Suppr超能文献

日本首例脱髓鞘性夏科-马里-图什病的新型 POLR3B 基因突变。

Novel de novo POLR3B mutations responsible for demyelinating Charcot-Marie-Tooth disease in Japan.

机构信息

Department of Neurology and Geriatrics, Kagoshima University Graduate School of Medical and Dental Sciences, Kagoshima, Japan.

Department of Neurology, National Hospital Organization Hakone Hospital, Kanagawa, Japan.

出版信息

Ann Clin Transl Neurol. 2022 May;9(5):747-755. doi: 10.1002/acn3.51555. Epub 2022 Apr 28.

Abstract

BACKGROUND

Biallelic POLR3B mutations cause a rare hypomyelinating leukodystrophy. De novo POLR3B heterozygous mutations were recently associated with afferent ataxia, spasticity, variable intellectual disability, and epilepsy, and predominantly demyelinating sensorimotor peripheral neuropathy.

METHODS

We performed whole-exome sequencing (WES) of DNA samples from 804 Charcot-Marie-Tooth (CMT) cases that could not be genetically diagnosed by DNA-targeted resequencing microarray using next-generation sequencers. Using WES data, we analyzed the POLR3B mutations and confirmed their clinical features.

RESULTS

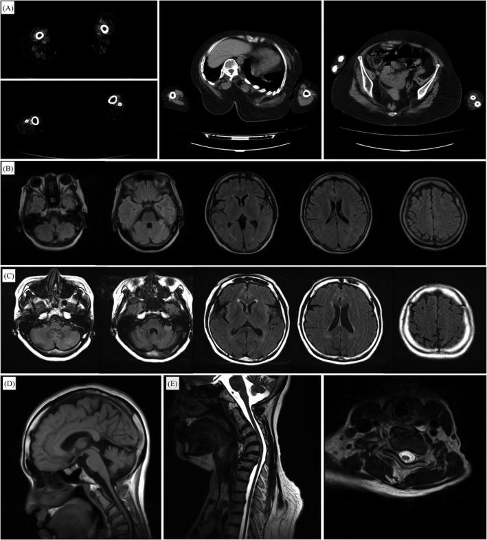
We identified de novo POLR3B heterozygous missense mutations in two patients. These patients presented with early-onset demyelinating sensorimotor neuropathy without ataxia, spasticity, or cognitive impairment. Patient 1 showed mild cerebellar atrophy and spinal cord atrophy on magnetic resonance imaging and eventually died of respiratory failure in her 50s. We classified these mutations as pathogenic based on segregation studies, comparison with control database, and in silico analysis.

CONCLUSION

Our study is the third report on patients with demyelinating CMT harboring heterozygous POLR3B mutations and verifies the pathogenicity of POLR3B mutations in CMT. Although extremely rare in our large Japanese case series, POLR3B mutations should be added to the CMT-related gene panel for comprehensive genetic screening, particularly for patients with early-onset demyelinating CMT.

摘要

背景

双等位 POLR3B 突变可导致罕见的低髓鞘白质营养不良。最近,新发现的 POLR3B 杂合突变与感觉性共济失调、痉挛、可变智力残疾和癫痫以及主要为脱髓鞘感觉运动周围神经病相关。

方法

我们对 804 例无法通过靶向 DNA 重测序微阵列的下一代测序仪进行遗传诊断的遗传性感觉运动型周围神经病(Charcot-Marie-Tooth,CMT)病例的 DNA 样本进行了全外显子组测序(WES)。我们利用 WES 数据分析 POLR3B 突变并确认其临床特征。

结果

我们在两名患者中发现了新生 POLR3B 杂合错义突变。这些患者表现为早发性脱髓鞘感觉运动神经病,无共济失调、痉挛或认知障碍。患者 1 的磁共振成像显示轻度小脑萎缩和脊髓萎缩,最终在 50 多岁时因呼吸衰竭而死亡。我们基于分离研究、与对照数据库的比较以及计算机模拟分析将这些突变归类为致病性突变。

结论

我们的研究是第三位报告携带杂合 POLR3B 突变的脱髓鞘 CMT 患者的研究,证实了 POLR3B 突变在 CMT 中的致病性。尽管在我们的大型日本病例系列中极为罕见,但 POLR3B 突变应被添加到 CMT 相关基因谱中进行全面遗传筛查,特别是对于早发性脱髓鞘 CMT 患者。

https://cdn.ncbi.nlm.nih.gov/pmc/blobs/39bf/9082381/ddcb4856cb91/ACN3-9-747-g002.jpg

文献AI研究员

20分钟写一篇综述,助力文献阅读效率提升50倍。

立即体验

用中文搜PubMed

大模型驱动的PubMed中文搜索引擎

马上搜索

文档翻译

学术文献翻译模型,支持多种主流文档格式。

立即体验