Suppr超能文献

环状RNA沉默调节蛋白1通过靶向微小RNA-145-5p/蛋白激酶B3轴抑制肺动脉平滑肌细胞增殖、迁移和自噬,从而改善肺动脉高压。

Circular RNA Sirtuin1 represses pulmonary artery smooth muscle cell proliferation, migration and autophagy to ameliorate pulmonary hypertension via targeting microRNA-145-5p/protein kinase-B3 axis.

作者信息

Jing Xiaogang, Wu Shujun, Liu Ying, Wang Huan, Huang QingFeng

机构信息

Department of Respiratory, The First Affiliated Hospital of Zhengzhou University, Zhengzhou City, Henan Province, China.

Zhibang Biological Laboratory, Guangzhou Science City Incubation Base, Guangzhou City, Guangdong Province, 510000, China.

出版信息

Bioengineered. 2022 Apr;13(4):8759-8771. doi: 10.1080/21655979.2022.2036302.

Abstract

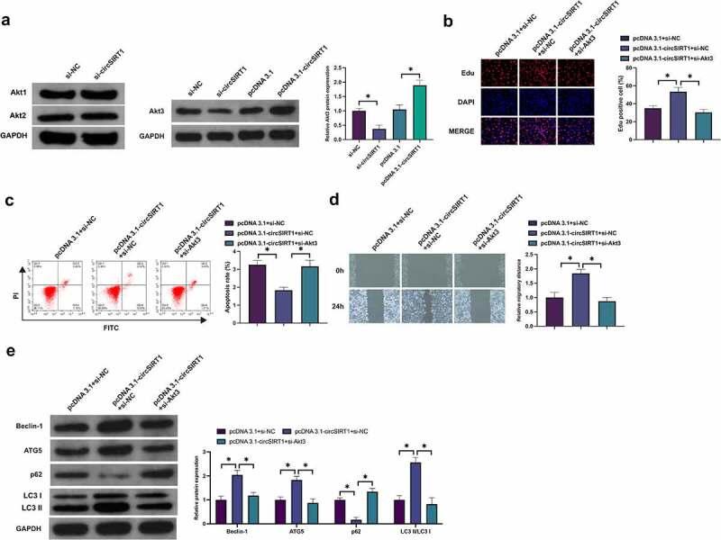
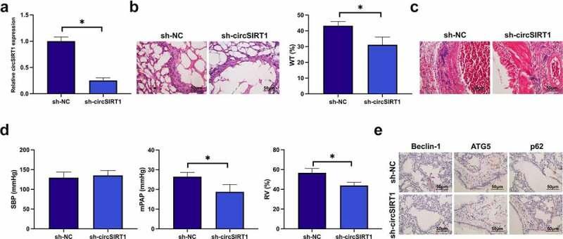
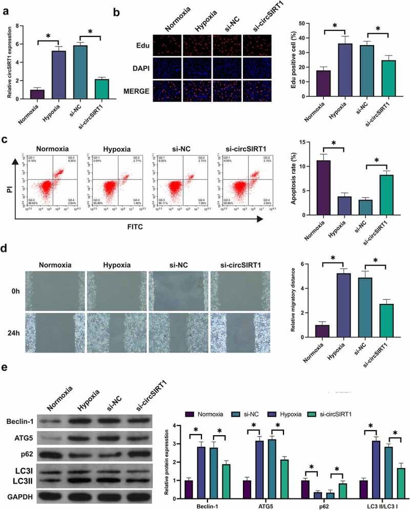
Recently, several studies have been clarified that circular RNA (circRNA) was a vital regulatory gene of pulmonary hypertension (PH). Nevertheless, the action of circRNA in PH was not yet explored. This study was to figure out the biological function and potential molecular mechanism of circSirtuin1 (SIRT1) in PH. Construction of the PH rat model and hypoxia pulmonary artery smooth muscle cells (PASMC) model was performed, and test of circSIRT1/microRNA (miR)-145-5p/protein kinase-B3 (Akt3) was conducted. The influence of the circSIRT1/miR-145-5p/Akt3 axis on the histopathology, hemodynamics with autophagy of the pulmonary artery in rats was examined. Additionally, the impact of circSIRT1/miR-145-5p/Akt3 on the proliferation, migration and apoptosis with autophagy of PASMC under hypoxic environment was also determined. The targeting of circSIRT1/miR-145-5p/Akt3 was testified. The results manifested that circSIRT1 and Akt3 were elevated in PH, while miR-145-5p was declined. Knockdown of circSIRT1 ameliorated rat PH, suppressed PASMC proliferation, migration with autophagy in hypoxic environment. CircSIRT1 competitively combined with miR-145-5p to mediate Akt3. To sum up, circSIRT1/miR-145-5p/Akt3 was supposed to perform as a prospective molecular target for the treatment of PH.

摘要

最近,多项研究已阐明环状RNA(circRNA)是肺动脉高压(PH)的重要调控基因。然而,circRNA在PH中的作用尚未得到探索。本研究旨在明确环状沉默调节蛋白1(circSirtuin1,circSIRT1)在PH中的生物学功能及潜在分子机制。构建了PH大鼠模型和缺氧肺动脉平滑肌细胞(PASMC)模型,并进行了circSIRT1/微小RNA(miR)-145-5p/蛋白激酶B3(Akt3)检测。研究了circSIRT1/miR-145-5p/Akt3轴对大鼠肺动脉组织病理学、血流动力学及自噬的影响。此外,还确定了circSIRT1/miR-145-5p/Akt3对缺氧环境下PASMC增殖、迁移、凋亡及自噬的影响。验证了circSIRT1/miR-145-5p/Akt3的靶向作用。结果表明,PH中circSIRT1和Akt3升高,而miR-145-5p降低。敲低circSIRT1可改善大鼠PH,抑制缺氧环境下PASMC的增殖、迁移及自噬。circSIRT1与miR-145-5p竞争性结合以介导Akt3。综上所述,circSIRT1/miR-145-5p/Akt3有望成为治疗PH的潜在分子靶点。

https://cdn.ncbi.nlm.nih.gov/pmc/blobs/b45e/9161928/88431a914f32/KBIE_A_2036302_UF0001_OC.jpg

文献AI研究员

20分钟写一篇综述,助力文献阅读效率提升50倍。

立即体验

用中文搜PubMed

大模型驱动的PubMed中文搜索引擎

马上搜索

文档翻译

学术文献翻译模型,支持多种主流文档格式。

立即体验