Suppr超能文献

TMEM43 通过稳定 PRPF3 和调节 RAP2B/ERK 轴促进胰腺癌进展。

TMEM43 promotes pancreatic cancer progression by stabilizing PRPF3 and regulating RAP2B/ERK axis.

机构信息

Department of Oncology, Tangdu Hospital, Air Force Medical University, Xi'an, 710038, Shaanxi, China.

Ambulatory Surgery Center, Xijing Hospital, Air Force Medical University, Xi'an, 710032, Shaanxi, China.

出版信息

Cell Mol Biol Lett. 2022 Mar 8;27(1):24. doi: 10.1186/s11658-022-00321-z.

Abstract

BACKGROUND

Transmembrane protein 43 (TMEM43), a member of the transmembrane protein subfamily, plays a critical role in the initiation and development of cancers. However, little is known concerning the biological function and molecular mechanisms of TMEM43 in pancreatic cancer.

METHODS

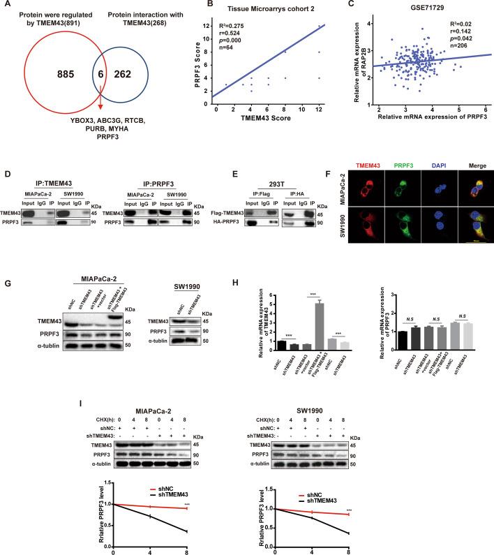
In this study, TMEM43 expression levels were analyzed in pancreatic cancer samples compared with control samples. The relationship of TMEM43 expression and disease-free survival (DFS) and overall survival (OS) were assessed in pancreatic cancer patients. In vitro and in vivo assays were performed to explore the function and role of TMEM43 in pancreatic cancer. Coimmunoprecipitation (co-IP) followed by protein mass spectrometry was applied to analyze the molecular mechanisms of TMEM43 in pancreatic cancer.

RESULTS

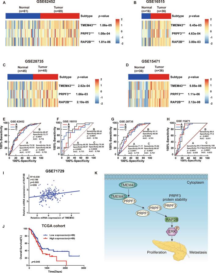
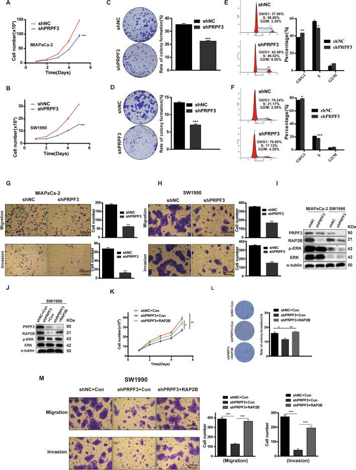
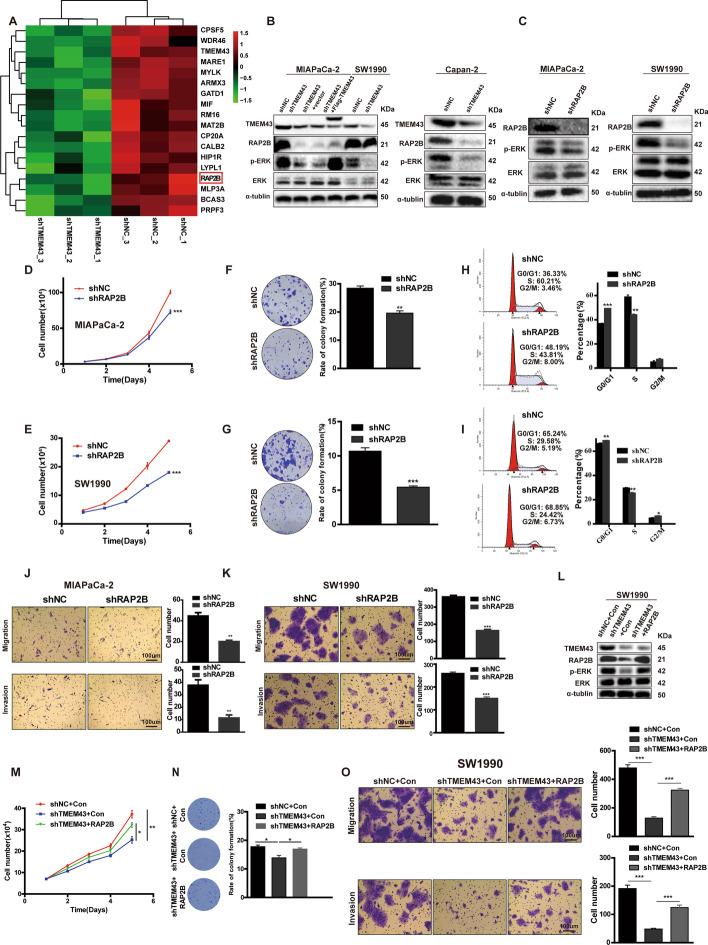
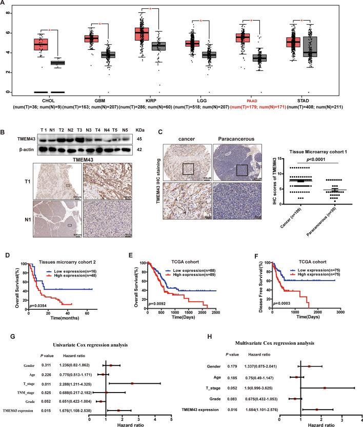
We demonstrated that TMEM43 expression level is elevated in pancreatic cancer samples compared with control group, and is correlated with poor DFS and OS in pancreatic cancer patients. Knockdown of TMEM43 inhibited pancreatic cancer progression in vitro, decreased the percentage of S phase, and inhibited the tumorigenicity of pancreatic cancer in vivo. Moreover, we demonstrated that TMEM43 promoted pancreatic cancer progression by stabilizing PRPF3 and regulating the RAP2B/ERK axis.

CONCLUSIONS

The present study suggests that TMEM43 contributes to pancreatic cancer progression through the PRPF3/RAP2B/ERK axis, and might be a novel therapeutic target for pancreatic cancer.

摘要

背景

跨膜蛋白 43(TMEM43)是跨膜蛋白亚家族的成员,在癌症的发生和发展中起着关键作用。然而,关于 TMEM43 在胰腺癌中的生物学功能和分子机制知之甚少。

方法

本研究分析了胰腺癌组织中 TMEM43 的表达水平,并与对照组进行比较。评估了 TMEM43 表达与胰腺癌患者无病生存(DFS)和总生存(OS)的关系。进行了体外和体内实验,以探讨 TMEM43 在胰腺癌中的功能和作用。应用免疫共沉淀(co-IP)结合蛋白质质谱分析技术分析 TMEM43 在胰腺癌中的分子机制。

结果

我们证明与对照组相比,TMEM43 在胰腺癌组织中的表达水平升高,并且与胰腺癌患者DFS 和 OS 不良相关。TMEM43 敲低可抑制体外胰腺癌细胞的进展,降低 S 期细胞的比例,并抑制体内胰腺癌细胞的致瘤性。此外,我们证明 TMEM43 通过稳定 PRPF3 和调节 RAP2B/ERK 轴促进胰腺癌的进展。

结论

本研究表明,TMEM43 通过 PRPF3/RAP2B/ERK 轴促进胰腺癌的进展,可能成为胰腺癌的新治疗靶点。

https://cdn.ncbi.nlm.nih.gov/pmc/blobs/82c4/8903684/1ef403419632/11658_2022_321_Fig1_HTML.jpg

文献AI研究员

20分钟写一篇综述,助力文献阅读效率提升50倍。

立即体验

用中文搜PubMed

大模型驱动的PubMed中文搜索引擎

马上搜索

文档翻译

学术文献翻译模型,支持多种主流文档格式。

立即体验