Suppr超能文献

LPM3770277,一种新型强效CDK4/6降解剂,对三阴性乳腺癌具有抗肿瘤作用。

LPM3770277, a Potent Novel CDK4/6 Degrader, Exerts Antitumor Effect Against Triple-Negative Breast Cancer.

作者信息

Qiu Jiahao, Bai Xinfa, Zhang Wenjing, Ma Mingxu, Wang Wenyan, Liang Ye, Wang Hongbo, Tian Jingwei, Yu Pengfei

机构信息

Key Laboratory of Molecular Pharmacology and Drug Evaluation (Yantai University), School of Pharmacy, Ministry of Education, Collaborative Innovation Center of Advanced Drug Delivery System and Biotech Drugs in Universities of Shandong, Yantai University, Yantai, China.

Luye Pharma Group, Yantai, China.

出版信息

Front Pharmacol. 2022 Apr 11;13:853993. doi: 10.3389/fphar.2022.853993. eCollection 2022.

Abstract

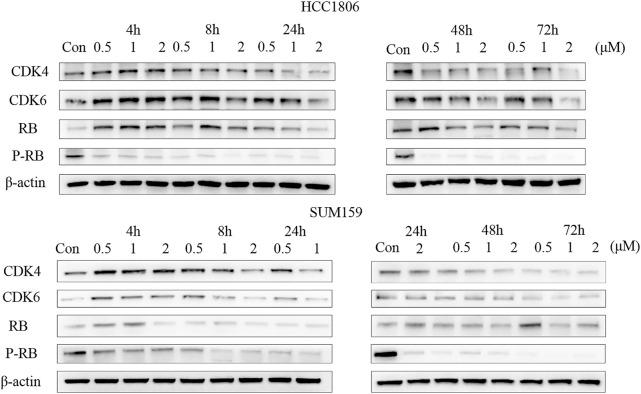
Triple negative breast cancer (TNBC) is a subtype of breast cancer with significant malignancy and poor prognosis but effective treatments are limited. Given the critical role of CDK4/6 in cell cycle and the apparent success of CDK4/6 inhibitors against certain cancer, this study attempted to utilize hydrophobic tagging technology to develop a CDK4/6 degrader against TNBC. We based on the chemical structure of the major metabolite of a clinically approved CDK4/6 inhibitor, abemaciclib, to synthesize three compounds and evaluated their cytotoxicity. LPM3770277 stood out as the most promising compound which was further confirmed by a series of binding and CDK4/6 degradation studies. LPM3770277 was able to bind to CDK4/6, and time-dependently and dose-dependently increased CDK4/6 protein degradation. Mechanistic study revealed that LPM3770277 exerted its CDK4/6 degradation effect two machineries: proteasome and lysosome-promoted autophagy. Using TNBC xenograft cancer model, we found that LPM3770277 demonstrated superior anti-tumor efficacy and safety as compared to abemaciclib, although both compounds exerted similar effects on cell cycle arrest. In conclusion, this study for the first time developed and characterized a CDK4/6 degrader against TNBC using hydrophobic tags, which strongly suggests the viability of hydrophobic tags as a strategy to develop potential treatments against TNBC.

摘要

三阴性乳腺癌(TNBC)是乳腺癌的一种亚型,具有显著的恶性程度和较差的预后,但有效的治疗方法有限。鉴于细胞周期蛋白依赖性激酶4/6(CDK4/6)在细胞周期中的关键作用以及CDK4/6抑制剂在某些癌症治疗中取得的明显成功,本研究试图利用疏水标记技术开发一种针对TNBC的CDK4/6降解剂。我们基于临床批准的CDK4/6抑制剂阿贝西利的主要代谢物的化学结构,合成了三种化合物并评估了它们的细胞毒性。LPM3770277作为最有前景的化合物脱颖而出,一系列结合和CDK4/6降解研究进一步证实了这一点。LPM3770277能够与CDK4/6结合,并随时间和剂量依赖性地增加CDK4/6蛋白的降解。机制研究表明,LPM3770277通过蛋白酶体和溶酶体促进的自噬这两种机制发挥其CDK4/6降解作用。使用TNBC异种移植癌模型,我们发现与阿贝西利相比,LPM3770277表现出更优异的抗肿瘤疗效和安全性,尽管两种化合物对细胞周期阻滞的作用相似。总之,本研究首次利用疏水标记开发并表征了一种针对TNBC的CDK4/6降解剂,这有力地表明了疏水标记作为开发针对TNBC潜在治疗方法的一种策略的可行性。

https://cdn.ncbi.nlm.nih.gov/pmc/blobs/d203/9037595/fc3fbf214a22/fphar-13-853993-g001.jpg

文献AI研究员

20分钟写一篇综述,助力文献阅读效率提升50倍。

立即体验

用中文搜PubMed

大模型驱动的PubMed中文搜索引擎

马上搜索

文档翻译

学术文献翻译模型,支持多种主流文档格式。

立即体验