Suppr超能文献

MicroRNA 148a 通过靶向 NOX4 和 POLDIP2 抑制结核性纤维化。

MicroRNA 148a Suppresses Tuberculous Fibrosis by Targeting NOX4 and POLDIP2.

机构信息

Institute of New Frontier Research Team, Hallym University College of Medicine, Chuncheon 24253, Korea.

Division of Pulmonary, Allergy and Critical Care Medicine, Department of Internal Medicine, Chuncheon Sacred Heart Hospital, Hallym University Medical Center, Chuncheon 24253, Korea.

出版信息

Int J Mol Sci. 2022 Mar 10;23(6):2999. doi: 10.3390/ijms23062999.

Abstract

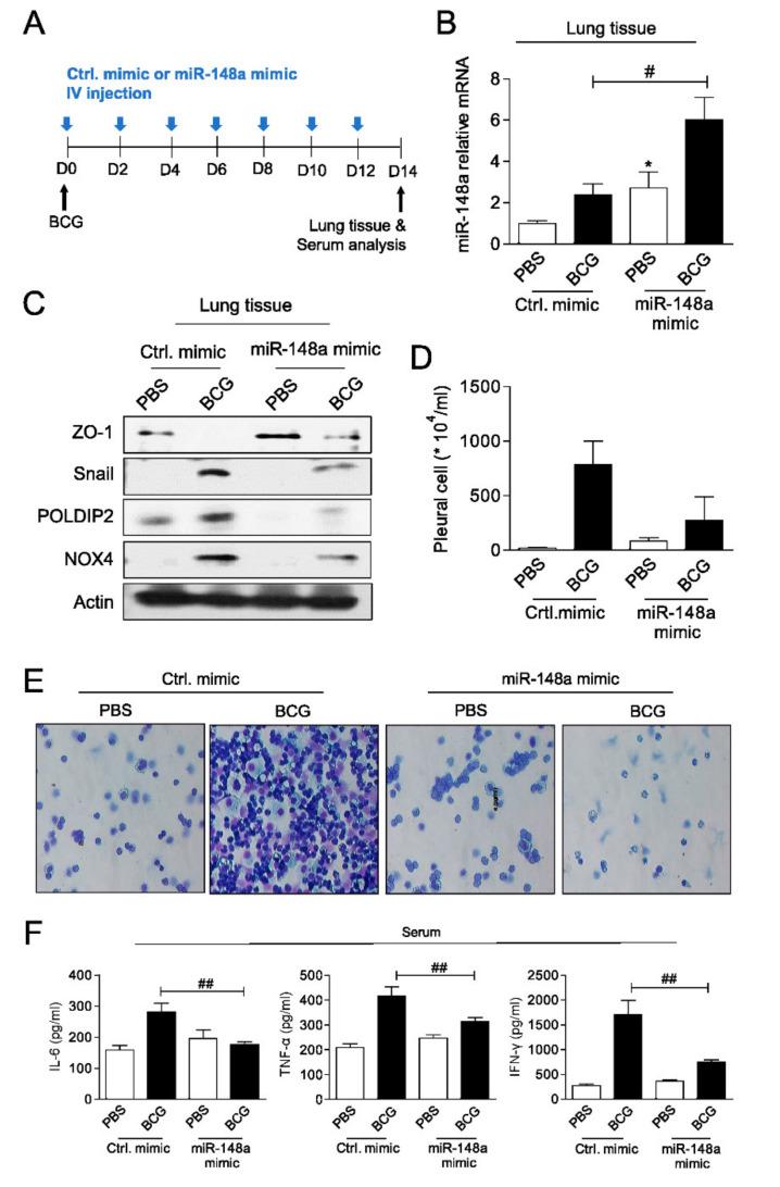
Extracellular matrix production by pleural mesothelial cells in response to contributes to tuberculous fibrosis. NOX4 is involved in the pathogenesis of tuberculous fibrosis. In this study, we evaluated whether gene-targeting microRNAs showed protective effects in tuberculosis fibrosis. TargetScan prediction software was used to identify candidate microRNAs that bind the 3' UTRs of , and microRNA-148a (miR-148a) was selected as the best miRNA candidate. A repressed and forced expression assay in Met5A cells was performed to investigate the causal relationship between miR-148a and NOX4. The role of miR-148a in tuberculous pleural fibrosis was studied using a murine model of bacillus Calmette-Guérin (BCG) pleural infection. Heat-killed (HKMT) induces NOX4 and POLDIP2 expression. We demonstrated the inhibitory effect of miR-148a on NOX4 and POLDIP2 expression. The increased expression of miR-148a suppressed HKMT-induced collagen-1A synthesis in PMC cells. In the BCG pleurisy model, miR-148a significantly reduced fibrogenesis and epithelial mesenchymal transition. High levels of miR-148a in tuberculous pleural effusion can be interpreted as a self-limiting homeostatic response. Our data indicate that miR-148a may protect against tuberculous pleural fibrosis by regulating NOX4 and POLDIP2.

摘要

细胞外基质由胸膜间皮细胞产生,以响应 ,有助于结核纤维化。NOX4 参与结核纤维化的发病机制。在这项研究中,我们评估了 基因靶向 microRNAs 是否对结核纤维化具有保护作用。使用 TargetScan 预测软件来识别与 3'UTR 结合的候选 microRNAs,选择 microRNA-148a(miR-148a)作为最佳 miRNA 候选物。在 Met5A 细胞中进行抑制和强制表达测定,以研究 miR-148a 与 NOX4 之间的因果关系。使用结核分枝杆菌(BCG)胸膜感染的小鼠模型研究 miR-148a 在结核性胸膜纤维化中的作用。热灭活 (HKMT)诱导 NOX4 和 POLDIP2 的表达。我们证明了 miR-148a 对 NOX4 和 POLDIP2 表达的抑制作用。miR-148a 的高表达抑制了 HKMT 诱导的 PMC 细胞胶原 1A 合成。在 BCG 胸膜炎模型中,miR-148a 显著减少了纤维化和上皮间质转化。结核性胸腔积液中高水平的 miR-148a 可以解释为一种自我限制的体内平衡反应。我们的数据表明,miR-148a 通过调节 NOX4 和 POLDIP2 可能对结核性胸膜纤维化具有保护作用。

https://cdn.ncbi.nlm.nih.gov/pmc/blobs/bdbe/8954251/259cc0396bc5/ijms-23-02999-g001.jpg

文献AI研究员

20分钟写一篇综述,助力文献阅读效率提升50倍。

立即体验

用中文搜PubMed

大模型驱动的PubMed中文搜索引擎

马上搜索

文档翻译

学术文献翻译模型,支持多种主流文档格式。

立即体验