Suppr超能文献

利用乳牙干细胞和羟基磷灰石通过增强血管内皮生长因子及抑制基质金属蛋白酶-8表达在体内研究牙槽骨重塑

Study of Alveolar Bone Remodeling Using Deciduous Tooth Stem Cells and Hydroxyapatite by Vascular Endothelial Growth Factor Enhancement and Inhibition of Matrix Metalloproteinase-8 Expression in vivo.

作者信息

Saskianti Tania, Nugraha Alexander Patera, Prahasanti Chiquita, Ernawati Diah Savitri, Tanimoto Kotaro, Riawan Wibi, Kanawa Masami, Kawamoto Takeshi, Fujimoto Katsumi

机构信息

Department of Pediatric Dentistry, Faculty of Dental Medicine, Universitas Airlangga, Surabaya, Indonesia.

Department of Orthodontics, Faculty of Dental Medicine, Universitas Airlangga, Surabaya, Indonesia.

出版信息

Clin Cosmet Investig Dent. 2022 Mar 24;14:71-78. doi: 10.2147/CCIDE.S354153. eCollection 2022.

Abstract

BACKGROUND

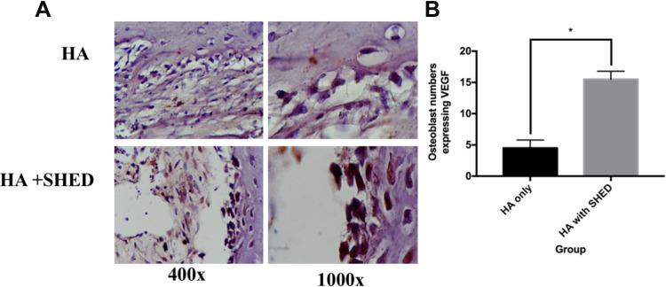
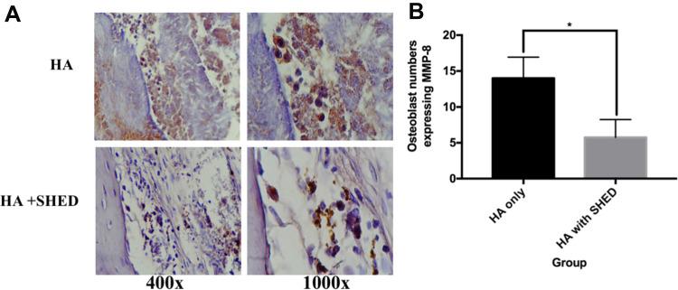
Periodontitis progression is characterized by alveolar bone loss, and its prevention is a major clinical problem in periodontal disease management. Matrix metalloproteinase-8 (MMP-8) has been shown to adequately monitor the treatment of chronic periodontitis patients as gingival crevicular fluid MMP-8s were positively associated with the severity of periodontal disease. Moreover, modulating the vascular endothelial growth factor (VEGF) levels in bones could be a good way to improve bone regeneration and cure periodontitis as VEGF promotes endothelial cell proliferation, proteolytic enzyme release, chemotaxis, and migration; all of which are required for angiogenesis.

PURPOSE

The aim of this study was to determine the effect of hydroxyapatite incorporated with stem cells from exfoliated deciduous teeth (SHED) in Wistar rats' initial alveolar bone remodeling based on the findings of MMP-8 and VEGF expressions.

METHODS

A hydroxyapatite scaffold (HAS) in conjunction with SHED was transplanted into animal models with alveolar mandibular defects. A total of 10 Wistar rats () were divided into two groups: HAS and HAS + SHED. Immunohistochemistry staining was performed after 7 days to facilitate the examination of MMP-8 and VEGF expressions.

RESULTS

The independent -test found significant downregulation of MMP-8 and upregulation VEGF expressions in groups transplanted with HAS in conjunction with SHED compared with the HAS group ( < 0.05).

CONCLUSION

The combination of SHED with HAS on alveolar bone defects may contribute to initial alveolar bone remodeling as evident through the assessments of MMP-8 and VEGF expressions.

摘要

背景

牙周炎的进展以牙槽骨吸收为特征,其预防是牙周疾病管理中的一个主要临床问题。基质金属蛋白酶8(MMP - 8)已被证明可充分监测慢性牙周炎患者的治疗情况,因为龈沟液中的MMP - 8与牙周疾病的严重程度呈正相关。此外,调节骨中血管内皮生长因子(VEGF)的水平可能是促进骨再生和治愈牙周炎的一种好方法,因为VEGF可促进内皮细胞增殖、蛋白水解酶释放、趋化性和迁移;而这些都是血管生成所必需的。

目的

本研究旨在根据MMP - 8和VEGF表达的结果,确定含脱落乳牙干细胞(SHED)的羟基磷灰石对Wistar大鼠初始牙槽骨重塑的影响。

方法

将羟基磷灰石支架(HAS)与SHED联合移植到有下颌牙槽骨缺损的动物模型中。总共10只Wistar大鼠被分为两组:HAS组和HAS + SHED组。7天后进行免疫组织化学染色,以检测MMP - 8和VEGF的表达。

结果

独立样本t检验发现,与HAS组相比,移植了HAS与SHED联合制剂的组中MMP - 8显著下调,VEGF表达上调(P < 0.05)。

结论

通过对MMP - 8和VEGF表达的评估表明,SHED与HAS联合应用于牙槽骨缺损可能有助于初始牙槽骨重塑。

https://cdn.ncbi.nlm.nih.gov/pmc/blobs/673b/8959620/600901bc8908/CCIDE-14-71-g0001.jpg

文献AI研究员

20分钟写一篇综述,助力文献阅读效率提升50倍。

立即体验

用中文搜PubMed

大模型驱动的PubMed中文搜索引擎

马上搜索

文档翻译

学术文献翻译模型,支持多种主流文档格式。

立即体验