Suppr超能文献

接种疫苗的肉鸡种鸡中爆发 E 群禽痘病毒,且严重程度与喙部损伤加重有关,且存在性别差异。

Outbreaks of Avipoxvirus Clade E in Vaccinated Broiler Breeders with Exacerbated Beak Injuries and Sex Differences in Severity.

机构信息

Department of Pathology, School of Veterinary Medicine, University of São Paulo, Av. Prof. Orlando M. Paiva, 87, São Paulo 05508-270, Brazil.

Inter-Units Program in Biotechnology, University of São Paulo, Av. Prof. Lineu Prestes, 2415, São Paulo 05508-270, Brazil.

出版信息

Viruses. 2022 Apr 8;14(4):773. doi: 10.3390/v14040773.

Abstract

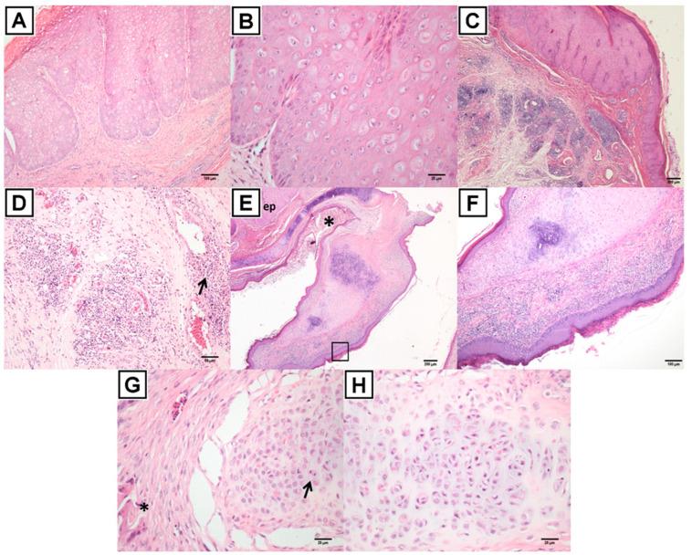
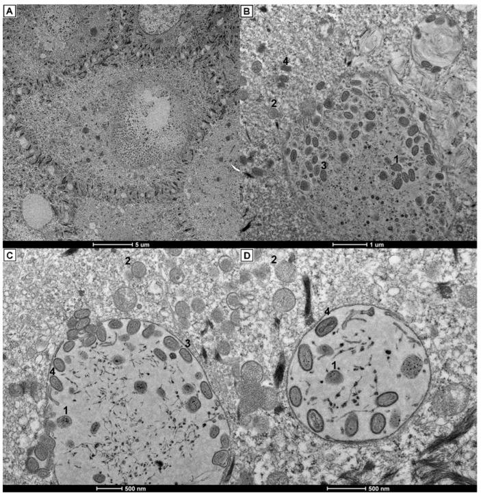
Avipoxvirus affects chickens and wild birds, and it is characterized by lesions on the nonfeathered parts of the body (the cutaneous form), or necrotic lesions in the upper respiratory tract (the diphtheritic form). In poultry farming, avian pox is usually controlled by live attenuated vaccines. However, there have been many reports of outbreaks, even in flocks of vaccinated birds. In the present study, different outbreaks of the emerging clade E avipoxvirus were detected in commercial breeder flocks of chickens vaccinated against fowlpox virus in Southeast Brazil. Clinical manifestations of these outbreaks included a marked prevalence of moderate to severe progressive lesions in the beaks of affected birds, especially in roosters with increased mortality (up to 8.48%). Also, a reduced hatchability (up to 20.77% fewer hatching eggs) was observed in these flocks. Analysis of clinical samples through light and transmission electron microscopy revealed the presence of Bollinger bodies and poxvirus particles in epithelial cells and affecting chondrocytes. PCR, sequencing, and phylogenetic analysis of major core protein () and DNA polymerase () genes identified this virus as clade E avipoxvirus. We also developed qPCR assays for open reading frames (ORFs) 49, 114, and 159 to detect and quantify this emergent virus. These results show the arrival and initial spread of this pathogen in the poultry industry, which was associated with harmful outbreaks and exacerbated clinical manifestations in vaccinated commercial breeder flocks. This study also highlights the relevance of permanent vigilance and the need to improve sanitary and vaccination programs.

摘要

禽痘病毒可感染鸡和野生鸟类,其特征为身体无羽毛部位出现病变(皮肤型),或上呼吸道出现坏死性病变(白喉型)。在禽类养殖中,通常通过使用弱毒活疫苗来防控禽痘。然而,已有许多暴发疫情的报道,甚至在接种疫苗的禽类群体中也是如此。在本研究中,在巴西东南部接种禽痘病毒疫苗的商业种鸡群中,检测到新兴 E 分支禽痘病毒的不同暴发。这些暴发的临床症状包括受感染鸟类的喙部出现明显的、中度至重度的进行性病变,尤其是死亡率增加的公鸡(高达 8.48%)。此外,这些鸡群的孵化率(孵化蛋数减少了高达 20.77%)也有所下降。通过光镜和透射电子显微镜对临床样本进行分析,发现上皮细胞和受影响的软骨细胞中存在 Bollinger 小体和痘病毒颗粒。通过对主要核心蛋白()和 DNA 聚合酶()基因的 PCR、测序和系统发育分析,鉴定该病毒为 E 分支禽痘病毒。我们还针对 ORF49、114 和 159 开发了 qPCR 检测方法,以检测和定量这种新出现的病毒。这些结果表明该病原体已在禽类产业中传播,并导致接种疫苗的商业种鸡群中出现有害暴发和恶化的临床症状。本研究还强调了持续监测的重要性和完善卫生及免疫接种计划的必要性。

https://cdn.ncbi.nlm.nih.gov/pmc/blobs/4a10/9028998/41b66f5abdb5/viruses-14-00773-g001.jpg

文献AI研究员

20分钟写一篇综述,助力文献阅读效率提升50倍。

立即体验

用中文搜PubMed

大模型驱动的PubMed中文搜索引擎

马上搜索

文档翻译

学术文献翻译模型,支持多种主流文档格式。

立即体验