Suppr超能文献

单次鞘内注射 Onasemnogene Abeparvovec 对食蟹猴背根神经节的毒性作用

Single-Dose Intrathecal Dorsal Root Ganglia Toxicity of Onasemnogene Abeparvovec in Cynomolgus Monkeys.

机构信息

Department of Preclinical Safety/Translational Medicine, Novartis Pharmaceuticals Corporation, East Hanover, New Jersey, USA.

Department of Discovery and Investigative Pathology, Novartis Institutes for BioMedical Research, Cambridge, Massachusetts, USA.

出版信息

Hum Gene Ther. 2022 Jul;33(13-14):740-756. doi: 10.1089/hum.2021.255. Epub 2022 May 9.

Abstract

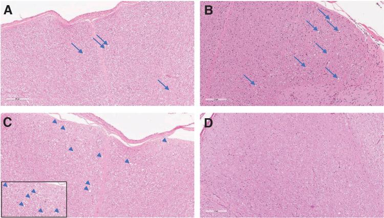
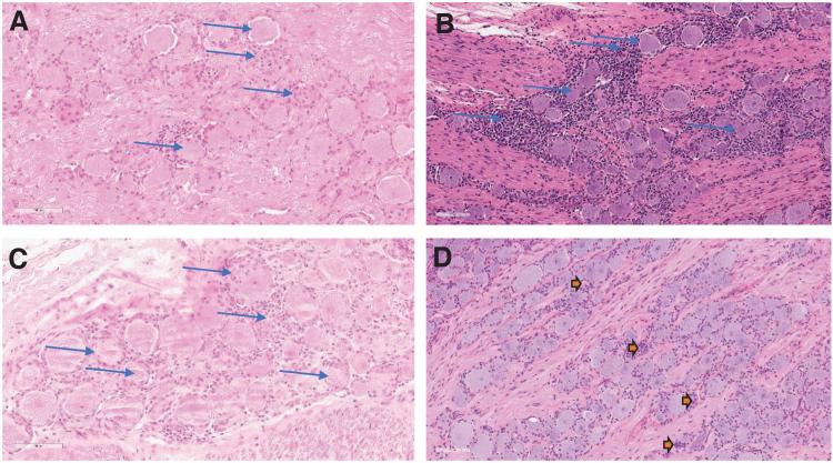
Intravenous onasemnogene abeparvovec is approved for the treatment of spinal muscular atrophy in children < 2 years. For later-onset patients, intrathecal onasemnogene abeparvovec may be advantageous over intravenous administration. Recently, microscopic dorsal root ganglion (DRG) changes were observed in nonhuman primates (NHPs) following intrathecal onasemnogene abeparvovec administration. To characterize these DRG findings, two NHP studies evaluating intrathecal onasemnogene abeparvovec administration were conducted: a 12-month study with a 6-week interim cohort and a 13-week study with a 2-week interim cohort. The latter investigated the potential impact of prednisolone or rituximab plus everolimus on DRG toxicity. An additional 6-month, single-dose, intravenous NHP study conducted in parallel evaluated onasemnogene abeparvovec safety (including DRG toxicity) with or without prednisolone coadministration. Intrathecal onasemnogene abeparvovec administration was well tolerated and not associated with clinical observations. Microscopic onasemnogene abeparvovec-related changes were observed in the DRG and trigeminal ganglion (TG) and included mononuclear cell inflammation and/or neuronal degeneration, which was colocalized with high vector transcript expression at 6 weeks postdose. Incidence and severity of DRG changes were generally decreased after 52 weeks compared with 6 weeks postdose. Other onasemnogene abeparvovec-related microscopic findings of axonal degeneration, mononuclear cell infiltrates and/or gliosis in the spinal cord, dorsal spinal nerve root/spinal nerves, and/or peripheral nerves were absent or found at decreased incidences and/or severities after 52 weeks. DRG and/or TG microscopic findings following intravenous onasemnogene abeparvovec dosing included minimal to slight neuronal degeneration and mononuclear cell inflammation at 6 weeks and 6 months postdose. Nervous system microscopic findings following intrathecal onasemnogene abeparvovec (≥1.2 × 10 vg/animal) trended toward resolution after 52 weeks, supporting nonprogression of changes, including in the DRG. Onasemnogene abeparvovec-related DRG findings were not associated with electrophysiology changes and were not ameliorated by prednisolone or rituximab plus everolimus coadministration. The pathogenesis is possibly a consequence of increased vector genome transduction and/or transgene expression.

摘要

静脉注射onasemnogene abeparvovec 已获批准用于治疗 2 岁以下儿童的脊髓性肌萎缩症。对于发病较晚的患者,鞘内注射 onasemnogene abeparvovec 可能优于静脉注射。最近,在非人类灵长类动物(NHPs)中观察到鞘内注射 onasemnogene abeparvovec 后,背根神经节(DRG)发生微观变化。为了描述这些 DRG 发现,进行了两项评估鞘内注射 onasemnogene abeparvovec 的 NHPs 研究:一项为期 12 个月的研究,其中有 6 周的中期队列;另一项为期 13 周的研究,其中有 2 周的中期队列。后者研究了地塞米松或利妥昔单抗联合依维莫司对 DRG 毒性的潜在影响。同时进行的为期 6 个月的单次静脉内 NHPs 研究评估了 onasemnogene abeparvovec 的安全性(包括 DRG 毒性),同时或不联合地塞米松。鞘内注射 onasemnogene abeparvovec 耐受性良好,与临床观察无关。在 DRG 和三叉神经节(TG)中观察到与 onasemnogene abeparvovec 相关的微观变化,包括单核细胞炎症和/或神经元变性,这与剂量后 6 周的高载体转录物表达有关。与剂量后 6 周相比,52 周后 DRG 变化的发生率和严重程度通常降低。其他与 onasemnogene abeparvovec 相关的微观发现,包括脊髓、背根脊髓神经/脊神经和/或周围神经中的轴突变性、单核细胞浸润和/或神经胶质增生,在 52 周后不存在或发生率和/或严重程度降低。静脉内给予 onasemnogene abeparvovec 后 6 周和 6 个月时,DRG 和/或 TG 的微观发现包括轻微至轻度神经元变性和单核细胞炎症。鞘内给予 onasemnogene abeparvovec(≥1.2×10 vg/动物)后,神经系统微观发现 52 周后趋于消退,支持变化(包括 DRG 中的变化)不进展。Onasemnogene abeparvovec 相关的 DRG 发现与电生理学变化无关,并且不受地塞米松或利妥昔单抗联合依维莫司联合给药的改善。发病机制可能是由于载体基因组转导和/或转基因表达增加所致。

https://cdn.ncbi.nlm.nih.gov/pmc/blobs/55b2/9347375/1263d5d4e768/hum.2021.255_figure1.jpg

文献AI研究员

20分钟写一篇综述,助力文献阅读效率提升50倍。

立即体验

用中文搜PubMed

大模型驱动的PubMed中文搜索引擎

马上搜索

文档翻译

学术文献翻译模型,支持多种主流文档格式。

立即体验