Suppr超能文献

食毛癖导致双相情感障碍患者急性阑尾炎。

Trichophagia as a cause of acute appendicitis in a patient with bipolar disorder.

机构信息

Department of General Surgery, İstanbul University Cerrahpaşa-Cerrahpaşa Faculty of Medicine, İstanbul-Turkey.

Department of Pathology, İstanbul University Cerrahpaşa-Cerrahpaşa Faculty of Medicine, İstanbul-Turkey.

出版信息

Ulus Travma Acil Cerrahi Derg. 2022 Apr;28(4):554-556. doi: 10.14744/tjtes.2022.34808.

Abstract

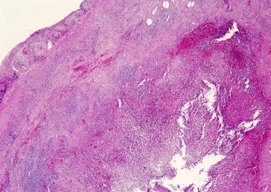
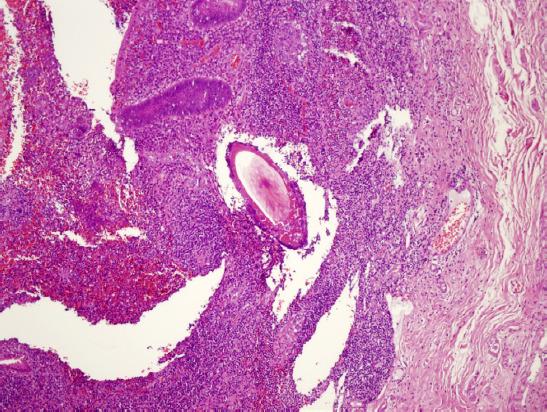
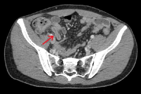
Acute appendicitis is one of the most common abdominal surgical emergencies worldwide. Clinical diagnosis is possible in most of the cases although imaging modalities may become necessary if the diagnosis is uncertain. Appendectomy, preferably the laparoscopic ap-proach, still remains the gold standard treatment to date. The pathophysiology usually includes luminal obstruction by an appendicolith or lymphoid hyperplasia and rarely parasitic infections. In this report, we present an extremely rare case of a patient with diagnosis of bipolar disorder and a history of trichophagia resulting in trichobezoar formation within the appendiceal lümen leading to acute appendicitis.

摘要

急性阑尾炎是全球最常见的腹部外科急症之一。虽然在诊断不确定的情况下可能需要影像学检查,但大多数情况下可以通过临床诊断来确定。阑尾切除术,最好是腹腔镜方法,仍然是迄今为止的金标准治疗方法。其病理生理学通常包括阑尾腔内的阑尾石或淋巴组织增生导致的管腔阻塞,很少发生寄生虫感染。在本报告中,我们介绍了一例极为罕见的病例,患者诊断为双相情感障碍,并有拔毛癖史,导致毛球在阑尾腔内形成,导致急性阑尾炎。

https://cdn.ncbi.nlm.nih.gov/pmc/blobs/25a5/10521004/aade0d530a6f/TJTES-28-554-g001.jpg

文献AI研究员

20分钟写一篇综述,助力文献阅读效率提升50倍。

立即体验

用中文搜PubMed

大模型驱动的PubMed中文搜索引擎

马上搜索

文档翻译

学术文献翻译模型,支持多种主流文档格式。

立即体验