Suppr超能文献

建立并鉴定来自患者的脑癌原代细胞培养物以实现新药的表型筛选。

Establishment and Characterization of Brain Cancer Primary Cell Cultures From Patients to Enable Phenotypic Screening for New Drugs.

作者信息

dePadua Michelle, Kulothungan Preethi, Lath Rahul, Prasad Ravikanti, Madamchetty Kranthi, Atmakuri Shravya, Ragamouni Sravanthi, Gandhari Mukesh, Khandrika Lakshmipathi, Jain Jugnu

机构信息

Department of Pathology, Apollo Hospital, Apollo Health City, Hyderabad, India.

Saarum Sciences Pvt Ltd., Hyderabad, India.

出版信息

Front Pharmacol. 2022 Mar 17;13:778193. doi: 10.3389/fphar.2022.778193. eCollection 2022.

Abstract

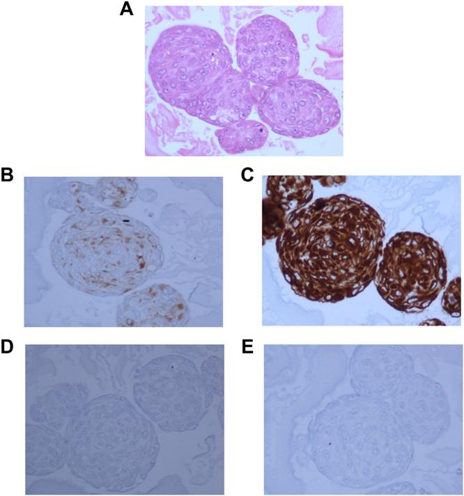
Desmoplastic infantile ganglioglioma (DIG), is a rare tumor arising mainly during the first 2 years of life. Molecular characterization of these benign yet rapidly proliferating tumors has been limited to evaluating a few mutations in few genes. Our aim was to establish a live cell culture to enable the understanding of the cellular processes driving the non-malignant growth of these tumors. Tumor tissue from a rare non-infantile 8-year-old female DIG patient was dissociated and digested using collagenase to establish live cultures. Both 2D monolayer and 3D neurospheres were successfully cultured and characterized for proliferative potential, intrinsic plasticity, presence of cancer stem cells and the expression of stem cell markers. Cells cultured as 3D were embedded as tissue blocks. Immunohistochemistry was performed in both tissue and 3D sections for markers including synaptophysin, vimentin, neurofilament and MIB-1. Mutation analysis by NGS was performed using a-100 gene panel. Using immunohistochemistry, the 3D cultures were shown to express markers as in the original DIG tumor tissue indicating that the spheroid cultures were able to maintain the heterogeneity found in the original tumor. Cells continued proliferating past passage 10 indicative of immortalization. Enrichment of cancer stem cells was observed in neurospheres by FACS using CD133 antibody and RT-PCR. Mutation analysis indicated the presence of germline mutations in three genes and somatic mutations in two other genes. A spontaneous cell line-like cell culture with high percentage of stem cells has been established from a DIG tumor for the first time.

摘要

促纤维增生性婴儿型节细胞胶质瘤(DIG)是一种罕见的肿瘤,主要发生在生命的头两年。这些良性但迅速增殖的肿瘤的分子特征仅限于评估少数基因中的少数突变。我们的目标是建立活细胞培养体系,以了解驱动这些肿瘤非恶性生长的细胞过程。从一名罕见的8岁非婴儿期女性DIG患者身上获取肿瘤组织,使用胶原酶进行解离和消化,以建立活细胞培养体系。成功培养了二维单层细胞和三维神经球,并对其增殖潜力、内在可塑性、癌症干细胞的存在以及干细胞标志物的表达进行了表征。作为三维培养的细胞被包埋成组织块。对组织和三维切片进行免疫组织化学检测,检测包括突触素、波形蛋白、神经丝和MIB-1在内的标志物。使用100基因panel通过二代测序进行突变分析。通过免疫组织化学显示,三维培养物表达的标志物与原始DIG肿瘤组织中的标志物相同,这表明球体培养物能够维持原始肿瘤中发现的异质性。细胞在传代10次后仍继续增殖,表明其具有永生化特性。通过使用CD133抗体的荧光激活细胞分选和逆转录-聚合酶链反应,在神经球中观察到癌症干细胞的富集。突变分析表明,三个基因存在种系突变,另外两个基因存在体细胞突变。首次从DIG肿瘤中建立了一种具有高比例干细胞的自发细胞系样细胞培养体系。

https://cdn.ncbi.nlm.nih.gov/pmc/blobs/4a3e/8970592/504ae04095ac/fphar-13-778193-g001.jpg

文献AI研究员

20分钟写一篇综述,助力文献阅读效率提升50倍。

立即体验

用中文搜PubMed

大模型驱动的PubMed中文搜索引擎

马上搜索

文档翻译

学术文献翻译模型,支持多种主流文档格式。

立即体验