Suppr超能文献

阿托伐他汀通过增强高脂饮食高草酸钙尿结石形成大鼠肾脏骨桥蛋白表达减少肾脏草酸钙结石沉积。

Atorvastatin Decreases Renal Calcium Oxalate Stone Deposits by Enhancing Renal Osteopontin Expression in Hyperoxaluric Stone-Forming Rats Fed a High-Fat Diet.

机构信息

Department of Urology, National Cheng Kung University Hospital, College of Medicine, National Cheng Kung University, Tainan 704302, Taiwan.

Department of Urology, College of Medicine, National Cheng Kung University, Tainan 70101, Taiwan.

出版信息

Int J Mol Sci. 2022 Mar 11;23(6):3048. doi: 10.3390/ijms23063048.

Abstract

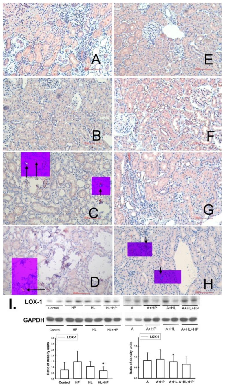
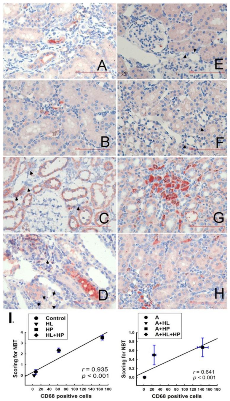
Calcium oxalate (CaOx) is the major constituent of kidney stones. Growing evidence shows a close connection between hyperlipidemia, cardiovascular disease (CVD), and the formation of kidney stones. Owing to their antioxidant properties, statins control hyperlipidemia and may ameliorate CaOx stone formation. The present study was designed to investigate the suppressive effects of statins on CaOx urolithiasis and their potential mechanism. We used rats fed a high-fat diet (HFD) to achieve hyperlipidemia (HL) and hydroxyproline (HP) water to establish a hyperoxaluric CaOx nephrolithiasis model; the animals were administered statins (A) for 28 days. The rats were divided into eight groups treated or not with A, i.e., Control, HP, HL, HL + HP. HL aggravated urinary calcium crystallization compared to the control. Due to increased expression of renal osteopontin (OPN), a key anti-lithic protein, and reduced free radical production, the calcium crystals in the urinary bladder increased as renal calcium deposition decreased. The levels of the ion activity product of CaOx (AP(CaOx)) decreased after statins administration, and AP(Calcium phosphate) (CaP) increased, which suggested the dominant calcium crystal composition changed from CaOx to CaP after statin administration. In conclusion, atorvastatin decreases renal CaOx stone deposits by restoring OPN expression in hyperoxaluric rats fed a HFD.

摘要

草酸钙(CaOx)是肾结石的主要成分。越来越多的证据表明,高脂血症、心血管疾病(CVD)与肾结石的形成之间存在密切联系。由于他汀类药物具有抗氧化特性,可控制高脂血症,并可能改善 CaOx 结石的形成。本研究旨在探讨他汀类药物对 CaOx 尿石症的抑制作用及其潜在机制。我们使用高脂饮食(HFD)喂养大鼠以实现高脂血症(HL),并使用羟脯氨酸(HP)水建立高草酸钙尿结石模型;用他汀类药物(A)治疗 28 天。将大鼠分为八组,分别接受或不接受 A 处理,即对照组、HP 组、HL 组、HL + HP 组。HL 组大鼠的尿钙结晶较对照组明显增加。由于肾骨桥蛋白(OPN)表达增加,一种关键的抗结石蛋白,自由基生成减少,膀胱内的钙晶体增加,而肾脏钙沉积减少。他汀类药物治疗后,CaOx 离子活性产物(AP(CaOx))水平降低,CaP 增加,提示他汀类药物治疗后,钙晶体的主要成分从 CaOx 转变为 CaP。综上所述,阿托伐他汀通过恢复高脂血症大鼠的 OPN 表达,减少肾草酸钙结石的沉积。

https://cdn.ncbi.nlm.nih.gov/pmc/blobs/e5d0/8954580/194eeb2f6d2e/ijms-23-03048-g001.jpg

文献AI研究员

20分钟写一篇综述,助力文献阅读效率提升50倍。

立即体验

用中文搜PubMed

大模型驱动的PubMed中文搜索引擎

马上搜索

文档翻译

学术文献翻译模型,支持多种主流文档格式。

立即体验