Suppr超能文献

PripA-TbcrA 复合物中心的 Rab GAP 级联促进了 Dictyostelium 中的巨胞饮体成熟。

The PripA-TbcrA complex-centered Rab GAP cascade facilitates macropinosome maturation in Dictyostelium.

机构信息

National Laboratory of Biomacromolecules, Institute of Biophysics, Chinese Academy of Sciences, 100101, Beijing, China.

College of Life Sciences, University of Chinese Academy of Sciences, 100049, Beijing, China.

出版信息

Nat Commun. 2022 Apr 4;13(1):1787. doi: 10.1038/s41467-022-29503-1.

Abstract

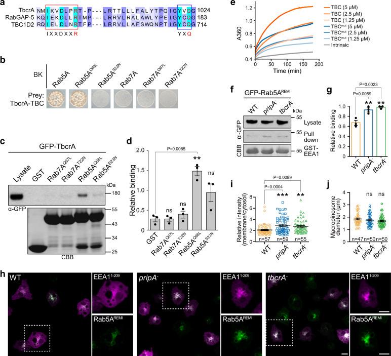
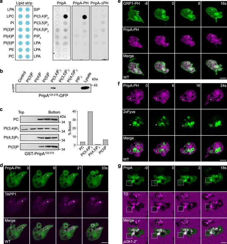
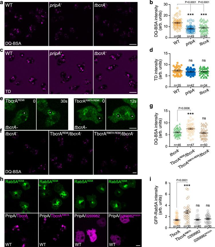
Macropinocytosis, an evolutionarily conserved mechanism mediating nonspecific bulk uptake of extracellular fluid, has been ascribed diverse functions. How nascent macropinosomes mature after internalization remains largely unknown. By searching for proteins that localize on macropinosomes during the Rab5-to-Rab7 transition stage in Dictyostelium, we uncover a complex composed of two proteins, which we name PripA and TbcrA. We show that the Rab5-to-Rab7 conversion involves fusion of Rab5-marked early macropinosomes with Rab7-marked late macropinosomes. PripA links the two membrane compartments by interacting with PI(3,4)P and Rab7. In addition, PripA recruits TbcrA, which acts as a GAP, to turn off Rab5. Thus, the conversion to Rab7 is linked to inactivation of the upstream Rab5. Consistently, disruption of either pripA or tbcrA impairs Rab5 inactivation and macropinocytic cargo processing. Therefore, the PripA-TbcrA complex is the central component of a Rab GAP cascade that facilitates programmed Rab switch and efficient cargo trafficking during macropinosome maturation.

摘要

巨胞饮作用是一种进化上保守的机制,介导细胞外液的非特异性批量摄取,具有多种功能。吞噬体内化后如何成熟仍然知之甚少。通过在粘菌的 Rab5 到 Rab7 转换阶段寻找定位在巨胞饮体上的蛋白质,我们发现了一种由两种蛋白质组成的复合物,我们将其命名为 PripA 和 TbcrA。我们表明,Rab5 到 Rab7 的转换涉及 Rab5 标记的早期巨胞饮体与 Rab7 标记的晚期巨胞饮体的融合。PripA 通过与 PI(3,4)P 和 Rab7 相互作用将两个膜隔室连接起来。此外,PripA 招募作为 GAP 的 TbcrA 以关闭 Rab5。因此,向 Rab7 的转换与上游 Rab5 的失活相关。一致地,破坏 pripA 或 tbcrA 都会损害 Rab5 的失活和巨胞饮作用货物的处理。因此,PripA-TbcrA 复合物是 Rab GAP 级联反应的核心组成部分,该级联反应促进了 Rab 开关的程序性和巨胞饮体成熟过程中货物的有效运输。

https://cdn.ncbi.nlm.nih.gov/pmc/blobs/f56f/8980073/6c3422033fbf/41467_2022_29503_Fig1_HTML.jpg

文献AI研究员

20分钟写一篇综述,助力文献阅读效率提升50倍。

立即体验

用中文搜PubMed

大模型驱动的PubMed中文搜索引擎

马上搜索

文档翻译

学术文献翻译模型,支持多种主流文档格式。

立即体验