-5p/homeobox A6 axis.

机构信息

Department of Radiotherapy, Hainan Cancer Hospital, Haikou, Hainan, China.

Department of Head and Neck Surgery, Hainan Cancer Hospital, Haikou, Hainan, China.

出版信息

Bioengineered. 2022 Mar;13(3):5421-5433. doi: 10.1080/21655979.2021.2024386.

Abstract

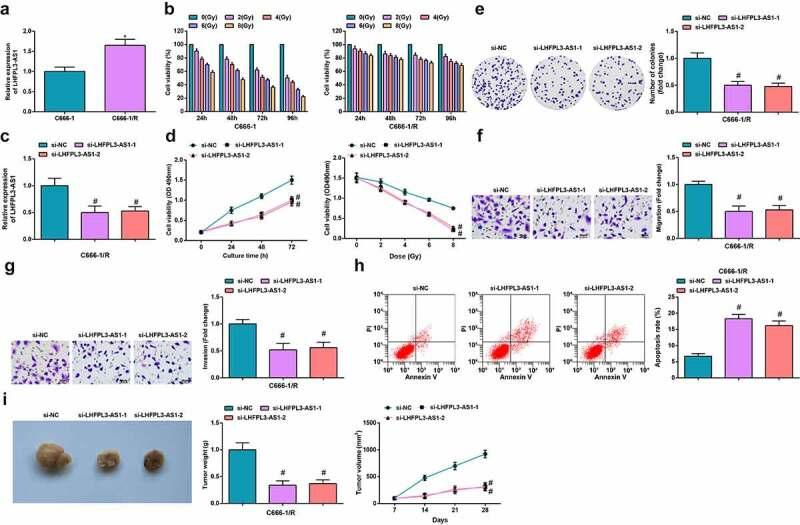
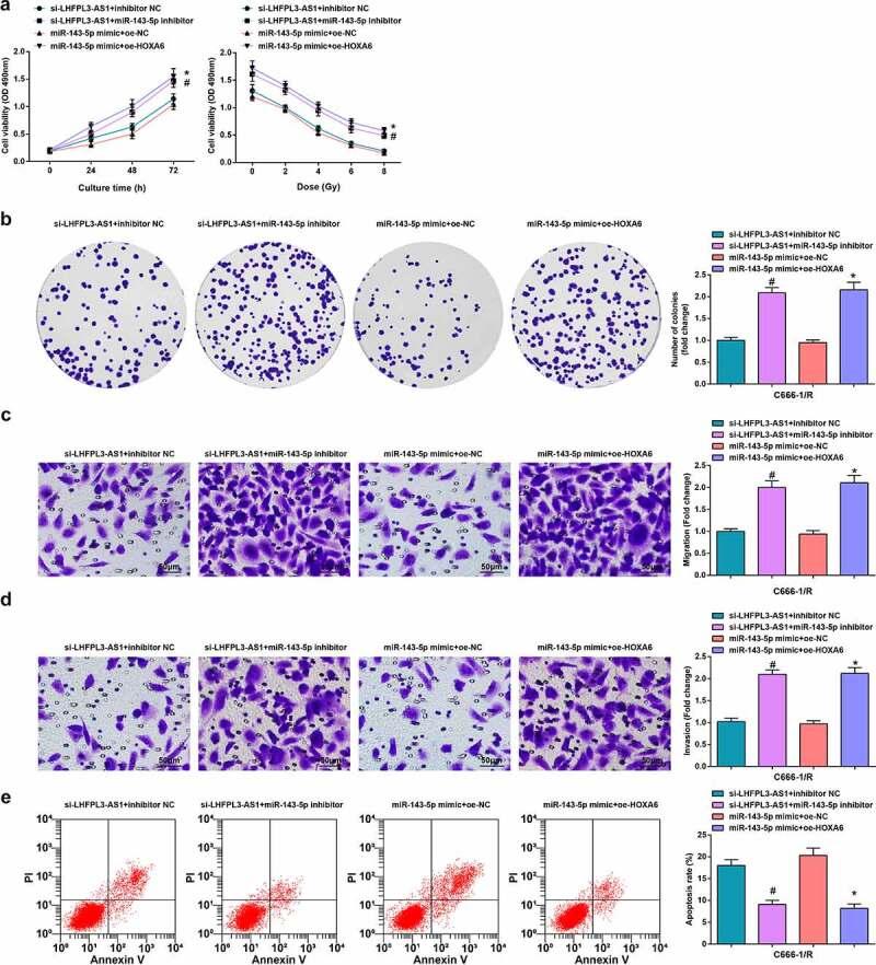
The function of long non-coding RNA LHFPL3 antisense RNA 1 (LHFPL3-AS1) in cancer progression has been studied, while its role in nasopharyngeal carcinoma (NPC) remains unclear. This study aims to unravel the effects of LHFPL3-AS1 on NPC progression via microRNA (miR)-143-5p/homeobox A6 (HOXA6) axis. NPC tissues were collected and NPC cells were cultured. NPC cells were subjected to radiation therapy to construct the radiation therapy resistance NPC cell line. The levels of LHFPL3-AS1, miR-143-5p and HOXA6 in NPC cells and tissues were examined. LHFPL3-AS1, miR-143-5p or HOXA6 expression was changed and then transfected into radiation-resistant NPC cells to detect cell proliferation, colony formation, migration, invasion and cell apoptosis . The tumorigenesis in nude mice was conducted to detect tumor growth. The targeting relations among LHFPL3-AS1, miR-143-5p and HOXA6 were validated. It was discovered that LHFPL3-AS1 and HOXA6 expression was elevated while the miR-143-5p level was depleted in radiation-resistant NPC cells and NPC tissues. The silenced LHFPL3-AS1 or augmented miR-143-5p repressed the proliferation, colony formation, migration and invasion of radiation-resistant NPC cells, while accelerated cell apoptosis . Silenced LHFPL3-AS1 hindered tumor growth . MiR-143-5p deletion reversed the effects of reduced LHFPL3-AS1; while HOXA6 upregulation reversed the effects of enriched miR-143-5p. LHFPL3-AS1 sponged miR-143-5p that targeted HOXA6. It is concluded that the down-regulated LHFPL3-AS1 retards the development of radiation-resistant NPC cells via sponging miR-143-5p to modulate HOXA6. This study reveals novel therapeutic targets for NPC treatment.

摘要

长链非编码 RNA LHFPL3 反义 RNA 1(LHFPL3-AS1)在癌症进展中的功能已被研究,但其在鼻咽癌(NPC)中的作用尚不清楚。本研究旨在通过 microRNA(miR)-143-5p/同源盒 A6(HOXA6)轴揭示 LHFPL3-AS1 对 NPC 进展的影响。收集 NPC 组织并培养 NPC 细胞。对 NPC 细胞进行放射治疗,构建放射治疗耐药 NPC 细胞系。检测 NPC 细胞和组织中 LHFPL3-AS1、miR-143-5p 和 HOXA6 的水平。改变 LHFPL3-AS1、miR-143-5p 或 HOXA6 的表达,然后转染至耐辐射 NPC 细胞中,检测细胞增殖、集落形成、迁移、侵袭和细胞凋亡。在裸鼠中进行肿瘤发生实验,检测肿瘤生长情况。验证 LHFPL3-AS1、miR-143-5p 和 HOXA6 之间的靶向关系。结果发现,耐辐射 NPC 细胞和 NPC 组织中 LHFPL3-AS1 和 HOXA6 的表达上调,而 miR-143-5p 水平下调。沉默 LHFPL3-AS1 或增强 miR-143-5p 抑制耐辐射 NPC 细胞的增殖、集落形成、迁移和侵袭,同时加速细胞凋亡。沉默 LHFPL3-AS1 抑制肿瘤生长。miR-143-5p 缺失逆转了降低 LHFPL3-AS1 的作用;而 HOXA6 的上调逆转了丰富 miR-143-5p 的作用。LHFPL3-AS1 海绵吸附 miR-143-5p,靶向 HOXA6。结论:下调的 LHFPL3-AS1 通过海绵吸附 miR-143-5p 调节 HOXA6,从而减缓耐辐射 NPC 细胞的发展。本研究为 NPC 的治疗提供了新的治疗靶点。

https://cdn.ncbi.nlm.nih.gov/pmc/blobs/8c78/9208473/f3304089d120/KBIE_A_2024386_F0001_OC.jpg

文献AI研究员

20分钟写一篇综述,助力文献阅读效率提升50倍。

立即体验

用中文搜PubMed

大模型驱动的PubMed中文搜索引擎

马上搜索

文档翻译

学术文献翻译模型,支持多种主流文档格式。

立即体验