Suppr超能文献

Cpmer:一个新的与 eEF1A2 结合的保守伴侣,调节 Eomes 的翻译和心肌细胞分化。

Cpmer: A new conserved eEF1A2-binding partner that regulates Eomes translation and cardiomyocyte differentiation.

机构信息

Clinical and Translational Research Center of Shanghai First Maternity and Infant Hospital, Shanghai Key Laboratory of Maternal Fetal Medicine, Shanghai Key Laboratory of Signaling and Disease Research, Frontier Science Center for Stem Cell Research, National Stem Cell Translational Resource Center, School of Life Sciences and Technology, Tongji University, Shanghai 200092, China.

Clinical and Translational Research Center of Shanghai First Maternity and Infant Hospital, Shanghai Key Laboratory of Maternal Fetal Medicine, Shanghai Key Laboratory of Signaling and Disease Research, Frontier Science Center for Stem Cell Research, National Stem Cell Translational Resource Center, School of Life Sciences and Technology, Tongji University, Shanghai 200092, China; Institute for Advanced Study, Tongji University, Shanghai 200092, China.

出版信息

Stem Cell Reports. 2022 May 10;17(5):1154-1169. doi: 10.1016/j.stemcr.2022.03.006. Epub 2022 Apr 7.

Abstract

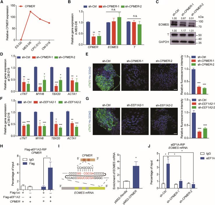
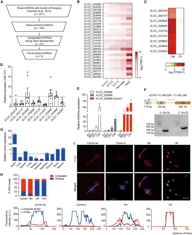
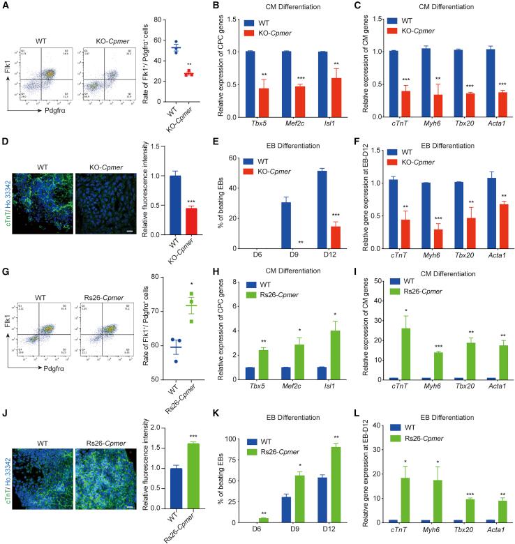
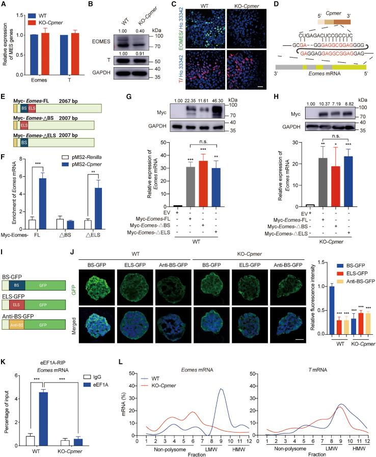
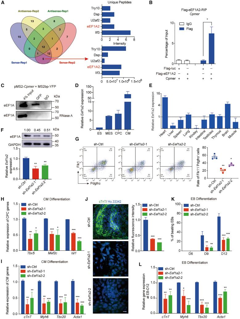
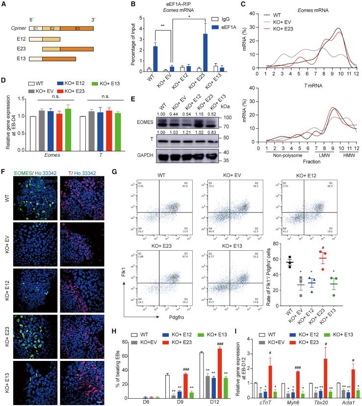
Previous studies have shown that eukaryotic elongation factor 1A2 (eEF1A2) serves as an essential heart-specific translation elongation element and that its mutation or knockout delays heart development and causes congenital heart disease and death among species. However, the function and regulatory mechanisms of eEF1A2 in mammalian heart development remain largely unknown. Here we identified the long noncoding RNA (lncRNA) Cpmer (cytoplasmic mesoderm regulator), which interacted with eEF1A2 to co-regulate differentiation of mouse and human embryonic stem cell-derived cardiomyocytes. Mechanistically, Cpmer specifically recognized Eomes mRNA by RNA-RNA pairing and facilitated binding of eEF1A2 with Eomes mRNA, guaranteeing Eomes mRNA translation and cardiomyocyte differentiation. Our data reveal a novel functionally conserved lncRNA that can specifically regulate Eomes translation and cardiomyocyte differentiation, which broadens our understanding of the mechanism of lncRNA involvement in the subtle translational regulation of eEF1A2 during mammalian heart development.

摘要

先前的研究表明,真核延伸因子 1A2(eEF1A2)作为一种必需的心脏特异性翻译延伸元件,其突变或敲除会延迟心脏发育,并导致物种的先天性心脏病和死亡。然而,eEF1A2 在哺乳动物心脏发育中的功能和调节机制在很大程度上仍然未知。在这里,我们鉴定了长非编码 RNA(lncRNA)Cpmer(细胞质中胚层调节因子),它与 eEF1A2 相互作用,共同调节小鼠和人胚胎干细胞衍生的心肌细胞的分化。从机制上讲,Cpmer 通过 RNA-RNA 配对特异性识别 Eomes mRNA,并促进 eEF1A2 与 Eomes mRNA 的结合,保证 Eomes mRNA 的翻译和心肌细胞的分化。我们的数据揭示了一种新的具有功能保守性的 lncRNA,它可以特异性地调节 Eomes 的翻译和心肌细胞的分化,这拓宽了我们对 lncRNA 参与哺乳动物心脏发育过程中 eEF1A2 微妙翻译调控的机制的理解。

https://cdn.ncbi.nlm.nih.gov/pmc/blobs/bdd7/9133893/95bd05389747/fx1.jpg

文献AI研究员

20分钟写一篇综述,助力文献阅读效率提升50倍。

立即体验

用中文搜PubMed

大模型驱动的PubMed中文搜索引擎

马上搜索

文档翻译

学术文献翻译模型,支持多种主流文档格式。

立即体验