Suppr超能文献

用于早期检测的基本重组酶聚合酶扩增(RPA)检测方法的实验室评估

Laboratory Evaluation of a Basic Recombinase Polymerase Amplification (RPA) Assay for Early Detection of .

作者信息

Deng Wangping, Wang Shenglin, Wang Liping, Lv Chao, Li Yinlong, Feng Ting, Qin Zhiqiang, Xu Jing

机构信息

National Institute of Parasitic Diseases, Chinese Center for Disease Control and Prevention (Chinese Center for Tropical Diseases Research), NHC Key Laboratory of Parasite and Vector Biology, WHO Collaborating Centre for Tropical Diseases, National Center for International Research on Tropical Diseases, Shanghai 200025, China.

出版信息

Pathogens. 2022 Mar 4;11(3):319. doi: 10.3390/pathogens11030319.

Abstract

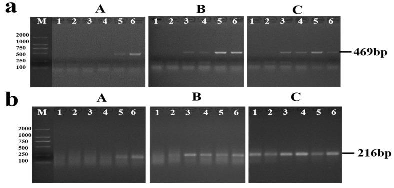
Early detection of Schistosoma japonicum (S. japonicum) within its intermediate and definitive hosts is crucial for case finding and disease surveillance, especially in low-endemic areas. Recombinase polymerase amplification (RPA) has many advantages over traditional methods of DNA-amplification, such as polymerase chain reaction (PCR), including high sensitivity and specificity whilst being deployable in resource-poor schistosomiasis-endemic areas. Here, we evaluated the performance of a basic RPA assay targeting the 28srDNA gene fragment of S. japonicum (Sj28srDNA) using schistosome-infected Oncomelania hupensis (O. hupensis) and mouse models, compared to the traditional pathological method and a PCR assay. Overall S. japonicum infection prevalence within O. hupensis hosts by microscopic dissection, PCR and RPA was 9.29% (13/140), 32.14% (45/140) and 51.43% (72/140), respectively, presenting significant differences statistically (χ2 = 58.31, p < 0.001). It was noteworthy that infection prevalence by PCR and RPA performed was 34.44% (31/90) and 53.33% (48/90) in snails within 6 weeks post-infection, while the dissection method detected all samples as negatives. In addition, the basic RPA assay presented positive results from the fourth week post-infection and third day post-infection when detecting fecal DNA and serum DNA, respectively, which were extracted from a pooled sample from mice infected with 20 S. japonicum cercariae. This study suggests that the RPA assay has high potential for early detection of S. japonicum infection within its intermediate and definitive hosts.

摘要

在中间宿主和终末宿主中早期检测日本血吸虫对于病例发现和疾病监测至关重要,尤其是在低流行地区。重组酶聚合酶扩增(RPA)与传统的DNA扩增方法(如聚合酶链反应(PCR))相比具有许多优势,包括高灵敏度和特异性,同时可在资源匮乏的血吸虫病流行地区使用。在此,我们使用感染血吸虫的钉螺和小鼠模型,与传统病理方法和PCR检测法相比,评估了一种针对日本血吸虫28srDNA基因片段(Sj28srDNA)的基本RPA检测法的性能。通过显微镜解剖、PCR和RPA检测,钉螺宿主中日本血吸虫的总体感染率分别为9.29%(13/140)、32.14%(45/140)和51.43%(72/140),差异具有统计学意义(χ2 = 58.31,p < 0.001)。值得注意的是,在感染后6周内,PCR和RPA检测的钉螺感染率分别为34.44%(31/90)和53.33%(48/90),而解剖法检测所有样本均为阴性。此外,基本RPA检测法在分别检测从感染20只日本血吸虫尾蚴的小鼠混合样本中提取的粪便DNA和血清DNA时,在感染后第四周和感染后第三天呈现阳性结果。本研究表明,RPA检测法在早期检测中间宿主和终末宿主中日本血吸虫感染方面具有很高的潜力。

https://cdn.ncbi.nlm.nih.gov/pmc/blobs/7926/8955429/7c1f151a9227/pathogens-11-00319-g001.jpg

文献AI研究员

20分钟写一篇综述,助力文献阅读效率提升50倍。

立即体验

用中文搜PubMed

大模型驱动的PubMed中文搜索引擎

马上搜索

文档翻译

学术文献翻译模型,支持多种主流文档格式。

立即体验