Suppr超能文献

犬组织外泌体的蛋白质组学评估作为一种鉴定骨肉瘤分子靶点的方法:PSMD14/Rpn11 作为原理验证。

Proteomic Assessment of Extracellular Vesicles from Canine Tissue Explants as a Pipeline to Identify Molecular Targets in Osteosarcoma: PSMD14/Rpn11 as a Proof of Principle.

机构信息

Department of Biomedical Sciences, Ontario Veterinary College, University of Guelph, Guelph, ON N1G 2W1, Canada.

Department of Animal Biosciences, Ontario Agricultural College, University of Guelph, Guelph, ON N1G 2W1, Canada.

出版信息

Int J Mol Sci. 2022 Mar 17;23(6):3256. doi: 10.3390/ijms23063256.

Abstract

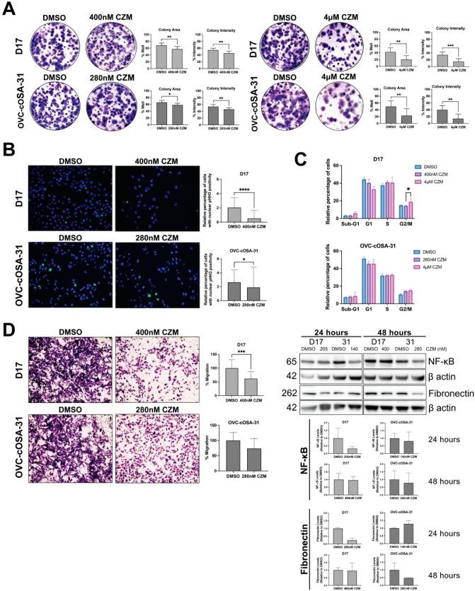
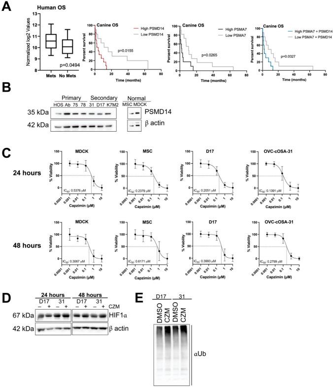
Osteosarcoma (OS) is a highly malignant bone tumour that has seen little improvement in treatment modalities in the past 30 years. Understanding what molecules contribute to OS biology could aid in the discovery of novel therapies. Extracellular vesicles (EVs) serve as a mode of cell-to-cell communication and have the potential to uncover novel protein signatures. In our research, we developed a novel pipeline to isolate, characterize, and profile EVs from normal bone and osteosarcoma tissue explants from canine OS patients. Proteomic analysis of vesicle preparations revealed a protein signature related to protein metabolism. One molecule of interest, PSMD14/Rpn11, was explored further given its prognostic potential in human and canine OS, and its targetability with the drug capzimin. In vitro experiments demonstrated that capzimin induces apoptosis and reduces clonogenic survival, proliferation, and migration in two metastatic canine OS cell lines. Capzimin also reduces the viability of metastatic human OS cells cultured under 3D conditions that mimic the growth of OS cells at secondary sites. This unique pipeline can improve our understanding of OS biology and identify new prognostic markers and molecular targets for both canine and human OS patients.

摘要

骨肉瘤(OS)是一种高度恶性的骨肿瘤,在过去 30 年中,其治疗方法几乎没有改善。了解哪些分子有助于 OS 生物学的发展,可能有助于发现新的治疗方法。细胞外囊泡(EVs)是细胞间通讯的一种方式,具有揭示新的蛋白质特征的潜力。在我们的研究中,我们开发了一种从正常骨和骨肉瘤组织外植体中分离、表征和分析 EVs 的新方法,这些外植体来自患有骨肉瘤的犬科动物。囊泡制剂的蛋白质组学分析显示出与蛋白质代谢相关的蛋白质特征。由于 PSMD14/Rpn11 在人类和犬科骨肉瘤中的预后潜力及其与 capzimin 药物的靶向性,因此对其进行了进一步研究。体外实验表明,capzimin 可诱导两种转移性犬科骨肉瘤细胞系的细胞凋亡,并降低克隆形成存活率、增殖和迁移。Capzimin 还降低了在三维条件下培养的转移性人类骨肉瘤细胞的活力,这种三维条件模拟了骨肉瘤细胞在继发部位的生长。这个独特的管道可以帮助我们更好地了解骨肉瘤的生物学特性,并为犬科和人类骨肉瘤患者确定新的预后标志物和分子靶点。

https://cdn.ncbi.nlm.nih.gov/pmc/blobs/d46d/8953151/bbcd4c09dd68/ijms-23-03256-g001.jpg

文献AI研究员

20分钟写一篇综述,助力文献阅读效率提升50倍。

立即体验

用中文搜PubMed

大模型驱动的PubMed中文搜索引擎

马上搜索

文档翻译

学术文献翻译模型,支持多种主流文档格式。

立即体验