Suppr超能文献

云芝(Lloyd)β-葡聚糖可有效预防流感病毒感染。

β-Glucans from (L.) Lloyd Is Effective for Prevention of Influenza Virus Infection.

机构信息

Anhui Province Key Laboratory of Livestock and Poultry Product Safety Engineering, Livestock and Poultry Epidemic Diseases Research Center of Anhui Province, Institute of Animal Husbandry and Veterinary Science, Anhui Academy of Agricultural Sciences, Hefei 230031, China.

CAS Key Laboratory of Pathogenic Microbiology and Immunology, Institute of Microbiology, Chinese Academy of Sciences, Beijing 100101, China.

出版信息

Viruses. 2022 Jan 25;14(2):237. doi: 10.3390/v14020237.

Abstract

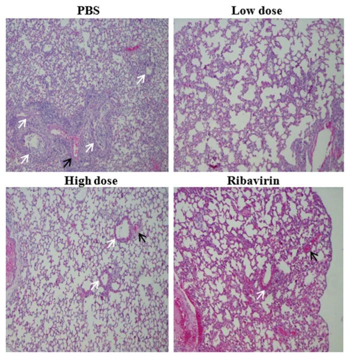
() is a higher fungi or mushroom which is now known by its accepted scientific names as (L.) Lloyd. Many studies have shown that β-glucans from have various physiological activities, including activating macrophages to protect against infection. However, whether β-glucans have antiviral effects has not been reported. Hence, the objective of this study was to confirm whether β-glucans could boost the immune response to combat influenza virus in mouse and chick models. The results show that β-glucans induced the expression of , costimulatory molecules (/) and cytokines , , and in murine bone marrow dendritic cells (BMDCs). In addition, orally administered β-glucans reduced weight loss, mortality and viral titers in the lungs of mice infected with influenza virus and attenuated pathological lung damage caused by the virus in the mice. Orally administered β-glucans improved survival and reduced lung viral titers in chickens infected with H9N2 avian influenza virus. These results suggest that β-glucans have a significant antiviral effect. Therefore, β-glucans could become a potential immunomodulator against influenza virus.

摘要

()是一种高等真菌或蘑菇,现在被其公认的学名(L.)劳埃德所认可。许多研究表明,()中的β-葡聚糖具有多种生理活性,包括激活巨噬细胞以预防()感染。然而,β-葡聚糖是否具有抗病毒作用尚未报道。因此,本研究的目的是确认β-葡聚糖是否能增强免疫反应,以抵抗小鼠和小鸡模型中的流感病毒。结果表明,β-葡聚糖诱导了鼠骨髓树突状细胞(BMDCs)中()、共刺激分子(/)和细胞因子()、()、()和()的表达。此外,口服给予β-葡聚糖可减轻感染流感病毒的小鼠体重减轻、死亡率和肺部病毒滴度,并减轻病毒引起的小鼠肺部病理损伤。口服给予β-葡聚糖可提高感染 H9N2 禽流感病毒的鸡的存活率并降低肺部病毒滴度。这些结果表明,β-葡聚糖具有显著的抗病毒作用。因此,β-葡聚糖可能成为一种对抗流感病毒的潜在免疫调节剂。

https://cdn.ncbi.nlm.nih.gov/pmc/blobs/6e0e/8880503/17c3783841c7/viruses-14-00237-g001.jpg

文献AI研究员

20分钟写一篇综述,助力文献阅读效率提升50倍。

立即体验

用中文搜PubMed

大模型驱动的PubMed中文搜索引擎

马上搜索

文档翻译

学术文献翻译模型,支持多种主流文档格式。

立即体验